Telefon:
+49 (0)241 95 163 153
Fax:
+49 (0)241 95 163 155
E-Mail:
orders@antikoerper-online.de

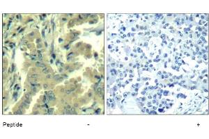
Phospholipase C gamma 2 Antikörper (Tyr1217)

PLCG2 Reaktivität: Human, Ratte, Maus IF, IHC (p) Wirt: Kaninchen Polyclonal unconjugated
Produktnummer ABIN319402
  • Target Alle Phospholipase C gamma 2 (PLCG2) Antikörper anzeigen
    Phospholipase C gamma 2 (PLCG2)
    Bindungsspezifität
    • 27
    • 18
    • 15
    • 12
    • 6
    • 5
    • 4
    • 3
    • 3
    • 2
    • 2
    • 2
    • 2
    • 1
    • 1
    • 1
    • 1
    • 1
    • 1
    Tyr1217
    Reaktivität
    • 110
    • 53
    • 40
    • 6
    • 4
    • 4
    • 4
    • 4
    • 3
    • 1
    Human, Ratte, Maus
    Wirt
    • 101
    • 9
    Kaninchen
    Klonalität
    • 101
    • 9
    Polyklonal
    Konjugat
    • 49
    • 6
    • 4
    • 4
    • 3
    • 3
    • 3
    • 3
    • 3
    • 3
    • 3
    • 3
    • 3
    • 3
    • 3
    • 3
    • 3
    • 2
    • 2
    • 2
    • 2
    Dieser Phospholipase C gamma 2 Antikörper ist unkonjugiert
    Applikation
    • 83
    • 37
    • 37
    • 32
    • 31
    • 19
    • 18
    • 12
    • 11
    • 7
    • 6
    • 3
    • 2
    • 1
    • 1
    Immunofluorescence (IF), Immunohistochemistry (Paraffin-embedded Sections) (IHC (p))
    Spezifität
    This antibody detects endogenous levels of total PLC-gamma 2 protein.
    Aufreinigung
    Immunoaffinity Chromatography
    Immunogen
    The antiserum was produced against synthesized non-phosphopeptide derived from human PLC-gamma 2 around the phosphorylation site of Tyrosine 1217 (F-L-YP-D-T).
    Top Product
    Discover our top product PLCG2 Primärantikörper
  • Applikationshinweise
    Immunohistochemistry (1/50-1/100).
    Other applications not tested.
    Optimal dilutions are dependent on conditions and should be determined by the user.
    Beschränkungen
    Nur für Forschungszwecke einsetzbar
  • Konzentration
    1,0 mg/mL
    Buffer
    PBS (without Mg2+ and Ca2+), pH 7.4, 150 mM NaCl, 0.02 % Sodium Azide and 50 % Glycerol.
    Konservierungsmittel
    Sodium azide
    Vorsichtsmaßnahmen
    This product contains sodium azide: a POISONOUS AND HAZARDOUS SUBSTANCE which should be handled by trained staff only.
    Handhabung
    Avoid repeated freezing and thawing.
    Lagerung
    -20 °C
    Informationen zur Lagerung
    Store the antibody (in aliquots) at-20 °C.
  • Target
    Phospholipase C gamma 2 (PLCG2)
    Andere Bezeichnung
    PLCG2 (PLCG2 Produkte)
    Hintergrund
    Synonyms: 1-phosphatidylinositol-4, 5-bisphosphate phosphodiesterase gamma-2, PLC-IV, PLC-gamma-2, Phosphoinositide phospholipase C-gamma-2, Phospholipase C-IV, Phospholipase C-gamma-2
    Gen-ID
    5336
    NCBI Accession
    NP_002652
    UniProt
    P16885
    Pathways
    RTK Signalweg, WNT Signalweg, Fc-epsilon Rezeptor Signalübertragung, Inositol Metabolic Process, Myometrial Relaxation and Contraction, Toll-Like Receptors Cascades, VEGF Signaling, BCR Signaling
Sie sind hier:
Chat with us!