Telefon:
+49 (0)241 95 163 153
Fax:
+49 (0)241 95 163 155
E-Mail:
orders@antikoerper-online.de

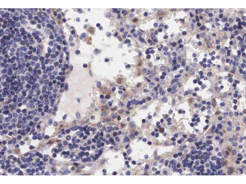
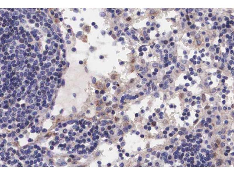
RAF1 Antikörper (pSer621)

Dieser Kaninchen Polyklonal Antikörper detektiert spezifisch RAF1 in WB, ELISA, IHC, IF und ICC. Es zeigt Reaktivität gegenüber Proben von Human, Maus und Ratte.
Produktnummer ABIN6256385
525,71 €
Zzgl. Versandkosten 20,00 € und MwSt
Lieferung nach: Deutschland
Lieferung in 9 bis 11 Werktagen

Kurzübersicht für RAF1 Antikörper (pSer621) (ABIN6256385)

Target

Alle RAF1 Antikörper anzeigen
RAF1 (V-Raf-1 Murine Leukemia Viral Oncogene Homolog 1 (RAF1))

Reaktivität

  • 485
  • 245
  • 174
  • 17
  • 14
  • 12
  • 11
  • 9
  • 5
  • 4
  • 4
  • 2
  • 2
  • 2
  • 2
  • 1
Human, Maus, Ratte

Wirt

  • 518
  • 15
  • 2
  • 2
Kaninchen

Klonalität

  • 436
  • 101
Polyklonal

Konjugat

  • 209
  • 38
  • 27
  • 26
  • 16
  • 15
  • 14
  • 14
  • 14
  • 14
  • 14
  • 14
  • 10
  • 10
  • 10
  • 10
  • 10
  • 10
  • 10
  • 10
  • 10
  • 10
  • 10
  • 6
  • 6
Dieser RAF1 Antikörper ist unkonjugiert

Applikation

  • 354
  • 204
  • 129
  • 104
  • 104
  • 73
  • 68
  • 41
  • 38
  • 34
  • 24
  • 16
  • 12
  • 3
  • 2
  • 1
Western Blotting (WB), ELISA, Immunohistochemistry (IHC), Immunofluorescence (IF), Immunocytochemistry (ICC)
  • Bindungsspezifität

    • 58
    • 50
    • 35
    • 34
    • 28
    • 24
    • 24
    • 23
    • 23
    • 21
    • 21
    • 15
    • 15
    • 14
    • 11
    • 8
    • 8
    • 8
    • 7
    • 6
    • 6
    • 6
    • 4
    • 4
    • 3
    • 3
    • 3
    • 3
    • 3
    • 2
    • 2
    • 2
    • 2
    • 2
    • 2
    • 2
    • 2
    • 2
    • 1
    • 1
    • 1
    • 1
    • 1
    • 1
    • 1
    • 1
    • 1
    • 1
    • 1
    • 1
    pSer621

    Spezifität

    Phospho-C-RAF (Ser621) Antibody detects endogenous levels of C-RAF only when phosphorylated at Serine 621.

    Homologie

    Pig,Bovine,Sheep,Dog,Chicken,Xenopus

    Aufreinigung

    The antibody is from purified rabbit serum by affinity purification via sequential chromatography on phospho- and non-phospho-peptide affinity columns.

    Immunogen

    A synthesized peptide derived from human C-RAF around the phosphorylation site of Ser621.

    Isotyp

    IgG
  • Applikationshinweise

    WB 1:500-1:2000, IHC 1:50-1:200, IF/ICC 1:100-1:500, ELISA(peptide) 1:20000-1:40000

    Beschränkungen

    Nur für Forschungszwecke einsetzbar
  • Format

    Liquid

    Konzentration

    1 mg/mL

    Buffer

    Rabbit IgG in phosphate buffered saline , pH 7.4, 150 mM NaCl, 0.02 % sodium azide and 50 % glycerol.

    Konservierungsmittel

    Sodium azide

    Vorsichtsmaßnahmen

    This product contains Sodium azide: a POISONOUS AND HAZARDOUS SUBSTANCE which should be handled by trained staff only.

    Lagerung

    -20 °C

    Informationen zur Lagerung

    Store at -20 °C. Stable for 12 months from date of receipt.

    Haltbarkeit

    12 months
  • Target

    RAF1 (V-Raf-1 Murine Leukemia Viral Oncogene Homolog 1 (RAF1))

    Andere Bezeichnung

    RAF1

    Hintergrund

    Description: Serine/threonine-protein kinase that acts as a regulatory link between the membrane-associated Ras GTPases and the MAPK/ERK cascade, and this critical regulatory link functions as a switch determining cell fate decisions including proliferation, differentiation, apoptosis, survival and oncogenic transformation. RAF1 activation initiates a mitogen-activated protein kinase (MAPK) cascade that comprises a sequential phosphorylation of the dual-specific MAPK kinases (MAP2K1/MEK1 and MAP2K2/MEK2) and the extracellular signal-regulated kinases (MAPK3/ERK1 and MAPK1/ERK2). The phosphorylated form of RAF1 (on residues Ser-338 and Ser-339, by PAK1) phosphorylates BAD/Bcl2-antagonist of cell death at 'Ser-75'. Phosphorylates adenylyl cyclases: ADCY2, ADCY5 and ADCY6, resulting in their activation. Phosphorylates PPP1R12A resulting in inhibition of the phosphatase activity. Phosphorylates TNNT2/cardiac muscle troponin T. Can promote NF-kB activation and inhibit signal transducers involved in motility (ROCK2), apoptosis (MAP3K5/ASK1 and STK3/MST2), proliferation and angiogenesis (RB1). Can protect cells from apoptosis also by translocating to the mitochondria where it binds BCL2 and displaces BAD/Bcl2-antagonist of cell death. Regulates Rho signaling and migration, and is required for normal wound healing. Plays a role in the oncogenic transformation of epithelial cells via repression of the TJ protein, occludin (OCLN) by inducing the up-regulation of a transcriptional repressor SNAI2/SLUG, which induces down-regulation of OCLN. Restricts caspase activation in response to selected stimuli, notably Fas stimulation, pathogen-mediated macrophage apoptosis, and erythroid differentiation.

    Gene: RAF1

    Molekulargewicht

    74kDa

    Gen-ID

    5894

    UniProt

    P04049

    Pathways

    MAPK Signalweg, RTK Signalweg, Fc-epsilon Rezeptor Signalübertragung, Neurotrophin Signalübertragung, cAMP Metabolic Process, Stem Cell Maintenance, Hepatitis C, Autophagie, Signaling of Hepatocyte Growth Factor Receptor, VEGF Signaling, BCR Signaling
Sie sind hier:
Chat with us!