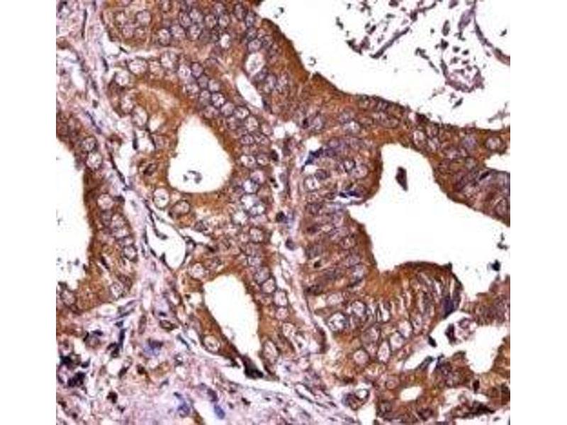
RIPK1
Reaktivität: Maus
ELISA, IP
Wirt: Kaninchen
Polyclonal
unconjugated
Applikationshinweise
Titration of the RIPK1 antibody may be required due to differences in protocols and secondary/substrate sensitivity.\. Western blot: 1:1000,IHC (Paraffin): 1:10-1:50
Beschränkungen
Nur für Forschungszwecke einsetzbar
Format
Liquid
Buffer
In 1X PBS, pH 7.4, with 0.09 % sodium azide
Konservierungsmittel
Sodium azide
Vorsichtsmaßnahmen
This product contains Sodium azide: a POISONOUS AND HAZARDOUS SUBSTANCE which should be handled by trained staff only.
Lagerung
-20 °C
Informationen zur Lagerung
Aliquot the RIPK1 antibody and store frozen at -20°C or colder. Avoid repeated freeze-thaw cycles.
Essential adapter molecule for the activation of NF-kappa-B. Following different upstream signals (binding of inflammatory cytokines, stimulation of pathogen recognition receptors, or DNA damage), particular RIPK1-containing complexes are formed, initiating a limited number of cellular responses. Upon TNFA stimulation RIPK1 is recruited to a TRADD-TRAF complex initiated by TNFR1 trimerization. There, it is ubiquitinated via 'Lys-63'-link chains, inducing its association with the IKK complex, and its activation through NEMO binding of polyubiquitin chains.