Telefon:
+49 (0)241 95 163 153
Fax:
+49 (0)241 95 163 155
E-Mail:
orders@antikoerper-online.de

TCF3 Antikörper

(Transcription Factor 3 (E2A Immunoglobulin Enhancer Binding Factors E12/E47) (TCF3))

Wählen Sie einen von 90 TCF3-Antikörpern aus unserem Produktangebot basierend auf 8 Publikationen und 33 Validierungsbilder.

Entdecken Sie zuverlässige TCF3-Antikörper von einer großen Zahl namhafter Hersteller. Unser Portfolio ermöglicht eine präzise TCF3-Detektion in verschiedenen Spezies, darunter Human, Mouse, Rat, Dog, Guinea Pig, Horse, Pig, Cow, Rabbit, Bat, Chicken, Drosophila melanogaster, Hamster, Monkey, Zebrafish (Danio rerio), und unterstützt vielfältige Forschungsanwendungen wie WB, ELISA, FACS, IHC, IF (cc).

Finden Sie schnell den passenden Antikörper mit unseren Such-, Filter- und Vergleichsfunktionen. Auf jeder Produktseite stehen Ihnen detaillierte Validierungsdaten, Literaturreferenzen und Kundenbewertungen zur Verfügung. Im Gegensatz zu reinen Vergleichsportalen können Sie Ihre Antikörper direkt über unsere Plattform erwerben. Wählen Sie aus polyklonalen, monoklonalen oder rekombinanten TCF3-Antikörpern aus verschiedenen Wirtsarten wie Rabbit, Mouse, Goat. Durchstöbern Sie unten unsere Auswahl an TCF3-Antikörpern und bestellen Sie direkt, um Ihre Forschung effizient voranzubringen.

Alternative Bezeichnungen für TCF3 sind TCF3, tcf3b, Tcf3, tcf3.L, tcfe2a.

90 Treffer

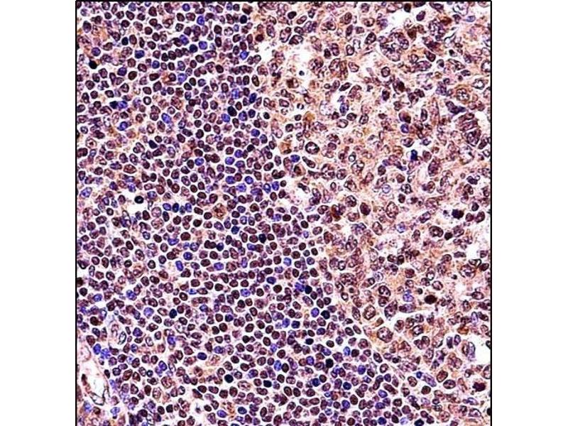
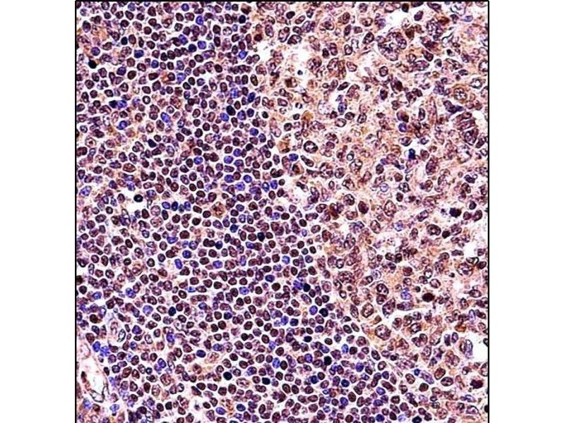
TCF3 Reaktivität: Human, Maus WB, FACS, IHC (p) Wirt: Kaninchen Polyclonal RB33747 unconjugated
Produktnummer ABIN657912
467,50 €
Zzgl. Versandkosten 20,00 € und MwSt
400 μL (Weitere Mengeneinheiten)
Lieferung nach: Deutschland
Lieferung in 14 bis 17 Werktagen
 
TCF3 Reaktivität: Human WB, ELISA Wirt: Maus Monoclonal 5G2 unconjugated
Pubmed 1 reference
Produktnummer ABIN563112
846,56 €
Zzgl. Versandkosten 20,00 € und MwSt
100 μg
Lieferung nach: Deutschland
Lieferung in 8 bis 9 Werktagen
 
TCF3 Reaktivität: Human WB, ELISA, FACS Wirt: Maus Monoclonal 6B8 unconjugated
Pubmed 2 Referenzen
Produktnummer ABIN1724729
455,40 €
Zzgl. Versandkosten 20,00 € und MwSt
100 μL
Lieferung nach: Deutschland
Lieferung in 7 bis 10 Werktagen
 
