Telefon:
+49 (0)241 95 163 153
Fax:
+49 (0)241 95 163 155
E-Mail:
orders@antikoerper-online.de

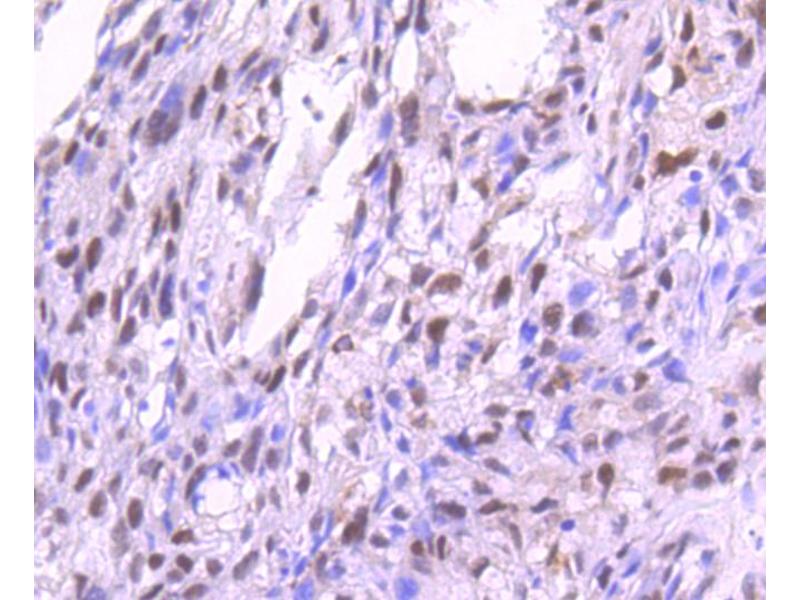
PKC alpha Antikörper (pThr638)

Der Kaninchen Monoklonal anti-PKC alpha Antikörper wird verwendet zum Nachweis von PKC alpha in Proben von Human und Maus. Er wurde validiert für WB, IHC (p), FACS und IF (cc).
Produktnummer ABIN5557396
456,42 €
Zzgl. Versandkosten 20,00 € und MwSt
100 μL
Lieferung nach: Deutschland
Lieferung in 12 bis 17 Werktagen

Kurzübersicht für PKC alpha Antikörper (pThr638) (ABIN5557396)

Target

Alle PKC alpha (PKCa) Antikörper anzeigen
PKC alpha (PKCa) (Protein Kinase C, alpha (PKCa))

Reaktivität

  • 203
  • 132
  • 110
  • 8
  • 6
  • 5
  • 3
  • 2
  • 2
  • 2
  • 2
  • 1
  • 1
  • 1
  • 1
  • 1
Human, Maus

Wirt

  • 199
  • 12
  • 1
Kaninchen

Klonalität

  • 132
  • 80
Monoklonal

Konjugat

  • 96
  • 16
  • 10
  • 10
  • 9
  • 9
  • 9
  • 9
  • 8
  • 5
  • 5
  • 5
  • 3
  • 3
  • 2
  • 2
  • 1
  • 1
  • 1
  • 1
  • 1
  • 1
  • 1
  • 1
  • 1
  • 1
  • 1
Dieser PKC alpha Antikörper ist unkonjugiert

Applikation

  • 170
  • 101
  • 59
  • 57
  • 48
  • 32
  • 23
  • 17
  • 16
  • 13
  • 4
  • 2
  • 2
  • 1
  • 1
  • 1
  • 1
  • 1
Western Blotting (WB), Immunohistochemistry (Paraffin-embedded Sections) (IHC (p)), Flow Cytometry (FACS), Immunofluorescence (Cultured Cells) (IF (cc))

Klon

4B3
  • Bindungsspezifität

    • 47
    • 24
    • 18
    • 13
    • 8
    • 8
    • 7
    • 6
    • 6
    • 5
    • 4
    • 4
    • 3
    • 2
    • 2
    • 2
    • 2
    • 2
    • 2
    • 1
    • 1
    • 1
    • 1
    • 1
    • 1
    • 1
    • 1
    • 1
    • 1
    • 1
    • 1
    • 1
    • 1
    • 1
    • 1
    • 1
    • 1
    • 1
    • 1
    • 1
    • 1
    pThr638

    Kreuzreaktivität

    Human, Maus

    Aufreinigung

    Purified by Protein A.

    Immunogen

    Synthetic peptide derived from human PRKCA around PRKCA (Thr638)

    Isotyp

    IgG
  • Applikationshinweise

    WB 1:300-5000
    FCM 1:20-100
    IHC-P 1:200-400
    IF(ICC) 1:50-200

    Beschränkungen

    Nur für Forschungszwecke einsetzbar
  • Format

    Liquid

    Konzentration

    1 μg/μL

    Buffer

    Aqueous buffered solution containing 1xTBS ( pH 7.4), 1 % BSA, 40 %Glycerol and 0.05 % Sodium Azide.

