Telefon:
+49 (0)241 95 163 153
Fax:
+49 (0)241 95 163 155
E-Mail:
orders@antikoerper-online.de

Protein Kinase C, alpha Antikörper

(Protein Kinase C, alpha (PKCa))

Wählen Sie einen von 212 PKC alpha-Antikörpern aus unserem Produktangebot basierend auf 26 Publikationen und 111 Validierungsbilder.

Entdecken Sie zuverlässige PKC alpha-Antikörper von einer großen Zahl namhafter Hersteller. Unser Portfolio ermöglicht eine präzise PKC alpha-Detektion in verschiedenen Spezies, darunter Human, Mouse, Rat, Cow, Monkey, Dog, Rabbit, Chicken, Frog, Guinea Pig, Hamster, Fish, Mammalian, Primate, Rodents, Zebrafish (Danio rerio), und unterstützt vielfältige Forschungsanwendungen wie WB, IHC, ELISA, IF, ICC.

Finden Sie schnell den passenden Antikörper mit unseren Such-, Filter- und Vergleichsfunktionen. Auf jeder Produktseite stehen Ihnen detaillierte Validierungsdaten, Literaturreferenzen und Kundenbewertungen zur Verfügung. Im Gegensatz zu reinen Vergleichsportalen können Sie Ihre Antikörper direkt über unsere Plattform erwerben. Wählen Sie aus polyklonalen, monoklonalen oder rekombinanten PKC alpha-Antikörpern aus verschiedenen Wirtsarten wie Rabbit, Mouse, Rat. Durchstöbern Sie unten unsere Auswahl an PKC alpha-Antikörpern und bestellen Sie direkt, um Ihre Forschung effizient voranzubringen.

Alternative Bezeichnungen für PKC alpha sind PRKCA, Prkca, prkca.L, prkca, Prkcg, PRRT2.

212 Treffer

PKCa Reaktivität: Human WB, ELISA, IF, IHC (p), PLA Wirt: Maus Monoclonal 2F11 unconjugated
Produktnummer ABIN562379
651,20 €
Zzgl. Versandkosten 20,00 € und MwSt
100 μg
Lieferung nach: Deutschland
Lieferung in 8 bis 9 Werktagen
 
KD Validated PKCa Reaktivität: Human WB, ICC, FACS, IF (p) Wirt: Kaninchen Monoclonal 23GB1690 unconjugated Recombinant Antibody
Produktnummer ABIN7799989
598,92 €
Zzgl. Versandkosten 20,00 € und MwSt
100 μL
Lieferung nach: Deutschland
Lieferung in 7 bis 10 Werktagen
 
KD Validated PKCa Reaktivität: Human WB, FACS, IF (p) Wirt: Kaninchen Monoclonal 23GB4955 unconjugated Recombinant Antibody
Produktnummer ABIN7799986
598,92 €
Zzgl. Versandkosten 20,00 € und MwSt
100 μL
Lieferung nach: Deutschland
Lieferung in 7 bis 10 Werktagen
 
KD Validated PKCa Reaktivität: Human WB, FACS, IF (p) Wirt: Kaninchen Monoclonal 24GB4475 unconjugated Recombinant Antibody
Produktnummer ABIN7799991
598,92 €
Zzgl. Versandkosten 20,00 € und MwSt
100 μL
Lieferung nach: Deutschland
Lieferung in 7 bis 10 Werktagen
 
PKCa Reaktivität: Human, Maus, Ratte WB, IHC Wirt: Kaninchen Polyclonal unconjugated
Pubmed 5 Referenzen
Produktnummer ABIN3043549
500,50 €
Zzgl. Versandkosten 20,00 € und MwSt
100 μg
Lieferung nach: Deutschland
Lieferung in 8 bis 12 Werktagen
 
