Telefon:
+49 (0)241 95 163 153
Fax:
+49 (0)241 95 163 155
E-Mail:
orders@antikoerper-online.de

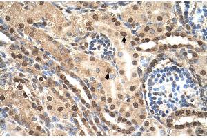
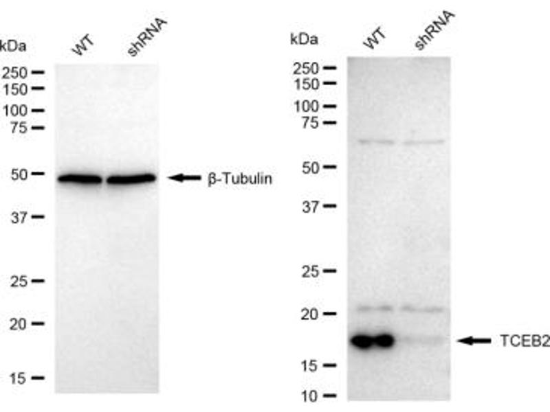
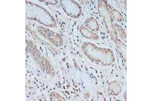
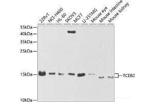
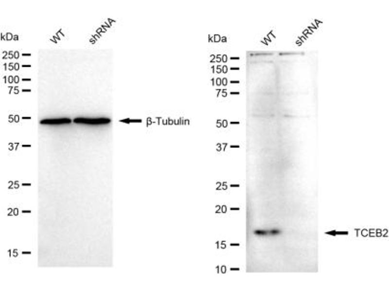
TCEB2 Antikörper

(Transcription Elongation Factor B (SIII), Polypeptide 2 (18kDa, Elongin B) (TCEB2))

Wählen Sie einen von 53 TCEB2-Antikörpern aus unserem Produktangebot basierend auf 40 Validierungsbilder.

Entdecken Sie zuverlässige TCEB2-Antikörper von einer großen Zahl namhafter Hersteller. Unser Portfolio ermöglicht eine präzise TCEB2-Detektion in verschiedenen Spezies, darunter Human, Mouse, Rat, Cow, Dog, Goat, Pig, Rabbit, Bat, Guinea Pig, Monkey, Zebrafish (Danio rerio), und unterstützt vielfältige Forschungsanwendungen wie WB, ELISA, IHC, IF, ICC.

Finden Sie schnell den passenden Antikörper mit unseren Such-, Filter- und Vergleichsfunktionen. Auf jeder Produktseite stehen Ihnen detaillierte Validierungsdaten, Literaturreferenzen und Kundenbewertungen zur Verfügung. Im Gegensatz zu reinen Vergleichsportalen können Sie Ihre Antikörper direkt über unsere Plattform erwerben. Wählen Sie aus polyklonalen, monoklonalen oder rekombinanten TCEB2-Antikörpern aus verschiedenen Wirtsarten wie Rabbit, Mouse, Chicken. Durchstöbern Sie unten unsere Auswahl an TCEB2-Antikörpern und bestellen Sie direkt, um Ihre Forschung effizient voranzubringen.

Alternative Bezeichnungen für TCEB2 sind Elob, elob, ELOB.

53 Treffer

TCEB2 Reaktivität: Human WB, ELISA, IF Wirt: Maus Monoclonal 6F6 unconjugated
Produktnummer ABIN563104
651,20 €
Zzgl. Versandkosten 20,00 € und MwSt
100 μg
Lieferung nach: Deutschland
Lieferung in 8 bis 9 Werktagen
 
KD Validated TCEB2 Reaktivität: Human WB, ICC, FACS Wirt: Kaninchen Monoclonal 23GB5610 unconjugated Recombinant Antibody
Produktnummer ABIN7800584
598,92 €
Zzgl. Versandkosten 20,00 € und MwSt
100 μL
Lieferung nach: Deutschland
Lieferung in 7 bis 10 Werktagen
 
TCEB2 Reaktivität: Human, Maus, Ratte WB, ELISA, IHC, IF, ICC, FACS Wirt: Kaninchen Polyclonal unconjugated
Produktnummer ABIN7598964
500,50 €
Zzgl. Versandkosten 20,00 € und MwSt
100 μg
Lieferung nach: Deutschland
Lieferung in 8 bis 12 Werktagen
 
KD Validated TCEB2 Reaktivität: Human WB, ICC, FACS Wirt: Kaninchen Monoclonal 23GB5615 unconjugated Recombinant Antibody
Produktnummer ABIN7800585
598,92 €
Zzgl. Versandkosten 20,00 € und MwSt
100 μL
Lieferung nach: Deutschland
Lieferung in 7 bis 10 Werktagen
 
