PKC alpha Antikörper
Kurzübersicht für PKC alpha Antikörper (ABIN272065)
Target
Alle PKC alpha (PKCa) Antikörper anzeigenReaktivität
Wirt
Klonalität
Konjugat
Applikation
-
-
Spezifität
- This antibody detects endogenous levels of PKC α, β I, II, γ, δ, ε, η, ζ and θ isoforms. (region surrounding Thr495)
-
Kreuzreaktivität (Details)
-
Species reactivity (expected):Mouse and Rat.
Species reactivity (tested):Human. -
Aufreinigung
- The antibody was affinity-purified from rabbit antiserum by affinity-chromatography using epitope-specific immunogen
-
Reinheit
- > 95 % pure by SDS-PAGE
-
-
-
-
Applikationshinweise
-
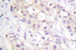
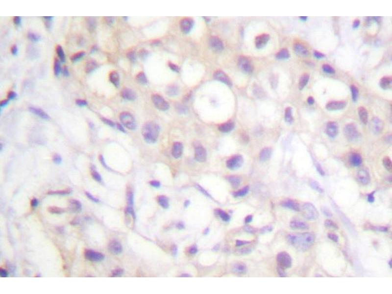
ELISA: 1: 5000approx. 1: 10000. Western blot: 1: 500approx. 1: 1000. Immunohistochemistry on paraffin sections: 1: 50approx. 1: 200. Immunflourescence: 1: 50approx. 1: 200.
Other applications not tested.
Optimal dilutions are dependent on conditions and should be determined by the user. -
Beschränkungen
- Nur für Forschungszwecke einsetzbar
-
-
-
Konzentration
- 1.0 mg/mL
-
Buffer
- Phosphate buffered saline (PBS), pH ~7.2, 15 mM Sodium Azide
-
Konservierungsmittel
- Sodium azide
-
Vorsichtsmaßnahmen
- This product contains sodium azide: a POISONOUS AND HAZARDOUS SUBSTANCE which should be handled by trained staff only.
-
Handhabung
- Avoid repeated freezing and thawing.
-
Lagerung
- 4 °C/-20 °C
-
Informationen zur Lagerung
- Store the antibody undiluted at 2-8 °C for up to one month. For long term storage, aliquot and store at -20 °C.
-
-
- PKC alpha (PKCa) (Protein Kinase C, alpha (PKCa))
-
Andere Bezeichnung
- PRKCA
-
Hintergrund
- Protein Kinase C (PKC) isoforms are serine/threonine kinases involved in signal transduction pathways that govern a wide range of physiological processes including differentiation, proliferation, gene expression, brain function, membrane transport and the organization of cytoskeletal and extracellular matrix proteins. Increasing evidence from studies using in vitro and in vivo systems points to PKC as a key regulator of critical cell cycle transitions, including cell cycle entry and exit and the G1 and G2 checkpoints. PKC-mediated control of these transitions can be negative or positive, depending on the timing of PKC activation during the cell cycle and on the specific PKC isozymes involved. There have been at least 12 different PKC isoforms identified in humans to date, including alpha, beta I, beta II, gamma, delta, epsilon, zeta, eta, theta, iota, lambda, and mu.Synonyms: Protein kinase C
-
Molekulargewicht
- approx. 75-88 kDa
-
Gen-ID
- 5578
-
NCBI Accession
- NP_002728
-
UniProt
- P17252
-
Pathways
- WNT Signalweg, T-Zell Rezeptor Signalweg, EGFR Signaling Pathway, Neurotrophin Signalübertragung, Thyroid Hormone Synthesis, cAMP Metabolic Process, Myometrial Relaxation and Contraction, Cell-Cell Junction Organization, Regulation of G-Protein Coupled Receptor Protein Signaling, G-protein mediated Events, Signaling Events mediated by VEGFR1 and VEGFR2, Interaction of EGFR with phospholipase C-gamma, Thromboxane A2 Receptor Signaling, VEGFR1 Specific Signals, VEGF Signaling
Target
-