Telefon:
+49 (0)241 95 163 153
Fax:
+49 (0)241 95 163 155
E-Mail:
orders@antikoerper-online.de

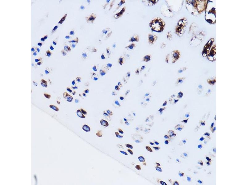
PTH1R Antikörper (AA 464-593)

Der Kaninchen Polyklonal Anti-PTH1R-Antikörper wurde für WB und IHC validiert. Er ist geeignet, PTH1R in Proben von Human zu detektieren.
Produktnummer ABIN3022478

Kurzübersicht für PTH1R Antikörper (AA 464-593) (ABIN3022478)

Target

Alle PTH1R Antikörper anzeigen
PTH1R (Parathyroid Hormone 1 Receptor (PTH1R))

Reaktivität

  • 46
  • 17
  • 11
  • 8
  • 8
  • 7
  • 6
  • 5
  • 3
  • 2
  • 1
  • 1
  • 1
  • 1
  • 1
  • 1
  • 1
  • 1
Human

Wirt

  • 37
  • 9
  • 1
Kaninchen

Klonalität

  • 37
  • 10
Polyklonal

Konjugat

  • 36
  • 2
  • 2
  • 1
  • 1
  • 1
  • 1
  • 1
  • 1
  • 1
Dieser PTH1R Antikörper ist unkonjugiert

Applikation

  • 32
  • 23
  • 19
  • 8
  • 8
  • 7
  • 5
  • 3
  • 2
  • 1
  • 1
  • 1
Western Blotting (WB), Immunohistochemistry (IHC)
  • Bindungsspezifität

    • 6
    • 4
    • 4
    • 3
    • 2
    • 2
    • 1
    • 1
    • 1
    • 1
    • 1
    • 1
    • 1
    • 1
    • 1
    • 1
    • 1
    • 1
    • 1
    • 1
    AA 464-593

    Sequenz

    GEVQAEIKKS WSRWTLALDF KRKARSGSSS YSYGPMVSHT SVTNVGPRVG LGLPLSPRLL PTATTNGHPQ LPGHAKPGTP ALETLETTPP AMAAPKDDGF LNGSCSGLDE EASGPERPPA LLQEEWETVM

    Kreuzreaktivität

    Human, Maus, Ratte

    Produktmerkmale

    Polyclonal Antibodies

    Immunogen

    Recombinant fusion protein containing a sequence corresponding to amino acids 464-593 of human PTH1R (NP_000307.1).

    Isotyp

    IgG
  • Applikationshinweise

    WB,1:500 - 1:2000,IHC,1:50 - 1:200

    Beschränkungen

    Nur für Forschungszwecke einsetzbar
  • Format

    Liquid

    Buffer

    PBS with 0.02 % sodium azide,50 % glycerol, pH 7.3.

    Konservierungsmittel

    Sodium azide

    Vorsichtsmaßnahmen

    This product contains Sodium azide: a POISONOUS AND HAZARDOUS SUBSTANCE which should be handled by trained staff only.

    Handhabung

    Avoid freeze / thaw cycles

    Lagerung

    -20 °C

    Informationen zur Lagerung

    Store at -20°C. Avoid freeze / thaw cycles.
  • Target

    PTH1R (Parathyroid Hormone 1 Receptor (PTH1R))

    Andere Bezeichnung

    PTH1R

    Hintergrund

    The protein encoded by this gene is a member of the G-protein coupled receptor family 2. This protein is a receptor for parathyroid hormone (PTH) and for parathyroid hormone-like hormone (PTHLH). The activity of this receptor is mediated by G proteins which activate adenylyl cyclase and also a phosphatidylinositol-calcium second messenger system. Defects in this receptor are known to be the cause of Jansen's metaphyseal chondrodysplasia (JMC), chondrodysplasia Blomstrand type (BOCD), as well as enchodromatosis. Two transcript variants encoding the same protein have been found for this gene.,PTH1R,PFE,PTHR,PTHR1,Signal Transduction,Cell Biology & Developmental Biology,Growth factor,Endocrine & Metabolism,Neuroscience,PTH1R

    Molekulargewicht

    66 kDa

    Gen-ID

    5745

    UniProt

    Q03431

    Pathways

    Regulation of Carbohydrate Metabolic Process
Sie sind hier:
Chat with us!