Verified TCF3 Reaktivität: Human WB, ELISA, IHC Wirt: Ziege Polyclonal unconjugated
Produktnummer ABIN190880
488,25 €
Zzgl. Versandkosten 20,00 € und MwSt
100 μg
Lieferung nach: Deutschland
Lieferung in 5 bis 8 Werktagen
 
TCF3 Reaktivität: Human, Maus, Ratte WB, ELISA, FACS, IHC (p), IF (cc), IF (p), IHC (fro) Wirt: Kaninchen Polyclonal unconjugated
Pubmed 1 reference
Produktnummer ABIN701605
384,62 €
Zzgl. Versandkosten 20,00 € und MwSt
100 μL
Lieferung nach: Deutschland
Lieferung in 8 bis 12 Werktagen
 
TCF3 Reaktivität: Human WB, ELISA, IHC Wirt: Kaninchen Polyclonal unconjugated
Produktnummer ABIN7180263
392,04 €
Zzgl. Versandkosten 20,00 € und MwSt
100 μL
Lieferung nach: Deutschland
Lieferung in 11 bis 15 Werktagen
 
TCF3 Reaktivität: Human, Maus, Ratte WB, ELISA, IHC Wirt: Kaninchen Polyclonal unconjugated
Produktnummer ABIN3187205
377,51 €
Zzgl. Versandkosten 20,00 € und MwSt
100 μL (Weitere Mengeneinheiten)
Lieferung nach: Deutschland
Lieferung in 8 bis 10 Werktagen
 
Verified TCF3 Reaktivität: Human WB, ELISA, IHC Wirt: Ziege Polyclonal Biotin
Produktnummer ABIN5539886
488,25 €
Zzgl. Versandkosten 20,00 € und MwSt
100 μg
Lieferung nach: Deutschland
Lieferung in 5 bis 8 Werktagen
 
TCF3 Reaktivität: Human ELISA, IHC Wirt: Kaninchen Polyclonal unconjugated
Produktnummer ABIN7172509
394,68 €
Zzgl. Versandkosten 20,00 € und MwSt
100 μg (Weitere Mengeneinheiten)
Lieferung nach: Deutschland
Lieferung in 11 bis 15 Werktagen
 
TCF3 Reaktivität: Human, Ratte WB Wirt: Kaninchen Polyclonal unconjugated
Produktnummer ABIN6750234
848,83 €
Zzgl. Versandkosten 20,00 € und MwSt
100 μL
Lieferung nach: Deutschland
Lieferung in 15 bis 20 Werktagen
 
TCF3 Reaktivität: Human, Maus, Ratte, Hund, Meerschweinchen, Drosophila melanogaster, Hamster WB Wirt: Kaninchen Polyclonal unconjugated
Produktnummer ABIN203333
797,50 €
Zzgl. Versandkosten 20,00 € und MwSt
100 μL
Lieferung nach: Deutschland
Lieferung in 15 bis 20 Werktagen
 
TCF3 Reaktivität: Human, Maus, Ratte, Hund, Pferd, Schwein, Fledermaus, Affe WB Wirt: Kaninchen Polyclonal unconjugated
Produktnummer ABIN202854
797,50 €
Zzgl. Versandkosten 20,00 € und MwSt
100 μL
Lieferung nach: Deutschland
Lieferung in 15 bis 20 Werktagen
 
TCF3 Reaktivität: Human ELISA, IHC Wirt: Kaninchen Polyclonal unconjugated
Produktnummer ABIN7138838
475,20 €
Zzgl. Versandkosten 20,00 € und MwSt
100 μL
Lieferung nach: Deutschland
Lieferung in 11 bis 15 Werktagen
 
TCF3 Reaktivität: Human, Maus, Ratte WB, ELISA, IHC Wirt: Kaninchen Polyclonal unconjugated
Produktnummer ABIN1533624
402,00 €
Zzgl. Versandkosten 20,00 € und MwSt
100 μL (Weitere Mengeneinheiten)
Lieferung nach: Deutschland
Lieferung in 6 bis 9 Werktagen
 
TCF3 Reaktivität: Human, Maus, Ratte, Hund, Meerschweinchen, Pferd, Schwein, Rind (Kuh), Kaninchen WB Wirt: Kaninchen Polyclonal unconjugated
Produktnummer ABIN2780485
470,22 €
Zzgl. Versandkosten 20,00 € und MwSt
100 μL (Weitere Mengeneinheiten)
Lieferung nach: Deutschland
Lieferung in 6 bis 9 Werktagen
 
