Telefon:
+49 (0)241 95 163 153
Fax:
+49 (0)241 95 163 155
E-Mail:
orders@antikoerper-online.de

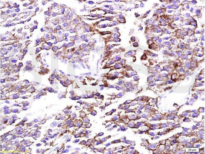
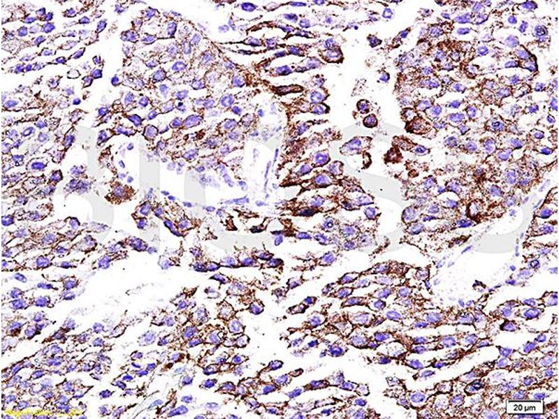
MTOR Antikörper (AA 2436-2492)

Es sind 9+ Publikationen für dieses Produkt verfügbar. Der Kaninchen Polyklonal anti-MTOR Antikörper wird verwendet zum Nachweis von MTOR in Proben von Human, Maus und Ratte. Er wurde validiert für WB, ELISA, FACS, IHC (p), IF (p), IF (cc) und IHC (fro). Der Antikörper wurde zudem unabhängig validiert.
Produktnummer ABIN676403
357,70 €
Zzgl. Versandkosten 20,00 € und MwSt
100 μL
Lieferung nach: Deutschland
Lieferung in 8 bis 12 Werktagen

Kurzübersicht für MTOR Antikörper (AA 2436-2492) (ABIN676403)

Target

Alle MTOR (mTOR) Antikörper anzeigen
MTOR (mTOR) (Mechanistic Target of Rapamycin (serine/threonine Kinase) (mTOR))

Reaktivität

  • 213
  • 150
  • 131
  • 20
  • 17
  • 9
  • 9
  • 5
  • 4
  • 4
  • 4
  • 4
  • 3
  • 2
  • 1
Human, Maus, Ratte

Wirt

  • 193
  • 18
  • 2
  • 2
Kaninchen

Klonalität

  • 141
  • 73
Polyklonal

Konjugat

  • 104
  • 11
  • 8
  • 7
  • 5
  • 5
  • 5
  • 5
  • 5
  • 5
  • 4
  • 4
  • 4
  • 4
  • 4
  • 4
  • 4
  • 4
  • 4
  • 4
  • 4
  • 4
  • 3
  • 3
  • 1
Dieser MTOR Antikörper ist unkonjugiert

Applikation

  • 162
  • 71
  • 64
  • 59
  • 57
  • 52
  • 51
  • 43
  • 26
  • 25
  • 11
  • 4
  • 3
  • 2
  • 2
  • 2
  • 1
Western Blotting (WB), ELISA, Flow Cytometry (FACS), Immunohistochemistry (Paraffin-embedded Sections) (IHC (p)), Immunofluorescence (Paraffin-embedded Sections) (IF (p)), Immunofluorescence (Cultured Cells) (IF (cc)), Immunohistochemistry (Frozen Sections) (IHC (fro))
  • Bindungsspezifität

    • 39
    • 37
    • 23
    • 14
    • 10
    • 9
    • 5
    • 5
    • 4
    • 4
    • 4
    • 2
    • 2
    • 2
    • 2
    • 2
    • 2
    • 2
    • 2
    • 1
    • 1
    • 1
    • 1
    • 1
    • 1
    • 1
    • 1
    • 1
    • 1
    • 1
    • 1
    • 1
    • 1
    • 1
    AA 2436-2492

    Kreuzreaktivität

    Huhn, Rind (Kuh), Fisch, Human, Maus, Ratte

    Homologie

    Dog,Cow,Sheep,Horse

    Aufreinigung

    Purified by Protein A.

