JNK2 Antikörper (N-Term)
Kurzübersicht für JNK2 Antikörper (N-Term) (ABIN293094)
Target
Alle JNK2 (MAPK9) Antikörper anzeigenReaktivität
Wirt
Klonalität
Konjugat
Applikation
-
-
Bindungsspezifität
- N-Term
-
Spezifität
- Synthetic peptide corresponding to N-terminal residues of human MAPK9(Mitogen-activated protein kinase 9)
-
Aufreinigung
- Immunoaffinity purified
-
Immunogen
-
Synthetic peptide from human MAPK9 / JNK2.
Type of Immunogen: Synthetic peptide
-
-
-
-
Applikationshinweise
-
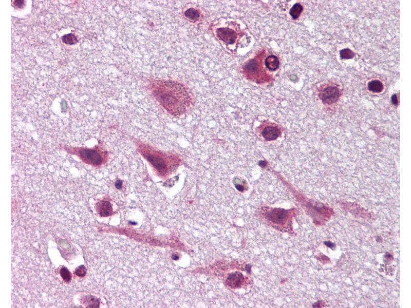
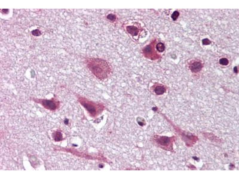
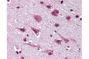
Approved: ELISA (1 μg/mL), IHC, IHC-P (20 μg/mL), WB (1 μg/mL)
Usage: Immunohistochemistry: This antibody was validated for use in immunohistochemistry on a panel of 21 formalin-fixed, paraffin-embedded (FFPE) human tissues after heat induced antigen retrieval in pH 6.0 citrate buffer. After incubation with the primary antibody, slides were incubated with biotinylated secondary antibody, followed by alkaline phosphatase-streptavidin and chromogen. The stained slides were evaluated by a pathologist to confirm staining specificity. The optimal working concentration for this antibody was determined to be 20 μg/mL. -
Kommentare
-
Target Species of Antibody: Human
-
Beschränkungen
- Nur für Forschungszwecke einsetzbar
-
-
-
Format
- Liquid
-
Konzentration
- Lot specific
-
Buffer
- PBS, 0.01 % sodium azide, 50 % glycerol.
-
Konservierungsmittel
- Sodium azide
-
Vorsichtsmaßnahmen
- This product contains Sodium azide: a POISONOUS AND HAZARDOUS SUBSTANCE which should be handled by trained staff only.
-
Handhabung
- Avoid repeated freezing and thawing.
-
Lagerung
- 4 °C,-20 °C
-
Informationen zur Lagerung
- Short term: 4°C. Long term: Store at -20°C. Avoid freeze-thaw cycles.
-
-
- JNK2 (MAPK9) (Mitogen-Activated Protein Kinase 9 (MAPK9))
-
Andere Bezeichnung
- MAPK9 / JNK2 / SAPK
-
Hintergrund
-
Name/Gene ID: MAPK9
Subfamily: MAPK
Family: Protein Kinase
Synonyms: MAPK9, C-Jun kinase 2, C-Jun N-terminal kinase 2, JNK2B, JNK2, JNK2ALPHA, MAP kinase 9, p54a, JNK2BETA, PRKM9, SAPK, MAPK 9, p54aSAPK, SAPK1a, JNK-55, JNK2A, Jun kinase -
Gen-ID
- 5601
-
UniProt
- P45984
-
Pathways
- MAPK Signalweg, WNT Signalweg, TLR Signalweg, Fc-epsilon Rezeptor Signalübertragung, Activation of Innate immune Response, Cellular Response to Molecule of Bacterial Origin, Positive Regulation of Endopeptidase Activity, Hepatitis C, Toll-Like Receptors Cascades, BCR Signaling, S100 Proteine
Target
-