Telefon:
+49 (0)241 95 163 153
Fax:
+49 (0)241 95 163 155
E-Mail:
orders@antikoerper-online.de

eIF4EBP1 Antikörper (pThr45)

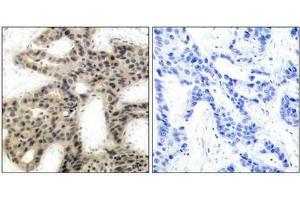
Der Kaninchen Polyklonal anti-eIF4EBP1 Antikörper wird verwendet zum Nachweis von eIF4EBP1 in Proben von Human. Er wurde validiert für WB, IHC und ELISA.
Produktnummer ABIN7138854
396,00 €
Zzgl. Versandkosten 20,00 € und MwSt
100 μL
Lieferung nach: Deutschland
Lieferung in 11 bis 15 Werktagen

Kurzübersicht für eIF4EBP1 Antikörper (pThr45) (ABIN7138854)

Target

Alle eIF4EBP1 (EIF4EBP1) Antikörper anzeigen
eIF4EBP1 (EIF4EBP1) (Eukaryotic Translation Initiation Factor 4E Binding Protein 1 (EIF4EBP1))

Reaktivität

  • 253
  • 195
  • 152
  • 22
  • 14
  • 7
  • 6
  • 6
  • 5
  • 4
  • 3
  • 2
  • 2
  • 2
  • 1
  • 1
  • 1
  • 1
Human

Wirt

  • 267
  • 20
  • 4
Kaninchen

Klonalität

  • 219
  • 74
Polyklonal

Konjugat

  • 121
  • 27
  • 16
  • 10
  • 8
  • 8
  • 7
  • 6
  • 6
  • 6
  • 6
  • 6
  • 6
  • 6
  • 6
  • 6
  • 6
  • 6
  • 6
  • 5
  • 5
  • 5
  • 3
  • 3
  • 3
Dieser eIF4EBP1 Antikörper ist unkonjugiert

Applikation

  • 239
  • 110
  • 90
  • 66
  • 66
  • 50
  • 39
  • 35
  • 28
  • 16
  • 16
  • 8
  • 6
  • 4
  • 3
  • 2
  • 1
  • 1
Western Blotting (WB), Immunohistochemistry (IHC), ELISA
  • Bindungsspezifität

    • 34
    • 30
    • 27
    • 19
    • 16
    • 15
    • 12
    • 11
    • 7
    • 7
    • 7
    • 7
    • 5
    • 5
    • 5
    • 4
    • 2
    • 2
    • 2
    • 2
    • 2
    • 2
    • 2
    • 2
    • 2
    • 2
    • 2
    • 1
    • 1
    • 1
    • 1
    • 1
    • 1
    • 1
    • 1
    • 1
    • 1
    • 1
    • 1
    • 1
    • 1
    • 1
    • 1
    • 1
    • 1
    • 1
    • 1
    • 1
    • 1
    pThr45

    Verwendungszweck

    Phospho-EIF4EBP1 (Thr45) Antibody

    Kreuzreaktivität

    Maus, Ratte

    Aufreinigung

    Antibodies were produced by immunizing rabbits with synthetic phosphopeptide and KLH conjugates. Antibodies were purified by affinity-chromatography using epitope-specific phosphopeptide. Non-phospho specific antibodies were removed by chromatogramphy usi

    Immunogen

    Peptide sequence around phosphorylation site of threonine 45 (S-T-T(p)-P-G) derived from Human 4E-BP1.

    Isotyp

    IgG
  • Applikationshinweise

    Optimal working dilution should be determined by the investigator.

    Beschränkungen

    Nur für Forschungszwecke einsetzbar
  • Format

    Liquid

    Buffer

    Supplied at 1.0 mg/mL in phosphate buffered saline (without Mg2+ and Ca2+), pH 7.4, 150 mM NaCl, 0.02 % sodium azide and 50 % glycerol.

    Konservierungsmittel

    Sodium azide

    Vorsichtsmaßnahmen

    This product contains Sodium azide: a POISONOUS AND HAZARDOUS SUBSTANCE which should be handled by trained staff only.

    Lagerung

    -20 °C,-80 °C

    Informationen zur Lagerung

    Upon receipt, store at -20°C or -80°C. Avoid repeated freeze.
  • Target

    eIF4EBP1 (EIF4EBP1) (Eukaryotic Translation Initiation Factor 4E Binding Protein 1 (EIF4EBP1))

    Andere Bezeichnung

    EIF4EBP1

    Hintergrund

    Background:

    4E-BP1 encodes one member of a family of translation repressor proteins. The protein directly interacts with eukaryotic translation initiation factor 4E (eIF4E), which is a limiting component of the multisubunit complex that recruits 40S ribosomal subunits to the 5' end of mRNAs. Interaction of this protein with eIF4E inhibits complex assembly and represses translation. This protein is phosphorylated in response to various signals including UV irradiation and insulin signaling, resulting in its dissociation from eIF4E and activation of mRNA translation.

    Gingras AC, et al. (1998) Genes Dev 12(4): 502-513.
    Brugarolas J, et al. (2004) Genes Dev 18(23): 2893-2904.
    Kumar V, et al. (2000) EMBO J 19(5): 1087-1097.
    Moody CA, et al. (2005) J Virol 79(9): 5499-5506.
    Burnett PE, et al. (1998) Proc Natl Acad Sci U S A 95(4): 1432-1437.

    Aliases: 4E-BP1 antibody, 4EBP1 antibody, 4EBP1_HUMAN antibody, BP 1 antibody, eIF4E binding protein 1 antibody, eIF4E-binding protein 1 antibody, Eif4ebp1 antibody, Eukaryotic translation initiation factor 4E-binding protein 1 antibody, PHAS-I antibody, PHASI antibody, Phosphorylated heat- and acid-stable protein regulated by insulin 1 antibody

    UniProt

    Q13541

    Pathways

    MAPK Signalweg, PI3K-Akt Signalweg, RTK Signalweg, AMPK Signaling, Regulation of Cell Size, BCR Signaling
Sie sind hier:
Chat with us!