    Immunogen

    KLH conjugated synthetic peptide derived from human mTOR

    Isotyp

    IgG
  • Applikationshinweise

    IHC-P 1:100-500
    IF(IHC-P) 1:50-200

    Beschränkungen

    Nur für Forschungszwecke einsetzbar
  • Validierung #029761 (Western Blotting)
    'Independent Validation' Siegel
    by
    Alamo Laboratories Inc
    No.
    #029761
    Datum
    03.07.2014
    Antigen
    Chargennummer
    131209
    Validierte Anwendung
    Western Blotting
    Positivkontrolle
    HeLa cells
    Negativkontrolle
    c6/36 mosquito cells (non-reactive species)
    Bewertung
    A strong band was observed in the positive control sample at the correct molecular weight. Multiple faint bands were also observed in the positive sample, but these bands did not represent a significant background signal. A band at the correct molecular weight was also observed in the negative control; however, it may be impossible to find a true negative control for this antigen.
    'Independent Validation' Siegel
    Validierungsbilder
    Protokoll
    Primärantikörper
    • Antigen: Mechanistic Target of Rapamycin (serine/threonine Kinase) (FRAP1) (1:200 dilution)
    • Catalog number: ABIN676403
    • Lot number: 131209
    Sekundärantikörper
    • Antigen: Goat Anti-Rabbit IgG (H + L)-HRP Conjugate
    • Lot number: L170-6515
    Full Protocol
    • Total protein extracts were boiled in 1X SDS Sample Buffer containing 1% SDS and 1.25% β-mercaptoethanol at 95°C for 5 min prior to loading.
    • 20 μg of boiled extracts were loaded and resolved on 8-16% SDS-polyacrylamide gel.
    • The Thermo Scientific - Spectra Multicolor Broad Range (Cat # 26634) were used as molecular mass markers.
    • Proteins were then transferred onto PVDF membrane by wet transfer and protein transfer was confirmed with Ponceau-S staining.
    • The PVDF membrane was incubated with 25 mL of blocking buffer [Tris Buffered Saline, pH 7.4 plus 0.1% TW20 (TBST)] containing 5% (W/V) BSA at room temperature for 1 h.
    • The membrane was rinsed with TBST once.
    • The membrane was immersed with the protein side up in the primary antibody solution (FRAP1; 1:200) in TBST containing 5% (W/V) BSA and incubated for 16 h at 4°C.
    • The membrane was rinsed in TBST thrice for 5 min each.
    • The membrane was incubated in the HRP-conjugated secondary antibody solution (Goat anti-rabbit IgG-HRP; 1:20,000) in TBST containing 5% (W/V) BSA and incubated for 1 h at room temperature (~26°C) with gentle agitation.
    • The membrane was rinsed thrice TBST thrice for 5 min each.
    • The membrane was rinsed in TBS twice for 30 s each.
    • Signals were detected with ECL-2 Substrate. The blot was scanned for 300 s.
    • The membrane was rinsed three times TBST.
    • Incubated in Acidic Glycine Stripping Buffer at room temperature with gentle agitation for 3 times, 10 min each.
    • The membrane was washed in TBST 2 times for 10 min each.
    • Repeated Steps 5-12 with the loading control antibody (anti-Actin; 1:6,000) and its matching secondary antibody (Goat anti-rabbit IgG-HRP; 1:20,000).
    Anmerkungen
    - No experimental challenges noted.
  • Format

    Liquid

    Konzentration

    1 μg/μL

    Buffer

    0.01M TBS( pH 7.4) with 1 % BSA, 0.02 % Proclin300 and 50 % Glycerol.

    Konservierungsmittel

    Sodium azide

    Vorsichtsmaßnahmen

    This product contains Sodium azide: a POISONOUS AND HAZARDOUS SUBSTANCE, which should be handled by trained staff only.

    Lagerung

    4 °C,-20 °C

    Informationen zur Lagerung

    Shipped at 4°C. Store at -20°C for one year. Avoid repeated freeze/thaw cycles.