PKCa Reaktivität: Human WB, IF, IHC (p), FACS Wirt: Kaninchen Polyclonal RB01012 unconjugated
Pubmed 1 reference
Produktnummer ABIN391001
434,77 €
Zzgl. Versandkosten 20,00 € und MwSt
400 μL (Weitere Mengeneinheiten)
Lieferung nach: Deutschland
Lieferung in 14 bis 17 Werktagen
 
PKCa Reaktivität: Human WB, IHC, ELISA, IF, FACS Wirt: Kaninchen Polyclonal unconjugated
Produktnummer ABIN3032373
631,13 €
Zzgl. Versandkosten 20,00 € und MwSt
0.4 mL (Weitere Mengeneinheiten)
Lieferung nach: Deutschland
Lieferung in 6 bis 9 Werktagen
 
PKCa Reaktivität: Human, Maus WB, IHC (p), FACS, IF (cc) Wirt: Kaninchen Monoclonal 4B3 unconjugated
Produktnummer ABIN5557396
456,42 €
Zzgl. Versandkosten 20,00 € und MwSt
100 μL
Lieferung nach: Deutschland
Lieferung in 12 bis 17 Werktagen
 
PKCa Reaktivität: Human, Maus WB, IF, IHC (p), FACS Wirt: Kaninchen Polyclonal RB20769 unconjugated
Produktnummer ABIN652517
434,77 €
Zzgl. Versandkosten 20,00 € und MwSt
400 μL (Weitere Mengeneinheiten)
Lieferung nach: Deutschland
Lieferung in 14 bis 17 Werktagen
 
PKCa Reaktivität: Human, Maus, Ratte WB, IHC, ELISA, IF, ICC Wirt: Kaninchen Polyclonal unconjugated
Produktnummer ABIN6255718
525,71 €
Zzgl. Versandkosten 20,00 € und MwSt
100 μL (Weitere Mengeneinheiten)
Lieferung nach: Deutschland
Lieferung in 9 bis 11 Werktagen
 
KD Validated PKCa Reaktivität: Human WB, FACS Wirt: Kaninchen Monoclonal 23GB1055 unconjugated Recombinant Antibody
Produktnummer ABIN7799985
598,92 €
Zzgl. Versandkosten 20,00 € und MwSt
100 μL
Lieferung nach: Deutschland
Lieferung in 7 bis 10 Werktagen
 
PKCa Reaktivität: Human WB, IHC (p) Wirt: Kaninchen Polyclonal unconjugated
Produktnummer ABIN2856799
583,17 €
Zzgl. Versandkosten 20,00 € und MwSt
100 μL
Lieferung nach: Deutschland
Lieferung in 7 bis 10 Werktagen
 
PKCa Reaktivität: Human WB, IHC, IP Wirt: Kaninchen Monoclonal unconjugated
Produktnummer ABIN6135858
330,00 €
Zzgl. Versandkosten 20,00 € und MwSt
100 μL (Weitere Mengeneinheiten)
Lieferung nach: Deutschland
Lieferung in 7 bis 9 Werktagen
 
PKCa Reaktivität: Human, Maus, Ratte WB, IHC, ELISA, IF, ICC Wirt: Kaninchen Polyclonal unconjugated
Produktnummer ABIN6264241
525,71 €
Zzgl. Versandkosten 20,00 € und MwSt
100 μL (Weitere Mengeneinheiten)
Lieferung nach: Deutschland
Lieferung in 9 bis 11 Werktagen
 
KD Validated PKCa Reaktivität: Human WB, FACS Wirt: Kaninchen Monoclonal 23GB4100 unconjugated Recombinant Antibody
Produktnummer ABIN7799987
598,92 €
Zzgl. Versandkosten 20,00 € und MwSt
100 μL
Lieferung nach: Deutschland
Lieferung in 7 bis 10 Werktagen
 