TCF3 Reaktivität: Human, Huhn WB, IHC Wirt: Kaninchen Polyclonal unconjugated
Produktnummer ABIN7297090
330,77 €
Zzgl. Versandkosten 20,00 € und MwSt
100 μL (Weitere Mengeneinheiten)
Lieferung nach: Deutschland
Lieferung in 17 bis 20 Werktagen
 
TCF3 Reaktivität: Human, Maus, Ratte WB, FACS, IF (cc), IF (p) Wirt: Kaninchen Polyclonal AbBy Fluor® 750
Produktnummer ABIN5001639
458,46 €
Zzgl. Versandkosten 20,00 € und MwSt
100 μL
Lieferung nach: Deutschland
Lieferung in 20 bis 25 Werktagen
 
TCF3 Reaktivität: Human, Maus, Ratte WB, FACS, IF (cc), IF (p) Wirt: Kaninchen Polyclonal AbBy Fluor® 680
Produktnummer ABIN5001638
458,46 €
Zzgl. Versandkosten 20,00 € und MwSt
100 μL
Lieferung nach: Deutschland
Lieferung in 20 bis 25 Werktagen
 
TCF3 Reaktivität: Human, Maus WB, ELISA Wirt: Kaninchen Polyclonal unconjugated
Produktnummer ABIN7225270
748,34 €
Zzgl. Versandkosten 20,00 € und MwSt
100 μL (Weitere Mengeneinheiten)
Lieferung nach: Deutschland
Lieferung in 10 bis 14 Werktagen
 
TCF3 Reaktivität: Human, Maus, Ratte ELISA, IHC (p) Wirt: Kaninchen Polyclonal unconjugated
Produktnummer ABIN7224618
748,34 €
Zzgl. Versandkosten 20,00 € und MwSt
100 μL (Weitere Mengeneinheiten)
Lieferung nach: Deutschland
Lieferung in 10 bis 14 Werktagen
 
  • Typ Primary
    • Primary
  • Anwendung
    • Western Blotting (WB)
    • ELISA
    • Flow Cytometry (FACS)
    • Immunohistochemistry (IHC)
    • Immunofluorescence (Cultured Cells) (IF (cc))
    • Immunofluorescence (Paraffin-embedded Sections) (IF (p))
    • Immunohistochemistry (Paraffin-embedded Sections) (IHC (p))
    • Immunohistochemistry (Frozen Sections) (IHC (fro))
    • Immunoprecipitation (IP)
    • Immunofluorescence (IF)
    • Enzyme Immunoassay (EIA)
    • Immunocytochemistry (ICC)
  • Reaktivität
    • Human
    • Mouse
    • Rat
    • Dog
    • Guinea Pig
    • Horse
    • Pig
    • Cow
    • Rabbit
    • Bat
    • Chicken
    • Drosophila melanogaster
    • Hamster
    • Monkey
    • Zebrafish (Danio rerio)
  • In Publikationen zitiert
  • Abbildungen verfügbar
  • Nur ohne Konservierungsmittel
  • Carrier free only
  • Wirt
    • Rabbit
    • Mouse
    • Goat
    • Rat
    • Sheep
  • Klonalität
    • Polyclonal
    • Monoclonal
  • Klon
    • 5G2
    • 6B8
    • 826927
    • G127-32
    • RB33747
  • Bindungsspezifität
    • AA 75-180
    • pThr355
    • C-Term
    • AA 506-534
    • AA 415-658
    • N-Term
    • AA 505-534
    • AA 33-159
    • Internal Region
    • AA 100-500
    • AA 150-200
    • AA 290-370
    • AA 321-370
    • AA 505-554
    • AA 51-100
    • AA 540-620
    • AA 545-654
    • AA 545-655
    • AA 551-600
    • AA 571-620
    • Asn601
    • Thr355
    • Tyr15
  • Konjugat
    • Unkonjugiert
    • Biotin
    • FITC
    • Alexa Fluor 488
    • Alexa Fluor 555
    • Alexa Fluor 594
    • Alexa Fluor 647
    • Alexa Fluor 680
    • Alexa Fluor 750
    • HRP
    • APC
    • PE
    • AbBy Fluor® 350
    • AbBy Fluor® 488
    • AbBy Fluor® 555
    • AbBy Fluor® 594
    • AbBy Fluor® 647
    • AbBy Fluor® 680
    • AbBy Fluor® 750
    • Alexa Fluor 350
    • Alexa Fluor 405
    • Cy3
    • Cy5
    • Cy5.5
    • Cy7
  • Isotyp
    • IgG
    • IgG2b
    • Ig Fraction
    • IgG1
    • IgG1 kappa
    • IgG2a
    • IgG2b kappa
  • Protein-Typ
    • Recombinant Antibody
  • Format
    • Liquid
    • Lyophilized
  • Grade
    • Verified
  • Hersteller
    • antibodies-online
    • Signalway
    • USBio
    • Aviva Systems Biology
    • Abbexa
    • Assay Biotechnology Company, Inc.
    • Acris
    • Angio-Proteomie
    • BD Biosciences
    • Cohesion Biosciences
    • ProSci

