Telefon:
+49 (0)241 95 163 153
Fax:
+49 (0)241 95 163 155
E-Mail:
orders@antikoerper-online.de

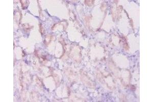
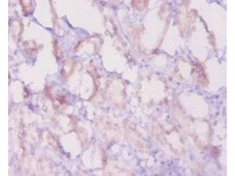
Bcl-2 Antikörper (AA 5-205)

Der Kaninchen Polyklonal anti-Bcl-2 Antikörper (ABIN7176964) detektiert spezifisch Bcl-2 in IHC und ELISA. Dieser Antikörper reagiert spezifisch mit Proben aus Maus.
Produktnummer ABIN7176964
328,90 €
Zzgl. Versandkosten 20,00 € und MwSt
Lieferung nach: Deutschland
Lieferung in 11 bis 15 Werktagen

Kurzübersicht für Bcl-2 Antikörper (AA 5-205) (ABIN7176964)

Target

Alle Bcl-2 (BCL2) Antikörper anzeigen
Bcl-2 (BCL2) (B-Cell CLL/lymphoma 2 (BCL2))

Reaktivität

  • 468
  • 188
  • 171
  • 36
  • 25
  • 24
  • 18
  • 10
  • 6
  • 5
  • 5
  • 3
  • 1
  • 1
  • 1
  • 1
Maus

Wirt

  • 362
  • 141
  • 4
  • 2
  • 1
  • 1
  • 1
  • 1
Kaninchen

Klonalität

  • 314
  • 198
Polyklonal

Konjugat

  • 215
  • 34
  • 29
  • 21
  • 19
  • 12
  • 11
  • 10
  • 8
  • 8
  • 8
  • 8
  • 8
  • 8
  • 8
  • 8
  • 8
  • 8
  • 8
  • 8
  • 8
  • 8
  • 8
  • 5
  • 4
  • 4
  • 4
  • 4
  • 4
  • 4
  • 3
  • 3
  • 2
  • 1
  • 1
  • 1
  • 1
  • 1
Dieser Bcl-2 Antikörper ist unkonjugiert

Applikation

  • 396
  • 210
  • 161
  • 142
  • 118
  • 95
  • 81
  • 78
  • 56
  • 55
  • 24
  • 23
  • 22
  • 17
  • 8
  • 8
  • 5
  • 4
  • 4
  • 3
  • 3
  • 2
  • 2
  • 1
  • 1
  • 1
  • 1
  • 1
  • 1
Immunohistochemistry (IHC), ELISA
  • Bindungsspezifität

    • 57
    • 41
    • 27
    • 25
    • 22
    • 21
    • 16
    • 16
    • 16
    • 12
    • 11
    • 11
    • 7
    • 7
    • 7
    • 6
    • 6
    • 6
    • 5
    • 5
    • 4
    • 4
    • 3
    • 3
    • 3
    • 3
    • 2
    • 2
    • 2
    • 2
    • 2
    • 2
    • 2
    • 2
    • 2
    • 1
    • 1
    • 1
    • 1
    • 1
    • 1
    • 1
    • 1
    • 1
    • 1
    • 1
    • 1
    • 1
    • 1
    • 1
    AA 5-205

    Verwendungszweck

    Bcl2 Antibody

    Aufreinigung

    Protein G purified

    Reinheit

    >95 %

    Immunogen

    Recombinant Mouse Apoptosis regulator Bcl-2 protein (5-205AA)

    Isotyp

    IgG
  • Applikationshinweise

    Optimal working dilution should be determined by the investigator.

    Beschränkungen

    Nur für Forschungszwecke einsetzbar
  • Format

    Liquid

    Buffer

    Preservative: 0.03 % Proclin 300
    Constituents: 50 % Glycerol, 0.01M PBS, PH 7.4

    Konservierungsmittel

    ProClin

    Vorsichtsmaßnahmen

    This product contains ProClin: a POISONOUS AND HAZARDOUS SUBSTANCE which should be handled by trained staff only.

    Lagerung

    -20 °C,-80 °C

    Informationen zur Lagerung

    Upon receipt, store at -20°C or -80°C. Avoid repeated freeze.
  • Target

    Bcl-2 (BCL2) (B-Cell CLL/lymphoma 2 (BCL2))

    Andere Bezeichnung

    Bcl2

    Hintergrund

    Background: Suppresses apoptosis in a variety of cell systems including factor-dependent lymphohematopoietic and neural cells. Regulates cell death by controlling the mitochondrial membrane permeability. Appears to function in a feedback loop system with caspases. Inhibits caspase activity either by preventing the release of cytochrome c from the mitochondria and/or by binding to the apoptosis-activating factor (APAF-1).

    Aliases: Bcl2 antibody, Bcl-2 antibody, Apoptosis regulator Bcl-2 antibody

    UniProt

    P10417

    Pathways

    MAPK Signalweg, PI3K-Akt Signalweg, Apoptose, Caspase Kaskade in der Apoptose, Regulation of Muscle Cell Differentiation, Cell-Cell Junction Organization, Skeletal Muscle Fiber Development, Autophagie, Smooth Muscle Cell Migration, Negative Regulation of intrinsic apoptotic Signaling
Sie sind hier:
Chat with us!