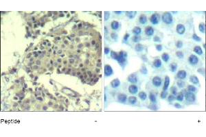
Der Kaninchen Polyklonal anti-MTOR Antikörper wird verwendet zum Nachweis von MTOR in Proben von Human, Maus und Ratte. Er wurde validiert für IHC (p).
Immunohistochemistry: 1/50 - 1/100. Other applications not tested. Optimal dilutions are dependent on conditions and should be determined by the user.
Beschränkungen
Nur für Forschungszwecke einsetzbar
Konzentration
1,0 mg/mL
Buffer
Phosphate buffered saline (without Mg2+ and Ca2+), pH 7.4, 150 mM NaCl, 0.02 % sodium azide and 50 % glycerol
Konservierungsmittel
Sodium azide
Vorsichtsmaßnahmen
This product contains sodium azide: a POISONOUS AND HAZARDOUS SUBSTANCE which should be handled by trained staff only.
Handhabung
Avoid repeated freezing and thawing.
Lagerung
-20 °C
Target
MTOR (mTOR)
(Mechanistic Target of Rapamycin (serine/threonine Kinase) (mTOR))
Andere Bezeichnung
mTOR / FRAP1
Hintergrund
MTOR, or FKBP12 rapamycin associated protein (FRAP), is one of a family of proteins involved in cell cycle progression, DNA recombination, and DNA damage detection. In rat, it is a 289- kDa protein (symbolized RAFT1) with significant homology to the Saccharomyces cerevisiae protein TOR1 and has been shown to associate with the immunophilin FKBP12 in a rapamycin dependent fashion. The FKBP12-rapamycin complex is known to inhibit progression through the G1 cell cycle stage by interfering with mitogenic signaling pathways involved in G1 progression in several cell types, as well as in yeast. The binding of FRAP to FKBP12-rapamycin correlated with the ability of these ligands to inhibit cell cycle progression.Synonyms: FK506-binding protein 12-rapamycin complex-associated protein 1, FKBP12-rapamycin complex-associated protein, FRAP, FRAP2, Mammalian target of rapamycin, RAPT1, Rapamycin target protein, Serine/threonine-protein kinase mTOR, TOR