×
Aktivieren Sie Javascript in Ihrem Browser, um unsere Webseite optimal zu nutzen.
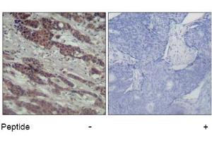
RAF1 Antikörper (Ser338)
Der Kaninchen Polyklonal anti-RAF1 Antikörper wird verwendet zum Nachweis von RAF1 in Proben von Human und Maus. Er wurde validiert für WB und IHC (p).
Produktnummer ABIN319325
606,15 €
Zzgl. Versandkosten 20,00 € und MwSt
0.1 mL ABIN319325
50 μL ABIN319326
0.1 mL ABIN319325
50 μL ABIN319326
Lieferung in 16 Werktagen
Kurzübersicht für RAF1 Antikörper (Ser338) (ABIN319325)
Target
Alle RAF1 Antikörper anzeigen
RAF1
(V-Raf-1 Murine Leukemia Viral Oncogene Homolog 1 (RAF1))
Reaktivität
Alle Reaktivitäten für RAF1 Antikörper
Human, Maus
Wirt
Alle Wirte für RAF1 Antikörper
Kaninchen
Klonalität
Alle Klonalitäten für RAF1 Antikörper
Polyklonal
Konjugat
Alle Konjugate für RAF1 Antikörper
Dieser RAF1 Antikörper ist unkonjugiert
Applikation
Alle Applikationen für RAF1 Antikörper
Western Blotting (WB), Immunohistochemistry (Paraffin-embedded Sections) (IHC (p))
Produktdetails anti-RAF1 Antikörper
(ausblenden)
Bindungsspezifität
Alle Epitope für RAF1 Antikörper
Ser338
Spezifität
This antibody detects endogenous levels of total Raf1 protein.
Aufreinigung
Immunoaffinity Chromatography.
Immunogen
The antiserum was produced against synthesized non-phosphopeptide derived from human Raf1 around the phosphorylation site of Serine 338 (R-D-SP-S-Y).
Alternativen
(anzeigen)
Anwendungsinformationen
(ausblenden)
Applikationshinweise
Western Blot (1/500-1/1000). Immunohistochemistry (1/50-1/100). Other applications not tested. Optimal dilutions are dependent on conditions and should be determined by the user.
Beschränkungen
Nur für Forschungszwecke einsetzbar
Handhabung
(ausblenden)
Buffer
PBS (without Mg2+ and Ca2+), pH 7.4, 150 mM NaCl, 0.02 % Sodium Azide and 50 % Glycerol.
Konservierungsmittel
Sodium azide
Vorsichtsmaßnahmen
This product contains sodium azide: a POISONOUS AND HAZARDOUS SUBSTANCE which should be handled by trained staff only.
Handhabung
Avoid repeated freezing and thawing.
Lagerung
-20 °C
Informationen zur Lagerung
Store the antibody (in aliquots) at-20 °C.
Details zu RAF1
(ausblenden)
Target
RAF1
(V-Raf-1 Murine Leukemia Viral Oncogene Homolog 1 (RAF1))
Andere Bezeichnung
RAF1
Hintergrund
Synonyms: C-RAF, RAF proto-oncogene serine/threonine-protein kinase, Raf-1, cRaf
Gen-ID
5894
NCBI Accession
NP_002871
UniProt
P04049
Pathways
MAPK Signalweg , RTK Signalweg , Fc-epsilon Rezeptor Signalübertragung , Neurotrophin Signalübertragung , cAMP Metabolic Process , Stem Cell Maintenance , Hepatitis C , Autophagie , Signaling of Hepatocyte Growth Factor Receptor , VEGF Signaling , BCR Signaling
Zuletzt angesehen
(ausblenden)
Sie sind hier:
Startseite
anti-RAF1 Antikörper (Ser338) (ABIN319325)
Chat with us , powered by LiveChat