TCEB2 Reaktivität: Human WB, ELISA, IHC Wirt: Kaninchen Polyclonal unconjugated
Produktnummer ABIN7151593
328,90 €
Zzgl. Versandkosten 20,00 € und MwSt
100 μL (Weitere Mengeneinheiten)
Lieferung nach: Deutschland
Lieferung in 11 bis 15 Werktagen
 
TCEB2 Reaktivität: Human WB, IHC, IP, ICC Wirt: Kaninchen Polyclonal unconjugated
Produktnummer ABIN7445372
310,62 €
Zzgl. Versandkosten 20,00 € und MwSt
100 μL (Weitere Mengeneinheiten)
Lieferung nach: Deutschland
Lieferung in 11 bis 15 Werktagen
 
TCEB2 Reaktivität: Human WB, ELISA Wirt: Maus Monoclonal 2B4 unconjugated
Produktnummer ABIN520749
651,20 €
Zzgl. Versandkosten 20,00 € und MwSt
100 μg
Lieferung nach: Deutschland
Lieferung in 8 bis 9 Werktagen
 
TCEB2 Reaktivität: Human WB Wirt: Maus Polyclonal unconjugated
Produktnummer ABIN948530
651,20 €
Zzgl. Versandkosten 20,00 € und MwSt
50 μg
Lieferung nach: Deutschland
Lieferung in 8 bis 9 Werktagen
 
TCEB2 Reaktivität: Human, Rind (Kuh), Hund, Ziege, Schwein, Kaninchen, Fledermaus, Affe WB, IHC, IHC (p) Wirt: Kaninchen Polyclonal unconjugated
Produktnummer ABIN6737644
789,41 €
Zzgl. Versandkosten 20,00 € und MwSt
100 μL
Lieferung nach: Deutschland
Lieferung in 15 bis 20 Werktagen
 
TCEB2 Reaktivität: Human, Maus, Ratte ELISA, IHC Wirt: Kaninchen Polyclonal unconjugated
Produktnummer ABIN7245644
449,00 €
Zzgl. Versandkosten 20,00 € und MwSt
200 μL (Weitere Mengeneinheiten)
Lieferung nach: Deutschland
Lieferung in 9 bis 13 Werktagen
 
TCEB2 Reaktivität: Human WB, ELISA Wirt: Maus Monoclonal unconjugated
Produktnummer ABIN791478
825,22 €
Zzgl. Versandkosten 20,00 € und MwSt
100 μL
Lieferung nach: Deutschland
Lieferung in 15 bis 20 Werktagen
 
TCEB2 Reaktivität: Human, Maus, Ratte, Rind (Kuh), Hund, Ziege, Schwein, Kaninchen, Meerschweinchen, Zebrafisch (Danio rerio) WB, IHC Wirt: Kaninchen Polyclonal unconjugated
Produktnummer ABIN2777254
534,11 €
Zzgl. Versandkosten 20,00 € und MwSt
100 μL (Weitere Mengeneinheiten)
Lieferung nach: Deutschland
Lieferung in 6 bis 9 Werktagen
 
TCEB2 Reaktivität: Human, Maus, Ratte WB, ELISA Wirt: Kaninchen Polyclonal unconjugated
Produktnummer ABIN7228388
623,62 €
Zzgl. Versandkosten 20,00 € und MwSt
100 μL (Weitere Mengeneinheiten)
Lieferung nach: Deutschland
Lieferung in 10 bis 14 Werktagen
 
TCEB2 Reaktivität: Human, Maus ELISA, IHC (p), IF (cc), IF (p), IHC (fro) Wirt: Kaninchen Polyclonal unconjugated
Produktnummer ABIN755377
357,70 €
Zzgl. Versandkosten 20,00 € und MwSt
100 μL
Lieferung nach: Deutschland
Lieferung in 8 bis 12 Werktagen
 
TCEB2 Reaktivität: Human, Ratte WB, ELISA, IF Wirt: Maus Monoclonal 6F6 unconjugated
Produktnummer ABIN1828998
634,26 €
Zzgl. Versandkosten 20,00 € und MwSt
100 μg
Lieferung nach: Deutschland
Lieferung in 15 bis 20 Werktagen
 
TCEB2 Reaktivität: Human, Maus WB, IP, IHC (fp) Wirt: Kaninchen Polyclonal unconjugated
Produktnummer ABIN7453458
576,62 €
Zzgl. Versandkosten 20,00 € und MwSt
100 μg (Weitere Mengeneinheiten)
Lieferung nach: Deutschland
Lieferung in 7 bis 10 Werktagen
 
TCEB2 Reaktivität: Human WB, IP Wirt: Maus Monoclonal unconjugated
Produktnummer ABIN6758119
1.072,45 €
Zzgl. Versandkosten 20,00 € und MwSt
100 μg
Lieferung nach: Deutschland
Lieferung in 15 bis 20 Werktagen
 