KD Validated PKCa Reaktivität: Human WB, FACS Wirt: Kaninchen Monoclonal 24GB4470 unconjugated Recombinant Antibody
Produktnummer ABIN7799988
598,92 €
Zzgl. Versandkosten 20,00 € und MwSt
100 μL
Lieferung nach: Deutschland
Lieferung in 7 bis 10 Werktagen
 
PKCa Reaktivität: Human, Maus, Ratte WB, IHC Wirt: Kaninchen Polyclonal unconjugated
Pubmed 5 Referenzen
Produktnummer ABIN3043025
500,50 €
Zzgl. Versandkosten 20,00 € und MwSt
100 μg
Lieferung nach: Deutschland
Lieferung in 8 bis 12 Werktagen
 
PKCa Reaktivität: Maus WB, IHC, ICC, IP Wirt: Kaninchen Polyclonal unconjugated
Produktnummer ABIN7434338
304,89 €
Zzgl. Versandkosten 20,00 € und MwSt
100 μL (Weitere Mengeneinheiten)
Lieferung nach: Deutschland
Lieferung in 11 bis 15 Werktagen
 
PKCa Reaktivität: Human IHC, ELISA, IF Wirt: Kaninchen Polyclonal unconjugated
Produktnummer ABIN7165680
328,90 €
Zzgl. Versandkosten 20,00 € und MwSt
100 μg (Weitere Mengeneinheiten)
Lieferung nach: Deutschland
Lieferung in 11 bis 15 Werktagen
 
PKCa Reaktivität: Human WB, ELISA, IF Wirt: Kaninchen Monoclonal 3A5 unconjugated Recombinant Antibody
Produktnummer ABIN7127730
385,00 €
Zzgl. Versandkosten 20,00 € und MwSt
100 μL (Weitere Mengeneinheiten)
Lieferung nach: Deutschland
Lieferung in 11 bis 15 Werktagen
 
