TRAF6 Antikörper (C-Term)
Kurzübersicht für TRAF6 Antikörper (C-Term) (ABIN962140)
Target
Alle TRAF6 Antikörper anzeigenReaktivität
Wirt
Klonalität
Konjugat
Applikation
-
-
Bindungsspezifität
- C-Term
-
Spezifität
- Recognizes human TRAF6 proteins. On Western blots, it identifies a band at ~55kD and a band at ~60kD. The two bands may represent the two reported forms of this protein (522 and 530 amino acids).
-
Aufreinigung
- Immunoaffinity purified
-
Immunogen
-
Synthetic peptide derived from the C-terminal region of the human and mouse TRAF6 (TNF receptor-associated factor 6) protein.
Type of Immunogen: Synthetic peptide -
Isotyp
- IgG
-
-
-
-
Applikationshinweise
-
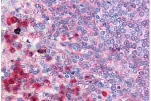
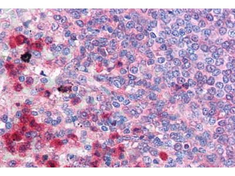
Approved: IHC, IHC-P (1:200 - 1:400), IP, WB (1 - 3 μg/mL)
Usage: Immunohistochemistry: This antibody was validated for use in immunohistochemistry on a panel of 21 formalin-fixed, paraffin-embedded (FFPE) human tissues after heat induced antigen retrieval in pH 6.0 citrate buffer. After incubation with the primary antibody, slides were incubated with biotinylated secondary antibody, followed by alkaline phosphatase-streptavidin and chromogen. The stained slides were evaluated by a pathologist to confirm staining specificity. The optimal working concentration for this antibody was determined to be 2.5 μg/mL. Immunoprecipitation: 7 μg/reaction. Positive control: Human Hela, HEK293, Jurkat, and mouse NIH3T3 cell lysates. Please note that cross-reactivity of this antibody with mouse has been confirmed only in WB. The antibody has not been evaluated for use in IHC with mouse samples at this time and suitability cannot be guaranteed. -
Kommentare
-
Target Species of Antibody: Human
-
Beschränkungen
- Nur für Forschungszwecke einsetzbar
-
-
-
Format
- Liquid
-
Konzentration
- Lot specific
-
Buffer
- PBS, pH 7.4, 0.09 % sodium azide.
-
Konservierungsmittel
- Sodium azide
-
Vorsichtsmaßnahmen
- This product contains Sodium azide: a POISONOUS AND HAZARDOUS SUBSTANCE which should be handled by trained staff only.
-
Handhabung
- avoid freeze thaw cycles.
-
Lagerung
- 4 °C,-20 °C
-
Informationen zur Lagerung
- Short term 4°C, long term aliquot and store at -20°C, avoid freeze-thaw cycles.
-
-
- TRAF6 (TNF Receptor-Associated Factor 6 (TRAF6))
-
Andere Bezeichnung
- TRAF6
-
Hintergrund
-
Name/Gene ID: TRAF6
Synonyms: TRAF6, RING finger protein 85, MGC:3310, RNF85 -
Gen-ID
- 7189
-
UniProt
- Q9Y4K3
-
Pathways
- NF-kappaB Signalweg, T-Zell Rezeptor Signalweg, TLR Signalweg, Fc-epsilon Rezeptor Signalübertragung, Neurotrophin Signalübertragung, Activation of Innate immune Response, Regulation of Leukocyte Mediated Immunity, Positive Regulation of Immune Effector Process, Production of Molecular Mediator of Immune Response, Tube Formation, Hepatitis C, Toll-Like Receptors Cascades, Ubiquitin Proteasome Pathway
Target
-