Telefon:
+49 (0)241 95 163 153
Fax:
+49 (0)241 95 163 155
E-Mail:
orders@antikoerper-online.de

C-JUN Antikörper (pThr91)

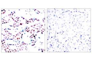
Der Kaninchen Polyklonal Anti-C-JUN-Antikörper wurde für WB und IHC validiert. Er ist geeignet, C-JUN in Proben von Human, Maus und Ratte zu detektieren.
Produktnummer ABIN273254

Kurzübersicht für C-JUN Antikörper (pThr91) (ABIN273254)

Target

Alle C-JUN (JUN) Antikörper anzeigen
C-JUN (JUN) (Jun Proto-Oncogene (JUN))

Reaktivität

  • 377
  • 198
  • 189
  • 33
  • 26
  • 21
  • 18
  • 17
  • 16
  • 12
  • 12
  • 7
  • 5
  • 4
  • 3
  • 1
  • 1
Human, Maus, Ratte

Wirt

  • 362
  • 28
  • 1
Kaninchen

Klonalität

  • 331
  • 60
Polyklonal

Konjugat

  • 194
  • 20
  • 12
  • 12
  • 12
  • 12
  • 12
  • 12
  • 10
  • 10
  • 10
  • 7
  • 7
  • 6
  • 6
  • 6
  • 6
  • 6
  • 6
  • 5
  • 5
  • 5
  • 3
  • 1
  • 1
  • 1
  • 1
  • 1
  • 1
  • 1
Dieser C-JUN Antikörper ist unkonjugiert

Applikation

  • 246
  • 126
  • 111
  • 95
  • 64
  • 50
  • 47
  • 47
  • 41
  • 23
  • 15
  • 11
  • 11
  • 7
  • 4
  • 3
  • 3
  • 2
  • 2
  • 1
  • 1
Western Blotting (WB), Immunohistochemistry (IHC)
Sie sind hier:
Chat with us!