    Konservierungsmittel

    ProClin

    Vorsichtsmaßnahmen

    This product contains ProClin: a POISONOUS AND HAZARDOUS SUBSTANCE, which should be handled by trained staff only.

    Lagerung

    4 °C,-20 °C

    Informationen zur Lagerung

    Shipped at 4°C. Store at -20°C for one year. Avoid repeated freeze/thaw cycles.

    Haltbarkeit

    12 months
  • Target

    PKC alpha (PKCa) (Protein Kinase C, alpha (PKCa))

    Andere Bezeichnung

    PRKCA

    Hintergrund

    Synonyms: AAG6, PKCA, PRKACA, PKC-alpha, Protein kinase C alpha type, PKC-A, PRKCA

    Background: Calcium-activated, phospholipid- and diacylglycerol (DAG)-dependent serine/threonine-protein kinase that is involved in positive and negative regulation of cell proliferation, apoptosis, differentiation, migration and adhesion, tumorigenesis, cardiac hypertrophy, angiogenesis, platelet function and inflammation, by directly phosphorylating targets such as RAF1, BCL2, CSPG4, TNNT2/CTNT, or activating signaling cascade involving MAPK1/3 (ERK1/2) and RAP1GAP. Involved in cell proliferation and cell growth arrest by positive and negative regulation of the cell cycle. Can promote cell growth by phosphorylating and activating RAF1, which mediates the activation of the MAPK/ERK signaling cascade, and/or by up-regulating CDKN1A, which facilitates active cyclin-dependent kinase (CDK) complex formation in glioma cells. In intestinal cells stimulated by the phorbol ester PMA, can trigger a cell cycle arrest program which is associated with the accumulation of the hyper-phosphorylated growth-suppressive form of RB1 and induction of the CDK inhibitors CDKN1A and CDKN1B. Exhibits anti-apoptotic function in glioma cells and protects them from apoptosis by suppressing the p53/TP53-mediated activation of IGFBP3, and in leukemia cells mediates anti-apoptotic action by phosphorylating BCL2. During macrophage differentiation induced by macrophage colony-stimulating factor (CSF1), is translocated to the nucleus and is associated with macrophage development. After wounding, translocates from focal contacts to lamellipodia and participates in the modulation of desmosomal adhesion. Plays a role in cell motility by phosphorylating CSPG4, which induces association of CSPG4 with extensive lamellipodia at the cell periphery and polarization of the cell accompanied by increases in cell motility. Is highly expressed in a number of cancer cells where it can act as a tumor promoter and is implicated in malignant phenotypes of several tumors such as gliomas and breast cancers. Negatively regulates myocardial contractility and positively regulates angiogenesis, platelet aggregation and thrombus formation in arteries. Mediates hypertrophic growth of neonatal cardiomyocytes, in part through a MAPK1/3 (ERK1/2)-dependent signaling pathway, and upon PMA treatment, is required to induce cardiomyocyte hypertrophy up to heart failure and death, by increasing protein synthesis, protein-DNA ratio and cell surface area. Regulates cardiomyocyte function by phosphorylating cardiac troponin T (TNNT2/CTNT), which induces significant reduction in actomyosin ATPase activity, myofilament calcium sensitivity and myocardial contractility. In angiogenesis, is required for full endothelial cell migration, adhesion to vitronectin (VTN), and vascular endothelial growth factor A (VEGFA)-dependent regulation of kinase activation and vascular tube formation. Involved in the stabilization of VEGFA mRNA at post-transcriptional level and mediates VEGFA-induced cell proliferation. In the regulation of calcium-induced platelet aggregation, mediates signals from the CD36/GP4 receptor for granule release, and activates the integrin heterodimer ITGA2B-ITGB3 through the RAP1GAP pathway for adhesion. During response to lipopolysaccharides (LPS), may regulate selective LPS-induced macrophage functions involved in host defense and inflammation. But in some inflammatory responses, may negatively regulate NF-kappa-B-induced genes, through IL1A-dependent induction of NF-kappa-B inhibitor alpha (NFKBIA/IKBA).

    Gen-ID

    5578

    UniProt

    P17252

    Pathways

    WNT Signalweg, T-Zell Rezeptor Signalweg, EGFR Signaling Pathway, Neurotrophin Signalübertragung, Thyroid Hormone Synthesis, cAMP Metabolic Process, Myometrial Relaxation and Contraction, Cell-Cell Junction Organization, Regulation of G-Protein Coupled Receptor Protein Signaling, G-protein mediated Events, Signaling Events mediated by VEGFR1 and VEGFR2, Interaction of EGFR with phospholipase C-gamma, Thromboxane A2 Receptor Signaling, VEGFR1 Specific Signals, VEGF Signaling
Sie sind hier:
Chat with us!