Telefon:
+49 (0)241 95 163 153
Fax:
+49 (0)241 95 163 155
E-Mail:
orders@antikoerper-online.de

Glucagon Antikörper

(Glucagon (GCG))
Glucagon is a hormone that plays a crucial role in regulating blood glucose levels in the body. It is primarily produced by the alpha cells of the pancreas. The main function of glucagon is to counteract the actions of insulin, another hormone produced by the pancreas, by stimulating the liver to release glucose into the bloodstream. This process is known as hepatic glucose production. Glucagon acts on the liver to break down glycogen, a stored form of glucose, into glucose molecules, which are then released into the bloodstream. This helps to increase blood glucose levels, especially during periods of fasting or low blood sugar levels.

Glucagon also has other effects on metabolism. It promotes the breakdown of fats in adipose tissue, leading to the release of fatty acids into the bloodstream. It can also stimulate the production of ketone bodies, which are alternative energy sources derived from fat metabolism. Additionally, glucagon can inhibit the synthesis of glycogen and fatty acids, further contributing to the mobilization of stored energy.

Overall, the role of glucagon is to maintain glucose homeostasis in the body by increasing blood glucose levels when they are low. It works in coordination with insulin to regulate blood sugar levels and ensure that they stay within a normal range.

The main applications of anti-Glucagon antibodies include:

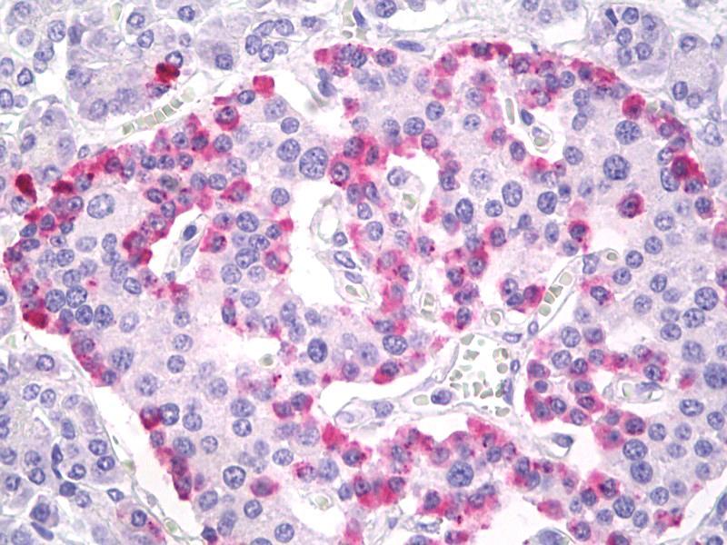
  • Immunohistochemistry (IHC): Glucagon antibodies are used in IHC to detect and visualize Glucagon in tissue samples, particularly in pancreatic tissue sections.
  • Immunocytochemistry (ICC): These Glucagon antibodies are also used in ICC to detect and localize Glucagon in cultured cells.
  • Western Blot: Glucagon antibodies can be used in Western blotting techniques to detect Glucagon.
  • ELISA: Enzyme-Linked Immunosorbent Assay (ELISA) can be performed using anti-Glucagon antibodies to quantify the levels of Glucagon in biological samples.
  • Flow Cytometry: Glucagon antibodies can be used in flow cytometry (FACS) to analyze and sort cells based on their Glucagon expression levels.

158 Treffer

GCG Reaktivität: Human WB, IF, FACS, IHC (p) Wirt: Kaninchen Polyclonal RB19525 unconjugated
Produktnummer ABIN390769
434,77 €
Zzgl. Versandkosten 20,00 € und MwSt
400 μL (Weitere Mengeneinheiten)
Lieferung nach: Deutschland
Lieferung in 14 bis 17 Werktagen
 
Rockland 600-401-mv9 GCG Reaktivität: Human WB, IHC, ELISA, IF, FM Wirt: Kaninchen Polyclonal unconjugated
Independent Validation 1 Validierung
Produktnummer ABIN7448121
624,85 €
Zzgl. Versandkosten 20,00 €, Trockeneispauschale 20,00 € sowie MwSt
100 μg
Lieferung nach: Deutschland
Lieferung in 5 bis 8 Werktagen
Independently Validated
GCG Reaktivität: Maus WB, IHC, IP, ICC Wirt: Kaninchen Polyclonal unconjugated
Produktnummer ABIN7429778
304,89 €
Zzgl. Versandkosten 20,00 € und MwSt
100 μL (Weitere Mengeneinheiten)
Lieferung nach: Deutschland
Lieferung in 11 bis 15 Werktagen
 
GCG Reaktivität: Human IHC, IF Wirt: Kaninchen Monoclonal unconjugated
Produktnummer ABIN7267392
330,00 €
Zzgl. Versandkosten 20,00 € und MwSt
100 μL (Weitere Mengeneinheiten)
Lieferung nach: Deutschland
Lieferung in 7 bis 9 Werktagen
 