Aktuelle Publikationen für unsere TCF3 Antikörper

He, Long, Zhong, Fu, Li, Lin: "Sustained endoplasmic reticulum stress inhibits hepatocyte proliferation via downregulation of c-Met expression." in: Molecular and cellular biochemistry, Vol. 389, Issue 1-2, pp. 151-8, (2014) (PubMed).

Schmeisser, Grabrucker, Bockmann, Boeckers: "Synaptic cross-talk between N-methyl-D-aspartate receptors and LAPSER1-beta-catenin at excitatory synapses." in: The Journal of biological chemistry, Vol. 284, Issue 42, pp. 29146-57, (2009) (PubMed).

King, Van der Put, Blomberg, Riley: "Accelerated Notch-dependent degradation of E47 proteins in aged B cell precursors is associated with increased ERK MAPK activation." in: Journal of immunology (Baltimore, Md. : 1950), Vol. 178, Issue 6, pp. 3521-9, (2007) (PubMed).

Greenbaum, Lazorchak, Zhuang: "Differential functions for the transcription factor E2A in positive and negative gene regulation in pre-B lymphocytes." in: The Journal of biological chemistry, Vol. 279, Issue 43, pp. 45028-35, (2004) (PubMed).

Cole, Zhang, Geyra, Kang, Krauss: "Positive regulation of myogenic bHLH factors and skeletal muscle development by the cell surface receptor CDO." in: Developmental cell, Vol. 7, Issue 6, pp. 843-54, (2004) (PubMed).

Nie, Xu, Vladimirova, Sun: "Notch-induced E2A ubiquitination and degradation are controlled by MAP kinase activities." in: The EMBO journal, Vol. 22, Issue 21, pp. 5780-92, (2003) (PubMed).

Snider, Thirlwell, Miller, Moon, Groudine, Tapscott: "Inhibition of Tcf3 binding by I-mfa domain proteins." in: Molecular and cellular biology, Vol. 21, Issue 5, pp. 1866-73, (2001) (PubMed).

Firulli, Hadzic, McDaid, Firulli: "The basic helix-loop-helix transcription factors dHAND and eHAND exhibit dimerization characteristics that suggest complex regulation of function." in: The Journal of biological chemistry, Vol. 275, Issue 43, pp. 33567-73, (2000) (PubMed).

Bain, Robanus Maandag, te Riele, Feeney, Sheehy, Schlissel, Shinton, Hardy, Murre: "Both E12 and E47 allow commitment to the B cell lineage." in: Immunity, Vol. 6, Issue 2, pp. 145-54, (1997) (PubMed).

Bain, Gruenwald, Murre: "E2A and E2-2 are subunits of B-cell-specific E2-box DNA-binding proteins." in: Molecular and cellular biology, Vol. 13, Issue 6, pp. 3522-9, (1993) (PubMed).

Aliase für TCF3 Antikörper

transcription factor 3 (TCF3) Antikörper
transcription factor 3b (tcf3b) Antikörper
transcription factor 3 (Tcf3) Antikörper
transcription factor 3 L homeolog (tcf3.L) Antikörper
transcription factor E2a (tcfe2a) Antikörper
A1 Antikörper
AA408400 Antikörper
ALF2 Antikörper
AW209082 Antikörper
bHLHb21 Antikörper
bhlhb21 Antikörper
E2A Antikörper
e2a Antikörper
E12 Antikörper
E12/E47 Antikörper
E47 Antikörper
G12 Antikörper
ITF1 Antikörper
itf1 Antikörper
ME2 Antikörper
Pan1 Antikörper
Pan2 Antikörper
TCF-3 Antikörper
tcf3a Antikörper
TCF7L1 Antikörper
Tcfe2a Antikörper
tcfe2a Antikörper
VDIR Antikörper
vdir Antikörper
XE3 Antikörper
xtcf-3 Antikörper
xtcf3 Antikörper
zgc:113045 Antikörper
Sie sind hier:
Chat with us!