  • Typ Primary
    • Primary
  • Anwendung
    • Western Blotting (WB)
    • Immunohistochemistry (IHC)
    • ELISA
    • Immunofluorescence (IF)
    • Immunocytochemistry (ICC)
    • Immunoprecipitation (IP)
    • Flow Cytometry (FACS)
    • Immunofluorescence (Paraffin-embedded Sections) (IF (p))
    • Immunohistochemistry (Paraffin-embedded Sections) (IHC (p))
    • Immunofluorescence (Cultured Cells) (IF (cc))
    • Immunohistochemistry (Frozen Sections) (IHC (fro))
    • Enzyme Immunoassay (EIA)
    • Intracellular Staining (ICS)
    • Immunochromatography (IC)
    • Immunohistochemistry (Formalin-fixed Paraffin-embedded Sections) (IHC (fp))
    • Immunohistochemistry (Formalin-fixed Sections) (IHC (f))
    • Proximity Ligation Assay (PLA)
    • Immunofluorescence (fixed cells) (IF/ICC)
  • Reaktivität
    • Human
    • Mouse
    • Rat
    • Cow
    • Monkey
    • Dog
    • Rabbit
    • Chicken
    • Frog
    • Guinea Pig
    • Hamster
    • Fish
    • Mammalian
    • Primate
    • Rodents
    • Zebrafish (Danio rerio)
  • In Publikationen zitiert
  • Abbildungen verfügbar
  • Nur ohne Konservierungsmittel
  • Carrier free only
  • Wirt
    • Rabbit
    • Mouse
    • Rat
  • Klonalität
    • Polyclonal
    • Monoclonal
  • Klon
    • JF0964
    • S09-7C7
    • SR4379
    • 3-PKCalpha
    • 3G11-G11-G11
    • MC5
    • 23GB1055
    • 23GB1690
    • 23GB4100
    • 23GB4955
    • 24GB4470
    • 24GB4475
    • 2F11
    • 32P00
    • 3A5
    • 4B3
    • AOBA-16
    • CHO-16
    • PT0560R
    • R08-0H5
    • R09-7C7
    • RB01012
    • RB20769
  • Bindungsspezifität
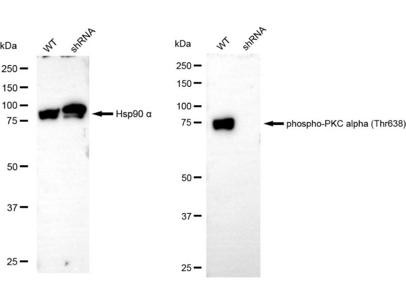
    • pThr638
    • pTyr658
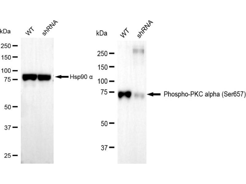
    • pSer657
    • pThr497
    • AA 299-329
    • C-Term
    • AA 1-30
    • AA 9-40
    • N-Term
    • AA 495-659
    • AA 339-597
    • pTyr657
    • AA 270-427
    • AA 1-250
    • AA 300-350
    • AA 563-672
    • AA 622-672
    • AA 75-103
    • Tyr657
    • AA 1-220
    • AA 142-672
    • AA 153-182
    • AA 153-342
    • AA 305-325
    • AA 523-672
    • AA 604-653
    • AA 604-672
    • AA 606-655
    • AA 623-672
    • AA 645-649
    • AA 661-672
    • Center
    • Glu653
    • Gly633
    • Ser657
    • Thr287
    • Thr638
    • Thr641
    • Tyr658
    • pSer660
  • Konjugat
    • Unkonjugiert
    • Biotin
    • Alexa Fluor 488
    • Alexa Fluor 647
    • Alexa Fluor 555
    • Alexa Fluor 594
    • Alexa Fluor 680
    • Alexa Fluor 750
    • FITC
    • Alexa Fluor 350
    • Alexa Fluor 405
    • HRP
    • APC
    • PE
    • Magnetic Particles
    • Sepharose
    • AbBy Fluor® 350
    • AbBy Fluor® 488
    • AbBy Fluor® 555
    • AbBy Fluor® 594
    • AbBy Fluor® 647
    • AbBy Fluor® 680
    • AbBy Fluor® 750
    • Cy3
    • Cy5
    • Cy5.5
    • Cy7
  • Isotyp
    • IgG
    • IgG2a
    • Ig Fraction
    • IgG2b kappa
    • IgG1
    • IgG2b
    • kappa
  • Protein-Typ
    • Recombinant Antibody
  • Format
    • Liquid
    • Lyophilized
  • Grade
    • KD Validated
    • KO Validated, KD Validated
  • Hersteller
    • antibodies-online
    • Signalway
    • Abbexa
    • Boster Bio
    • Cohesion Biosciences
    • BD Biosciences
    • USBio
    • Acris
    • Assay Biotechnology Company, Inc.
    • Biomatik
    • NSJ Bioreagents
    • Enogene Biotech
    • ProSci
    • ProteoGenix
    • RayBiotech

Aktuelle Publikationen für unsere Protein Kinase C, alpha Antikörper

Lin, Liang, Chen, Tsang, Chiou, Liu, Cheng, Lin, Liao, Huang, Chen, Tsai, Li: "Network analysis and mechanisms of action of Chinese herb-related natural compounds in lung cancer cells." in: Phytomedicine : international journal of phytotherapy and phytopharmacology, Vol. 58, pp. 152893, (2019) (PubMed).

Grillo, McDevitt, Voas, Khan, Grillo, Stella: "Adenosine receptor expression in the adult zebrafish retina." in: Purinergic signalling, Vol. 15, Issue 3, pp. 327-342, (2019) (PubMed).

Xie, Huo, Li, Dai, Xu, Yin: "Olfactory Ensheathing Cells Inhibit Gliosis in Retinal Degeneration by Downregulation of the Müller Cell Notch Signaling Pathway." in: Cell transplantation, Vol. 26, Issue 6, pp. 967-982, (2018) (PubMed).