GCG Reaktivität: Human, Maus WB, FACS, IHC (p) Wirt: Kaninchen Polyclonal RB19443 unconjugated
Produktnummer ABIN390411
434,77 €
Zzgl. Versandkosten 20,00 € und MwSt
400 μL (Weitere Mengeneinheiten)
Lieferung nach: Deutschland
Lieferung in 14 bis 17 Werktagen
 
GCG Reaktivität: Human WB, ELISA Wirt: Maus Monoclonal 1E2-E6 unconjugated
Produktnummer ABIN515981
651,20 €
Zzgl. Versandkosten 20,00 € und MwSt
100 μg
Lieferung nach: Deutschland
Lieferung in 8 bis 9 Werktagen
 
GCG Reaktivität: Human, Ratte, Maus IHC, IF Wirt: Kaninchen Polyclonal unconjugated
Pubmed 6 Referenzen
Produktnummer ABIN3042419
500,50 €
Zzgl. Versandkosten 20,00 € und MwSt
100 μg
Lieferung nach: Deutschland
Lieferung in 8 bis 12 Werktagen
 
GCG Reaktivität: Human WB, IHC, IP, ICC Wirt: Kaninchen Polyclonal unconjugated
Produktnummer ABIN7429775
298,22 €
Zzgl. Versandkosten 20,00 € und MwSt
100 μL (Weitere Mengeneinheiten)
Lieferung nach: Deutschland
Lieferung in 11 bis 15 Werktagen
 
GCG Reaktivität: Human, Ratte, Maus ELISA, IHC (p), IF (cc), IF (p), IHC (fro) Wirt: Kaninchen Polyclonal unconjugated
Pubmed 1 reference
Produktnummer ABIN704246
357,70 €
Zzgl. Versandkosten 20,00 € und MwSt
100 μL
Lieferung nach: Deutschland
Lieferung in 8 bis 12 Werktagen
 
GCG Reaktivität: Human ELISA Wirt: Maus Monoclonal 2F9 unconjugated
Pubmed 1 reference
Produktnummer ABIN969171
602,28 €
Zzgl. Versandkosten 20,00 € und MwSt
100 μL
Lieferung nach: Deutschland
Lieferung in 7 bis 10 Werktagen
 
GCG Reaktivität: Human, Maus WB, IHC, FACS, IHC (p) Wirt: Kaninchen Polyclonal unconjugated
Produktnummer ABIN1804083
610,95 €
Zzgl. Versandkosten 20,00 € und MwSt
200 μL
Lieferung nach: Deutschland
Lieferung in 15 bis 20 Werktagen
 
GCG Reaktivität: Human WB Wirt: Kaninchen Polyclonal unconjugated
Produktnummer ABIN515980
636,80 €
Zzgl. Versandkosten 20,00 € und MwSt
100 μg
Lieferung nach: Deutschland
Lieferung in 8 bis 9 Werktagen
 
GCG Reaktivität: Human WB, FACS Wirt: Maus Monoclonal 24GB2965 unconjugated
Produktnummer ABIN7798725
394,31 €
Zzgl. Versandkosten 20,00 € und MwSt
100 μL
Lieferung nach: Deutschland
Lieferung in 7 bis 10 Werktagen
 
GCG Reaktivität: Human, Maus WB, FACS, IHC (p), EIA Wirt: Kaninchen Polyclonal unconjugated
Produktnummer ABIN453051
870,77 €
Zzgl. Versandkosten 20,00 € und MwSt
0.4 mL
Lieferung nach: Deutschland
Lieferung in 16 Werktagen
 
GCG Reaktivität: Human, Ratte, Maus, Schwein, Rind (Kuh), Hund, Schaf WB, IHC, IF Wirt: Kaninchen Polyclonal unconjugated
Produktnummer ABIN7295744
330,77 €
Zzgl. Versandkosten 20,00 € und MwSt
100 μL (Weitere Mengeneinheiten)
Lieferung nach: Deutschland
Lieferung in 17 bis 20 Werktagen
 
GCG Reaktivität: Ratte, Maus WB Wirt: Kaninchen Polyclonal unconjugated
Produktnummer ABIN7249908
460,00 €
Zzgl. Versandkosten 20,00 € und MwSt
200 μL (Weitere Mengeneinheiten)
Lieferung nach: Deutschland
Lieferung in 9 bis 13 Werktagen
 
GCG Reaktivität: Human WB Wirt: Maus Monoclonal 9C1 unconjugated
Produktnummer ABIN4910082
422,08 €
Zzgl. Versandkosten 20,00 € und MwSt
100 μL
Lieferung nach: Deutschland
Lieferung in 12 bis 17 Werktagen
 
GCG Reaktivität: Human WB Wirt: Maus Monoclonal 329CT36-10-10 unconjugated
Produktnummer ABIN1539802
434,77 €
Zzgl. Versandkosten 20,00 € und MwSt
400 μL (Weitere Mengeneinheiten)
Lieferung nach: Deutschland
Lieferung in 14 bis 17 Werktagen
 
GCG Reaktivität: Human WB, IHC, IP, ICC Wirt: Maus Monoclonal C1 unconjugated
Produktnummer ABIN7426244
311,57 €
Zzgl. Versandkosten 20,00 € und MwSt
100 μL (Weitere Mengeneinheiten)
Lieferung nach: Deutschland
Lieferung in 11 bis 15 Werktagen
 
