Telefon:
+49 (0)241 95 163 153
Fax:
+49 (0)241 95 163 155
E-Mail:
orders@antikoerper-online.de

MEK1 Antikörper (AA 1-100)

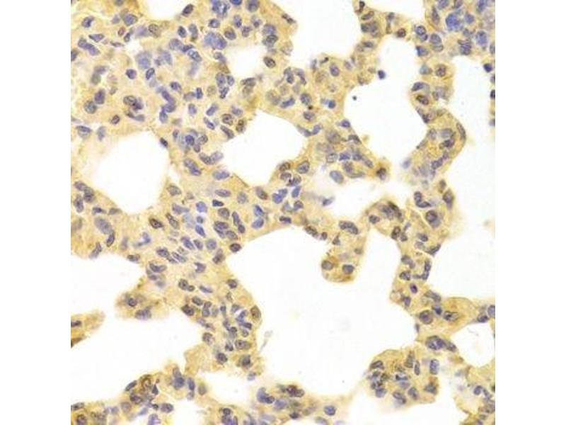
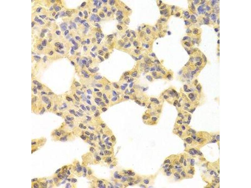
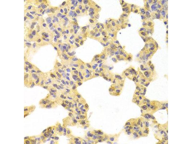
Zitiert in 1 Publikation. Der Kaninchen Polyklonal anti-MEK1 Antikörper (ABIN3020794) detektiert spezifisch MEK1 in WB und IF. Dieser Antikörper reagiert spezifisch mit Proben aus Human.
Produktnummer ABIN3020794
320,00 €
Zzgl. Versandkosten 20,00 € und MwSt
Lieferung nach: Deutschland
Lieferung in 7 bis 9 Werktagen

Kurzübersicht für MEK1 Antikörper (AA 1-100) (ABIN3020794)

Target

Alle MEK1 (MAP2K1) Antikörper anzeigen
MEK1 (MAP2K1) (Mitogen-Activated Protein Kinase Kinase 1 (MAP2K1))

Reaktivität

  • 377
  • 212
  • 204
  • 45
  • 38
  • 20
  • 14
  • 12
  • 12
  • 9
  • 7
  • 6
  • 5
  • 4
  • 2
  • 1
  • 1
  • 1
  • 1
Human

Wirt

  • 344
  • 31
  • 3
  • 2
  • 2
Kaninchen

Klonalität

  • 271
  • 111
Polyklonal

Konjugat

  • 182
  • 22
  • 14
  • 14
  • 13
  • 12
  • 11
  • 11
  • 11
  • 11
  • 8
  • 5
  • 5
  • 5
  • 5
  • 5
  • 5
  • 5
  • 5
  • 5
  • 5
  • 5
  • 5
  • 5
  • 4
  • 2
  • 2
Dieser MEK1 Antikörper ist unkonjugiert

Applikation

  • 265
  • 130
  • 111
  • 69
  • 68
  • 66
  • 60
  • 48
  • 45
  • 40
  • 15
  • 9
  • 8
  • 7
  • 4
  • 3
  • 1
  • 1
  • 1
  • 1
Western Blotting (WB), Immunofluorescence (IF)
  • Bindungsspezifität

    • 52
    • 30
    • 27
    • 24
    • 23
    • 22
    • 16
    • 16
    • 15
    • 14
    • 10
    • 10
    • 10
    • 8
    • 8
    • 8
    • 6
    • 6
    • 5
    • 4
    • 4
    • 3
    • 3
    • 2
    • 2
    • 2
    • 2
    • 2
    • 2
    • 2
    • 2
    • 2
    • 2
    • 2
    • 2
    • 2
    • 2
    • 2
    • 2
    • 1
    • 1
    • 1
    • 1
    • 1
    • 1
    • 1
    • 1
    • 1
    • 1
    • 1
    AA 1-100

    Sequenz

    MPKKKPTPIQ LNPAPDGSAV NGTSSAETNL EALQKKLEEL ELDEQQRKRL EAFLTQKQKV GELKDDDFEK ISELGAGNGG VVFKVSHKPS GLVMARKLIH

    Kreuzreaktivität

    Human, Maus, Ratte

    Produktmerkmale

    Polyclonal Antibodies

    Aufreinigung

    Affinity purification

    Immunogen

    A synthetic peptide corresponding to a sequence within amino acids 1-100 of human MEK1 (NP_002746.1).

    Isotyp

    IgG
  • Applikationshinweise

    WB,1:500 - 1:2000,IF,1:50 - 1:100

    Beschränkungen

    Nur für Forschungszwecke einsetzbar
  • Format

    Liquid

    Buffer

    PBS with 0.02 % sodium azide,50 % glycerol, pH 7.3.

    Konservierungsmittel

    Sodium azide

    Vorsichtsmaßnahmen

    This product contains Sodium azide: a POISONOUS AND HAZARDOUS SUBSTANCE which should be handled by trained staff only.

    Handhabung

    Avoid freeze / thaw cycles

    Lagerung

    -20 °C

    Informationen zur Lagerung

    Store at -20°C. Avoid freeze / thaw cycles.
  • Wu, Xiong, Li, Yang, Ge et al.: "Integrated Proteomic and Transcriptomic Analysis Reveals Long Noncoding RNA HOX Transcript Antisense Intergenic RNA (HOTAIR) Promotes Hepatocellular Carcinoma Cell Proliferation by Regulating Opioid ..." in: Molecular & cellular proteomics : MCP, Vol. 17, Issue 1, pp. 146-159, (2019) (PubMed).

  • Target

    MEK1 (MAP2K1) (Mitogen-Activated Protein Kinase Kinase 1 (MAP2K1))

    Andere Bezeichnung

    MAP2K1

    Hintergrund

    The protein encoded by this gene is a member of the dual specificity protein kinase family, which acts as a mitogen-activated protein (MAP) kinase kinase. MAP kinases, also known as extracellular signal-regulated kinases (ERKs), act as an integration point for multiple biochemical signals. This protein kinase lies upstream of MAP kinases and stimulates the enzymatic activity of MAP kinases upon wide variety of extra- and intracellular signals. As an essential component of MAP kinase signal transduction pathway, this kinase is involved in many cellular processes such as proliferation, differentiation, transcription regulation and development.,CFC3,MAPKK1,MEK1,MKK1,PRKMK1,MAP2K1,Signal Transduction,G protein signaling,G2/M DNA Damage Checkpoint,Kinase,Tyrosine kinases,ErbB-HER Signaling Pathway,MAPK-Erk Signaling Pathway,Cell Biology & Developmental Biology,Cytoskeleton,Actins,ESC Pluripotency and Differentiation,Endocrine & Metabolism,Insulin Receptor Signaling Pathway,Warburg Effect,Immunology & Inflammation,B Cell Receptor Signaling Pathway,T Cell Receptor Signaling Pathway,IL-6 Receptor Signaling Pathway,Neuroscience,Neurodegenerative Diseases,Cardiovascular,Angiogenesis,MAP2K1

    Molekulargewicht

    40 kDa/43 kDa

    Gen-ID

    5604

    UniProt

    Q02750

    Pathways

    MAPK Signalweg, RTK Signalweg, Interferon-gamma Pathway, Fc-epsilon Rezeptor Signalübertragung, Neurotrophin Signalübertragung, Activation of Innate immune Response, Toll-Like Receptors Cascades, Autophagie, Signaling of Hepatocyte Growth Factor Receptor, BCR Signaling
Sie sind hier:
Chat with us!