Telefon:
+49 (0)241 95 163 153
Fax:
+49 (0)241 95 163 155
E-Mail:
orders@antikoerper-online.de

ZKSCAN4 Antikörper

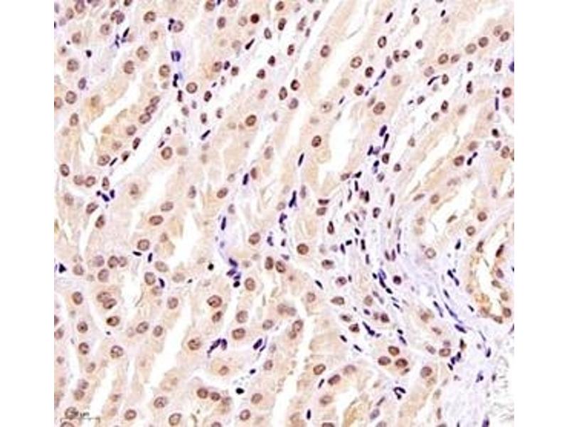
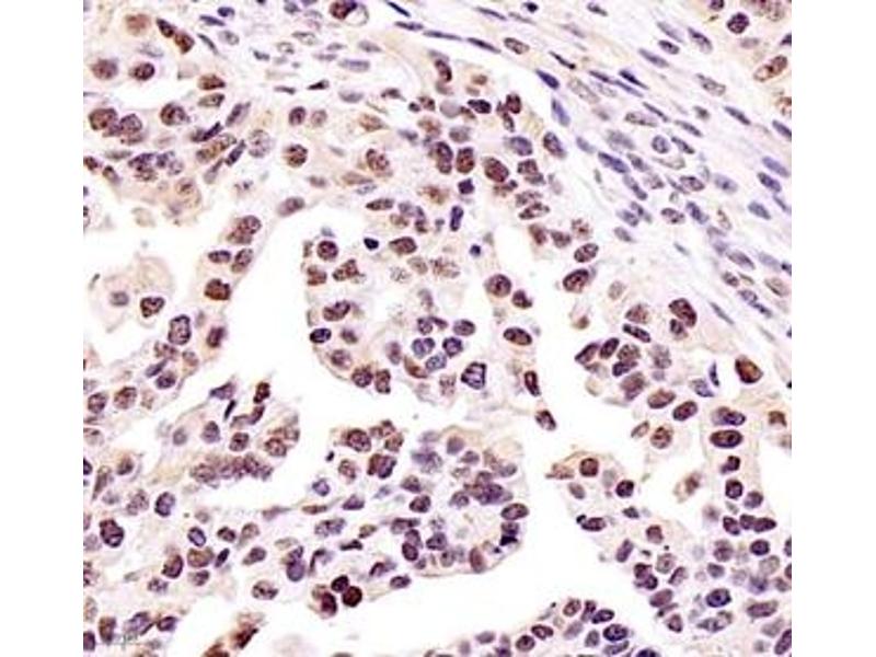
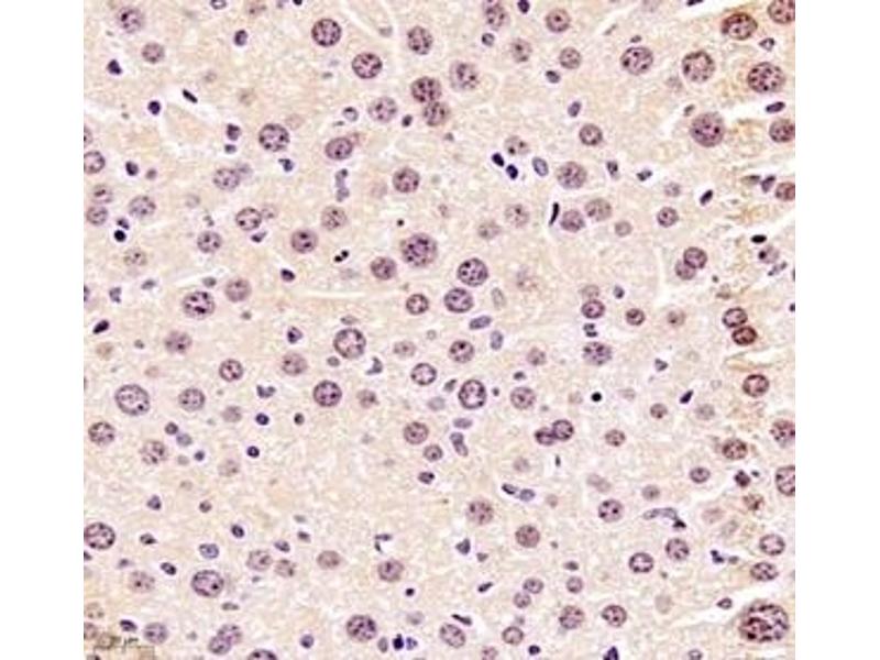
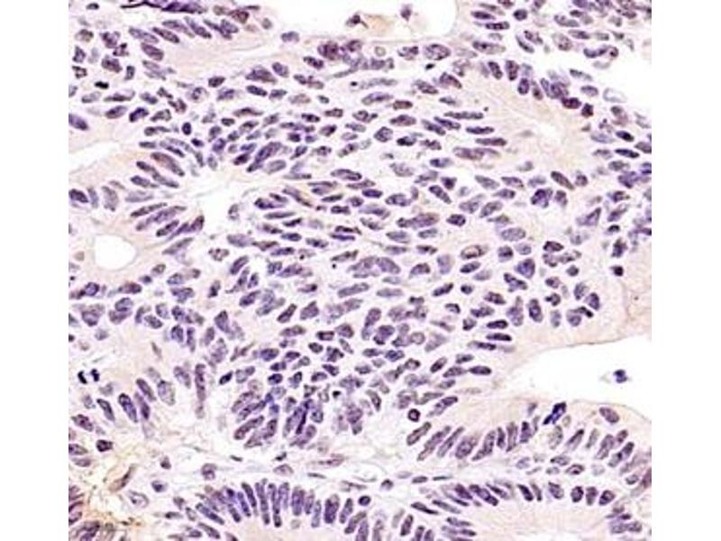
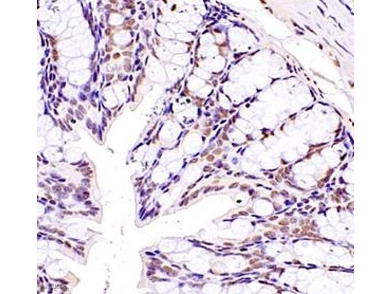
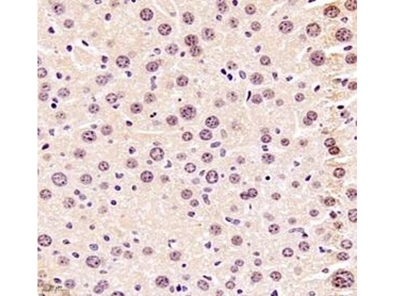
Der Kaninchen Polyklonal anti-ZKSCAN4 Antikörper wird verwendet zum Nachweis von ZKSCAN4 in Proben von Human und Maus. Er wurde validiert für IHC und IF.
Produktnummer ABIN7076265
592,31 €
Zzgl. Versandkosten 20,00 € und MwSt
100 μL
Lieferung nach: Deutschland
Lieferung in 13 bis 20 Werktagen

Kurzübersicht für ZKSCAN4 Antikörper (ABIN7076265)

Target

Alle ZKSCAN4 Antikörper anzeigen
ZKSCAN4 (Zinc Finger Protein 307 (ZKSCAN4))

Reaktivität

  • 52
  • 24
  • 16
  • 6
  • 5
  • 3
  • 2
  • 2
  • 2
Human, Maus

Wirt

  • 45
  • 7
Kaninchen

Klonalität

  • 46
  • 5
Polyklonal

Konjugat

  • 25
  • 4
  • 3
  • 3
  • 1
  • 1
  • 1
  • 1
  • 1
  • 1
  • 1
  • 1
  • 1
  • 1
  • 1
  • 1
  • 1
  • 1
  • 1
  • 1
  • 1
Dieser ZKSCAN4 Antikörper ist unkonjugiert

Applikation

  • 28
  • 18
  • 11
  • 11
  • 5
  • 3
  • 2
  • 1
Immunohistochemistry (IHC), Immunofluorescence (IF)
Sie sind hier:
Chat with us!