Rekombinanter MTOR Antikörper
Kurzübersicht für Rekombinanter MTOR Antikörper (ABIN7799347)
Target
Alle MTOR (mTOR) Antikörper anzeigenAntikörpertyp
Reaktivität
Wirt
Klonalität
Konjugat
Applikation
Güteklasse
Klon
-
-
Expressionssystem
- HEK-293 Cells
-
Verwendungszweck
- KD-Validated mTOR Recombinant Rabbit mAb
-
Kreuzreaktivität
- Maus, Ratte
-
Aufreinigung
- Affinity Purified
-
Immunogen
- A synthesized peptide derived from human mTOR
-
Isotyp
- IgG
-
-
-
-
Applikationshinweise
- Western Blotting (WB): 1:1,000-1:5,000, Flow Cytometry (FCM): 1:200-1:2,000
-
Kommentare
-
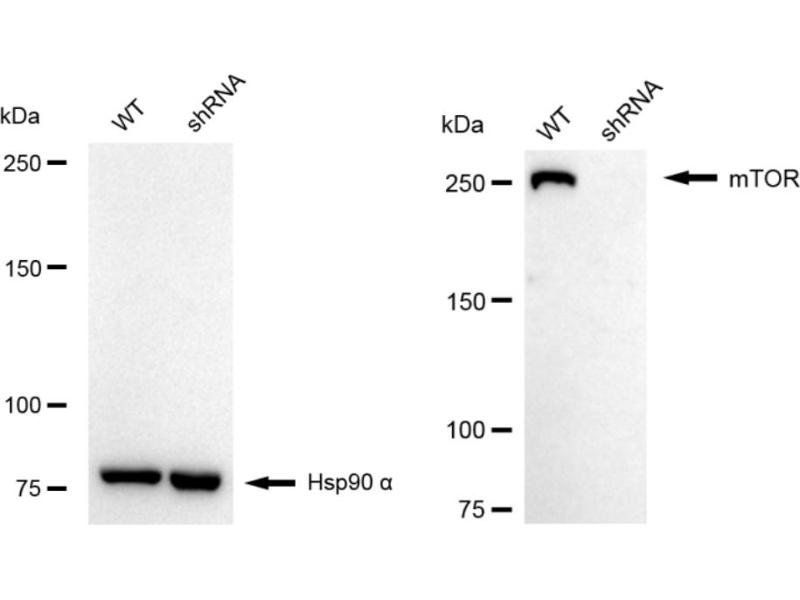
We assess the antibodies’ specificity and selectivity using knockdown techniques. Our validation approach is straightforward: if an antibody identifies a signal in wild-type (WT) cells, but this signal is absent or noticeably reduced in gene-silenced (KD) cells, we consider the antibody to be highly specific.
-
Beschränkungen
- Nur für Forschungszwecke einsetzbar
-
-
-
Format
- Liquid
-
Buffer
- PBS (pH 7.4) containing 50% glycerol and 0.02% sodium azide.
-
Konservierungsmittel
- Sodium azide
-
Vorsichtsmaßnahmen
- This product contains Sodium azide: a POISONOUS AND HAZARDOUS SUBSTANCE which should be handled by trained staff only.
-
Lagerung
- -20 °C
-
Informationen zur Lagerung
- Store at -20 °C for one year.
-
Haltbarkeit
- 12 months
-
-
- MTOR (mTOR) (Mechanistic Target of Rapamycin (serine/threonine Kinase) (mTOR))
-
Andere Bezeichnung
- mTOR
-
Molekulargewicht
- 289 kDa
-
Gen-ID
- 2475
-
UniProt
- P42345
-
Pathways
- PI3K-Akt Signalweg, RTK Signalweg, AMPK Signaling, Interferon-gamma Pathway, Fc-epsilon Rezeptor Signalübertragung, EGFR Signaling Pathway, Neurotrophin Signalübertragung, Regulation of Actin Filament Polymerization, Regulation of Muscle Cell Differentiation, Regulation of Cell Size, Skeletal Muscle Fiber Development, Regulation of Carbohydrate Metabolic Process, Autophagie, CXCR4-mediated Signaling Events, BCR Signaling, Warburg Effekt
Target
-