Rekombinanter C-JUN Antikörper
Kurzübersicht für Rekombinanter C-JUN Antikörper (ABIN7799145)
Target
Alle C-JUN (JUN) Antikörper anzeigenAntikörpertyp
Reaktivität
Wirt
Klonalität
Konjugat
Applikation
Güteklasse
Klon
-
-
Expressionssystem
- HEK-293 Cells
-
Verwendungszweck
- KD-Validated c-Jun Recombinant Rabbit mAb
-
Kreuzreaktivität
- Maus
-
Aufreinigung
- Affinity Purified
-
Immunogen
- A synthesized peptide derived from human c-Jun
-
Isotyp
- IgG
-
-
-
-
Applikationshinweise
- Western Blotting (WB): 1:1,000-1:5,000, Flow Cytometry (FCM): 1:200-1:2,000
-
Kommentare
-
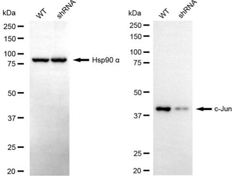
We assess the antibodies’ specificity and selectivity using knockdown techniques. Our validation approach is straightforward: if an antibody identifies a signal in wild-type (WT) cells, but this signal is absent or noticeably reduced in gene-silenced (KD) cells, we consider the antibody to be highly specific.
-
Beschränkungen
- Nur für Forschungszwecke einsetzbar
-
-
-
Format
- Liquid
-
Buffer
- PBS (pH 7.4) containing 50% glycerol and 0.02% sodium azide.
-
Konservierungsmittel
- Sodium azide
-
Vorsichtsmaßnahmen
- This product contains Sodium azide: a POISONOUS AND HAZARDOUS SUBSTANCE which should be handled by trained staff only.
-
Lagerung
- -20 °C
-
Informationen zur Lagerung
- Store at -20 °C for one year.
-
Haltbarkeit
- 12 months
-
-
- C-JUN (JUN) (Jun Proto-Oncogene (JUN))
-
Andere Bezeichnung
- c-Jun
-
Molekulargewicht
- 36 kDa
-
Gen-ID
- 3725
-
UniProt
- P05412
-
Pathways
- MAPK Signalweg, RTK Signalweg, WNT Signalweg, Fc-epsilon Rezeptor Signalübertragung, Activation of Innate immune Response, Myometrial Relaxation and Contraction, Skeletal Muscle Fiber Development, Protein targeting to Nucleus, Toll-Like Receptors Cascades, Autophagie, Signaling of Hepatocyte Growth Factor Receptor, BCR Signaling, S100 Proteine
Target
-