TCEB2 Reaktivität: Human, Maus, Rind (Kuh), Hund, Ziege, Schwein, Kaninchen WB, IP Wirt: Kaninchen Polyclonal unconjugated
Produktnummer ABIN1940909
946,27 €
Zzgl. Versandkosten 20,00 € und MwSt
100 μL (Weitere Mengeneinheiten)
Lieferung nach: Deutschland
Lieferung in 15 bis 20 Werktagen
 
TCEB2 Reaktivität: Human WB, IHC Wirt: Huhn Polyclonal unconjugated
Produktnummer ABIN342824
854,20 €
Zzgl. Versandkosten 20,00 € und MwSt
1 mg
Lieferung nach: Deutschland
Lieferung in 15 bis 20 Werktagen
 
TCEB2 Reaktivität: Human, Maus WB, ELISA Wirt: Kaninchen Polyclonal unconjugated
Produktnummer ABIN2573638
1.328,20 €
Zzgl. Versandkosten 20,00 € und MwSt
200 μL
Lieferung nach: Deutschland
Lieferung in 15 bis 20 Werktagen
 
  • Typ Primary
    • Primary
  • Anwendung
    • Western Blotting (WB)
    • ELISA
    • Immunohistochemistry (IHC)
    • Immunofluorescence (IF)
    • Immunocytochemistry (ICC)
    • Immunoprecipitation (IP)
    • Flow Cytometry (FACS)
    • Immunohistochemistry (Paraffin-embedded Sections) (IHC (p))
    • Enzyme Immunoassay (EIA)
    • Immunofluorescence (Cultured Cells) (IF (cc))
    • Immunofluorescence (Paraffin-embedded Sections) (IF (p))
    • Immunohistochemistry (Formalin-fixed Paraffin-embedded Sections) (IHC (fp))
    • Immunohistochemistry (Frozen Sections) (IHC (fro))
    • Intracellular Flow Cytometry (ICFC)
  • Reaktivität
    • Human
    • Mouse
    • Rat
    • Cow
    • Dog
    • Goat
    • Pig
    • Rabbit
    • Bat
    • Guinea Pig
    • Monkey
    • Zebrafish (Danio rerio)
  • Abbildungen verfügbar
  • Nur ohne Konservierungsmittel
  • Carrier free only
  • Wirt
    • Rabbit
    • Mouse
    • Chicken
  • Klonalität
    • Polyclonal
    • Monoclonal
  • Klon
    • 6F6
    • 10C4
    • 23GB5610
    • 23GB5615
    • 2B4
    • 30E87
  • Bindungsspezifität
    • AA 21-48
    • AA 2-29
    • AA 1-118
    • AA 1-29
    • AA 30-110
    • AA 68-118
    • AA 9-118
    • Center
    • N-Term
    • AA 10-100
    • AA 20-48
    • AA 9-119
    • C-Term
    • Internal Region
    • Middle Region
  • Konjugat
    • Unkonjugiert
    • Biotin
    • APC
    • FITC
    • HRP
    • PE
    • Alexa Fluor 350
    • Alexa Fluor 405
    • Alexa Fluor 488
    • Alexa Fluor 555
    • Alexa Fluor 594
    • Alexa Fluor 647
    • Alexa Fluor 680
    • Alexa Fluor 750
  • Isotyp
    • IgG
    • Ig Fraction
    • IgG1
    • IgG1 kappa
    • IgG2a
    • IgG2a kappa
  • Protein-Typ
    • Recombinant Antibody
  • Format
    • Liquid
    • Lyophilized
  • Grade
    • KD Validated
  • Hersteller
    • antibodies-online
    • Signalway
    • USBio
    • Boster Bio
    • Acris
    • Aviva Systems Biology
    • BioLegend
    • Enogene Biotech
    • ProSci
    • RayBiotech
    • Wuhan Fine biotech

Aktuelle Publikationen für unsere TCEB2 Antikörper

Jungnickel, Staratschek-Jox, Bräuninger, Spieker, Wolf, Diehl, Hansmann, Rajewsky, Küppers: "Clonal deleterious mutations in the IkappaBalpha gene in the malignant cells in Hodgkin's lymphoma." in: The Journal of experimental medicine, Vol. 191, Issue 2, pp. 395-402, (2000) (PubMed).

Karin, Ben-Neriah: "Phosphorylation meets ubiquitination: the control of NF-[kappa]B activity." in: Annual review of immunology, Vol. 18, Issue 8, pp. 621-63, (2000) (PubMed).

Aliase für TCEB2 Antikörper

elongin B (Elob) Antikörper
elongin B (elob) Antikörper
elongin B (ELOB) Antikörper
0610040H15Rik Antikörper
cb162 Antikörper
ELOB Antikörper
SIII Antikörper
wu:fb47e08 Antikörper
Sie sind hier:
Chat with us!