TRAF6 Antikörper (C-Term)
Kurzübersicht für TRAF6 Antikörper (C-Term) (ABIN214305)
Target
Alle TRAF6 Antikörper anzeigenReaktivität
Wirt
Klonalität
Konjugat
Applikation
-
-
Bindungsspezifität
- C-Term
-
Aufreinigung
- Ion exchange chromatography
-
Isotyp
- IgG
-
-
-
-
Applikationshinweise
-
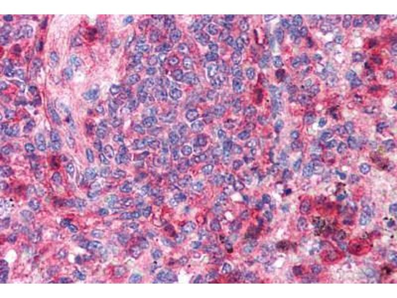
Approved: ICC, IHC, IHC-P (2.5 μg/mL), WB (1 - 2 μg/mL)
Usage: Immunohistochemistry: This antibody was validated for use in immunohistochemistry on a panel of 21 formalin-fixed, paraffin-embedded (FFPE) human tissues after heat induced antigen retrieval in pH 6.0 citrate buffer. After incubation with the primary antibody, slides were incubated with biotinylated secondary antibody, followed by alkaline phosphatase-streptavidin and chromogen. The stained slides were evaluated by a pathologist to confirm staining specificity. The optimal working concentration for this antibody was determined to be 2.5 μg/mL. -
Kommentare
-
Target Species of Antibody: Human
-
Beschränkungen
- Nur für Forschungszwecke einsetzbar
-
-
-
Format
- Liquid
-
Konzentration
- Lot specific
-
Buffer
- PBS, 0.02 % sodium azide.
-
Konservierungsmittel
- Sodium azide
-
Vorsichtsmaßnahmen
- This product contains Sodium azide: a POISONOUS AND HAZARDOUS SUBSTANCE which should be handled by trained staff only.
-
Handhabung
- avoid freeze thaw cycles. Store undiluted.
-
Lagerung
- 4 °C,-20 °C
-
Informationen zur Lagerung
- Store at 4°C for 3 months and -20°C, stable for up to 1 year. Avoid repeated freeze-thaw cycles.
-
Haltbarkeit
- 12 months
-
-
- TRAF6 (TNF Receptor-Associated Factor 6 (TRAF6))
-
Andere Bezeichnung
- TRAF6
-
Hintergrund
-
Name/Gene ID: TRAF6
Synonyms: TRAF6, RING finger protein 85, MGC:3310, RNF85 -
Gen-ID
- 7189
-
UniProt
- Q9Y4K3
-
Pathways
- NF-kappaB Signalweg, T-Zell Rezeptor Signalweg, TLR Signalweg, Fc-epsilon Rezeptor Signalübertragung, Neurotrophin Signalübertragung, Activation of Innate immune Response, Regulation of Leukocyte Mediated Immunity, Positive Regulation of Immune Effector Process, Production of Molecular Mediator of Immune Response, Tube Formation, Hepatitis C, Toll-Like Receptors Cascades, Ubiquitin Proteasome Pathway
Target
-