Telefon:
+49 (0)241 95 163 153
Fax:
+49 (0)241 95 163 155
E-Mail:
orders@antikoerper-online.de

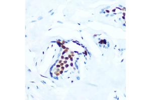
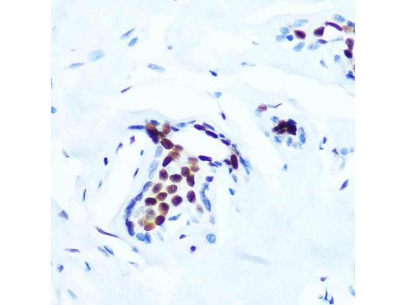
C-JUN Antikörper (pThr91)

Der Kaninchen Monoklonal anti-C-JUN Antikörper wird verwendet zum Nachweis von C-JUN in Proben von Human. Er wurde validiert für WB und IHC.
Produktnummer ABIN7268057
330,00 €
Zzgl. Versandkosten 20,00 € und MwSt
Lieferung nach: Deutschland
Lieferung in 7 bis 9 Werktagen

Kurzübersicht für C-JUN Antikörper (pThr91) (ABIN7268057)

Target

Alle C-JUN (JUN) Antikörper anzeigen
C-JUN (JUN) (Jun Proto-Oncogene (JUN))

Reaktivität

  • 422
  • 257
  • 246
  • 33
  • 26
  • 21
  • 18
  • 17
  • 16
  • 12
  • 12
  • 7
  • 5
  • 4
  • 3
  • 1
  • 1
Human

Wirt

  • 404
  • 29
  • 1
Kaninchen

Klonalität

  • 334
  • 100
Monoklonal

Konjugat

  • 197
  • 24
  • 16
  • 16
  • 16
  • 16
  • 16
  • 16
  • 10
  • 10
  • 10
  • 7
  • 7
  • 6
  • 6
  • 6
  • 6
  • 6
  • 6
  • 6
  • 6
  • 5
  • 5
  • 5
  • 3
  • 1
  • 1
  • 1
  • 1
  • 1
  • 1
  • 1
Dieser C-JUN Antikörper ist unkonjugiert

Applikation

  • 301
  • 165
  • 113
  • 98
  • 80
  • 64
  • 60
  • 56
  • 50
  • 43
  • 23
  • 11
  • 11
  • 4
  • 3
  • 3
  • 2
  • 2
  • 2
  • 1
  • 1
Western Blotting (WB), Immunohistochemistry (IHC)
  • Bindungsspezifität

    • 63
    • 59
    • 40
    • 29
    • 22
    • 16
    • 16
    • 16
    • 11
    • 10
    • 8
    • 7
    • 7
    • 7
    • 6
    • 5
    • 4
    • 4
    • 4
    • 4
    • 4
    • 4
    • 3
    • 3
    • 3
    • 3
    • 3
    • 3
    • 2
    • 2
    • 2
    • 2
    • 2
    • 2
    • 2
    • 2
    • 2
    • 2
    • 2
    • 2
    • 2
    • 2
    • 1
    • 1
    • 1
    • 1
    • 1
    • 1
    • 1
    • 1
    pThr91

    Verwendungszweck

    Phospho-c-Jun-T91 Rabbit mAb

    Kreuzreaktivität

    Human, Maus, Ratte

    Produktmerkmale

    Phosphorylated Antibodies

    Aufreinigung

    Affinity purification

    Immunogen

    A phospho specific peptide corresponding to residues surrounding T91 of human c-Jun

    Isotyp

    IgG
  • Applikationshinweise

    WB,1:500 - 1:2000,IHC,1:50 - 1:200

    Beschränkungen

    Nur für Forschungszwecke einsetzbar
  • Format

    Liquid

    Buffer

    PBS with 0.02 % sodium azide,0.05 % BSA,50 % glycerol, pH 7.3.

    Konservierungsmittel

    Sodium azide

    Vorsichtsmaßnahmen

    This product contains Sodium azide: a POISONOUS AND HAZARDOUS SUBSTANCE which should be handled by trained staff only.

    Lagerung

    -20 °C

    Informationen zur Lagerung

    Store at -20°C. Avoid freeze / thaw cycles.
  • Target

    C-JUN (JUN) (Jun Proto-Oncogene (JUN))

    Andere Bezeichnung

    JUN

    Hintergrund

    This gene is the putative transforming gene of avian sarcoma virus 17. It encodes a protein which is highly similar to the viral protein, and which interacts directly with specific target DNA sequences to regulate gene expression. This gene is intronless and is mapped to 1p32-p31, a chromosomal region involved in both translocations and deletions in human malignancies. [provided by RefSeq, Jul 2008],AP-1, AP1, c-Jun,Apoptosis,B Cell Receptor Signaling Pathway,Cancer,Cell Biology & Developmental Biology,Cell Intrinsic Innate Immunity Signaling Pathway,Epigenetics & Nuclear Signaling,ErbB-HER Signaling Pathway,Immunology & Inflammation,Innate Immunity_TLR Signaling,MAPK-JNK Signaling Pathway,Protein phosphorylation,Signal Transduction,T Cell Receptor Signaling Pathway,Toll-like Receptor Signaling Pathway,Transcription Factors,JUN

    Molekulargewicht

    43kDa

    Gen-ID

    3725

    UniProt

    P05412

    Pathways

    MAPK Signalweg, RTK Signalweg, WNT Signalweg, Fc-epsilon Rezeptor Signalübertragung, Activation of Innate immune Response, Myometrial Relaxation and Contraction, Skeletal Muscle Fiber Development, Protein targeting to Nucleus, Toll-Like Receptors Cascades, Autophagie, Signaling of Hepatocyte Growth Factor Receptor, BCR Signaling, S100 Proteine
Sie sind hier:
Chat with us!