Hellmer, Clemons, Nawy, Ichinose: "A group I metabotropic glutamate receptor controls synaptic gain between rods and rod bipolar cells in the mouse retina." in: Physiological reports, Vol. 6, Issue 20, pp. e13885, (2018) (PubMed).

Wu, Huang, Jiao, Ding, Zhang, Chen, Wang, Li, Huo: "Olaquindox disrupts tight junction integrity and cytoskeleton architecture in mouse Sertoli cells." in: Oncotarget, Vol. 8, Issue 51, pp. 88630-88644, (2017) (PubMed).

Guimarães-Souza, Perche, Morgans, Duvoisin, Calaza: "Fragile X Mental Retardation Protein expression in the retina is regulated by light." in: Experimental eye research, Vol. 146, pp. 72-82, (2016) (PubMed).

Yan-Fang, Zhi-Heng, Li-Xiao, Fang, Jun, Gang, Lan, Na-Na, Xiao-Juan, Li-Chao, Wen-Li, Pei-Fang, He, Guang-Hao, Yan-Hong, Yi-Ping, Yun-Yun, Hui-Ting, Yi, Mei-Fang, Lin, Jian, Shao-Yan, Xue-Ming, Xing et al.: "Molecular Mechanism of the Cell Death Induced by the Histone Deacetylase Pan Inhibitor LBH589 (Panobinostat) in Wilms Tumor Cells. ..." in: PLoS ONE, Vol. 10, Issue 7, pp. e0126566, (2016) (PubMed).

Gan, Wang, Zhao, Wu, Yang, Peng: "5-(Bis(3-(2-hydroxyethyl)-1H-indol-2-yl)methyl)-2-hydroxybenzoic acid (BHIMHA): showing a strategy of designing drug to block lung metastasis of tumors." in: Drug design, development and therapy, Vol. 10, pp. 711-21, (2016) (PubMed).

Cheng, Gu, Yuan, Feng, Jia: "Suppression of A549 cell proliferation and metastasis by calycosin via inhibition of the PKC-α/ERK1/2 pathway: An in vitro investigation." in: Molecular medicine reports, Vol. 13, Issue 4, pp. 3709-10, (2016) (PubMed).

Huang, Cheng, Su, Lin: "Syndecan-4 Promotes Epithelial Tumor Cells Spreading and Regulates the Turnover of PKC? Activity under Mechanical Stimulation on the Elastomeric Substrates." in: Cellular physiology and biochemistry : international journal of experimental cellular physiology, biochemistry, and pharmacology, Vol. 36, Issue 4, pp. 1291-1304, (2015) (PubMed).

Aliase für Protein Kinase C, alpha Antikörper

protein kinase C alpha (PRKCA) Antikörper
protein kinase C, alpha (Prkca) Antikörper
protein kinase C, alpha L homeolog (prkca.L) Antikörper
protein kinase C, alpha (prkca) Antikörper
protein kinase C, gamma (Prkcg) Antikörper
proline rich transmembrane protein 2 (PRRT2) Antikörper
protein kinase C alpha (Prkca) Antikörper
AAG6 Antikörper
AI875142 Antikörper
BFIC2 Antikörper
BFIS2 Antikörper
DSPB3 Antikörper
DYT10 Antikörper
EKD1 Antikörper
ICCA Antikörper
IFITMD1 Antikörper
im:7139045 Antikörper
LOC100219195 Antikörper
PKC Antikörper
PKC-alpha Antikörper
pkc-alpha Antikörper
PKCA Antikörper
Pkca Antikörper
pkcalpha Antikörper
PKCI Antikörper
PKRCA Antikörper
PRKACA Antikörper
Prkc Antikörper
Prkcc Antikörper
RATPKCI Antikörper
si:dkey-8l19.1 Antikörper

Haben Sie etwas anderes gesucht?

Sie sind hier:
Chat with us!