    Haltbarkeit

    12 months
  • Wang, Sun, Han, Li, Ge, Zhao, De Felici, Shen, Cheng: "Protective effects of melatonin against nicotine-induced disorder of mouse early folliculogenesis." in: Aging, Vol. 10, Issue 3, pp. 463-480, (2019) (PubMed).

    Sun, Li, Zhao, Wang, Liu, Shao, Xue, Xing: "Synergistic effect of copper and arsenic upon oxidative stress, inflammation and autophagy alterations in brain tissues of Gallus gallus." in: Journal of inorganic biochemistry, Vol. 178, pp. 54-62, (2018) (PubMed).

    Li, Qiu, Liu, Wang, Hu, Gan, Wang: "Long-term thermal manipulation in the late incubation period can inhibit breast muscle development by activating endoplasmic reticulum stress in duck (Anasplatyrhynchos domestica)." in: Journal of thermal biology, Vol. 70, Issue Pt B, pp. 37-45, (2017) (PubMed).

    Tian, Liu, Qu: "Role of endoplasmic reticulum stress on cisplatin resistance in ovarian carcinoma." in: Oncology letters, Vol. 13, Issue 3, pp. 1437-1443, (2017) (PubMed).

    Zou, Geng, Chen, Ren, Liu, Wan, Guo, Wang: "Ranolazine improves oxidative stress and mitochondrial function in the atrium of acetylcholine-CaCl2 induced atrial fibrillation rats." in: Life sciences, Vol. 156, pp. 7-14, (2016) (PubMed).

    Madka, Mohammed, Li, Zhang, Biddick, Patlolla, Lightfoot, Towner, Wu, Steele, Kopelovich, Rao: "Targeting mTOR and p53 Signaling Inhibits Muscle Invasive Bladder Cancer In Vivo." in: Cancer prevention research (Philadelphia, Pa.), Vol. 9, Issue 1, pp. 53-62, (2016) (PubMed).

    Yang, Wang, Wang, Zhang, Zhang, Lu, Wang: "mTOR is involved in 17?-estradiol-induced, cultured immature boar Sertoli cell proliferation via regulating the expression of SKP2, CCND1, and CCNE1." in: Molecular reproduction and development, Vol. 82, Issue 4, pp. 305-14, (2015) (PubMed).

    Li, Liu, Wang, Sun, Ding, Sun, Han, Wang: "Follistatin could promote the proliferation of duck primary myoblasts by activating PI3K/Akt/mTOR signalling." in: Bioscience reports, Vol. 34, Issue 5, (2014) (PubMed).

  • Target

    MTOR (mTOR) (Mechanistic Target of Rapamycin (serine/threonine Kinase) (mTOR))

    Andere Bezeichnung

    Mtor/Frap

    Hintergrund

    Synonyms: Serine/threonine-protein kinase mTOR, FK506-binding protein 12-rapamycin complex-associated protein 1, FKBP12-rapamycin complex-associated protein, Mammalian target of rapamycin, mTOR, Mechanistic target of rapamycin, Rapamycin and FKBP12 target 1, Rapamycin target protein 1, MTOR, FRAP, FRAP1, FRAP2, RAFT1, RAPT1

    Background: The protein encoded by this gene belongs to a family of phosphatidylinositol kinase-related kinases. These kinases mediate cellular responses to stresses such as DNA damage and nutrient deprivation. This protein acts as the target for the cell-cycle arrest and immunosuppressive effects of the FKBP12-rapamycin complex. The ANGPTL7 gene is located in an intron of this gene. [provided by RefSeq, Sep 2008]

    Gen-ID

    2475

    UniProt

    P42345

    Pathways

    PI3K-Akt Signalweg, RTK Signalweg, AMPK Signaling, Interferon-gamma Pathway, Fc-epsilon Rezeptor Signalübertragung, EGFR Signaling Pathway, Neurotrophin Signalübertragung, Regulation of Actin Filament Polymerization, Regulation of Muscle Cell Differentiation, Regulation of Cell Size, Skeletal Muscle Fiber Development, Regulation of Carbohydrate Metabolic Process, Autophagie, CXCR4-mediated Signaling Events, BCR Signaling, Warburg Effekt
Sie sind hier:
Chat with us!