GCG Reaktivität: Human, Ratte, Maus, Affe WB, IHC, ELISA, IF Wirt: Kaninchen Polyclonal unconjugated
Produktnummer ABIN3184761
377,51 €
Zzgl. Versandkosten 20,00 € und MwSt
100 μL (Weitere Mengeneinheiten)
Lieferung nach: Deutschland
Lieferung in 8 bis 10 Werktagen
 
  • Typ Primary
    • Primary
  • Anwendung
    • Western Blotting (WB)
    • Immunohistochemistry (IHC)
    • ELISA
    • Immunofluorescence (IF)
    • Flow Cytometry (FACS)
    • Immunoprecipitation (IP)
    • Immunocytochemistry (ICC)
    • Immunofluorescence (Cultured Cells) (IF (cc))
    • Immunofluorescence (Paraffin-embedded Sections) (IF (p))
    • Immunohistochemistry (Paraffin-embedded Sections) (IHC (p))
    • Radioimmunoassay (RIA)
    • Enzyme Immunoassay (EIA)
    • Immunohistochemistry (Frozen Sections) (IHC (fro))
    • Dot Blot (DB)
    • Agonist (Agon)
    • Cellular Assay (CA)
    • Immunoassay (IA)
    • Immunostaining (ISt)
    • Immunofluorescence (fixed cells) (IF/ICC)
    • Chemiluminescence Immunoassay (CLIA)
    • Fluorescence Microscopy (FM)
  • Reaktivität
    • Human
    • Rat
    • Mouse
    • Pig
    • Cow
    • Dog
    • Monkey
    • Guinea Pig
    • Hamster
    • Sheep
    • Various Species
    • Chicken
    • Horse
    • Rabbit
    • Zebrafish (Danio rerio)
    • Cat
    • Xenopus laevis
  • In Publikationen zitiert
  • Abbildungen verfügbar
  • Independent Validation
  • Nur ohne Konservierungsmittel
  • Carrier free only
  • Wirt
    • Rabbit
    • Mouse
    • Goat
    • Sheep
    • Guinea Pig
  • Klonalität
    • Polyclonal
    • Monoclonal
  • Klon
    • 329CT36-10-10
    • IMD-7
    • 2D3-2B11
    • 104-10A
    • 1D10
    • 1E1K2E16
    • 1E2-E6
    • 24GB2965
    • 2F9
    • 2G1
    • 9C1
    • AOAF-7
    • AOHH-7
    • C1
    • EP74
    • GLP-1-18
    • K79bB10
    • M81376
    • M81376-B
    • M81378
    • RB19443
    • RB19525
  • Bindungsspezifität
    • AA 53-81
    • N-Term
    • AA 119-148
    • AA 1-180
    • AA 21-180
    • C-Term
    • AA 90-180
    • AA 19-29
    • AA 21-50
    • AA 23-180
    • AA 25-54
    • Center
    • AA 1-12
    • AA 107-156
    • AA 126-156
    • AA 30-110
    • AA 32-62
    • AA 41-90
    • AA 61-110
    • AA 7-36
    • AA 8-18
    • Internal Region
    • cleaved
  • Konjugat
    • Unkonjugiert
    • Biotin
    • FITC
    • APC
    • Alexa Fluor 488
    • Alexa Fluor 555
    • Alexa Fluor 594
    • Alexa Fluor 647
    • Alexa Fluor 680
    • Alexa Fluor 750
    • HRP
    • PE
    • Magnetic Particles
    • AbBy Fluor® 350
    • AbBy Fluor® 488
    • AbBy Fluor® 555
    • AbBy Fluor® 594
    • AbBy Fluor® 647
    • AbBy Fluor® 680
    • AbBy Fluor® 750
    • Alexa Fluor 350
    • Alexa Fluor 405
    • Carboxyfluorescein (CFS)
    • Cy3
    • Cy5
    • Cy5.5
    • Cy7
    • PerCP
    • Sepharose
  • Isotyp
    • IgG
    • IgG1 kappa
    • IgG1
    • Ig Fraction
    • IgG2b
    • kappa
  • Protein-Typ
    • Recombinant Antibody
  • Format
    • Liquid
    • Lyophilized
    • Lyophilized or Liquid
  • Hersteller
    • antibodies-online
    • Signalway
    • Assaypro
    • USBio
    • Acris
    • RayBiotech
    • Cohesion Biosciences
    • Boster Bio
    • Abbexa
    • Assay Biotechnology Company, Inc.
    • PROGEN
    • Phoenix Europe
    • Rockland
    • Ansh Labs
    • Aviva Systems Biology
    • Biomatik
    • Cloud-Clone
    • Covalab
    • NSJ Bioreagents
    • ProSci

Aktuelle Publikationen für unsere Glucagon Antikörper

Xu, Wang, Guo, Liu, Zhang, Xu, Chen: "Emodin Alleviates Severe Acute Pancreatitis-Associated Acute Lung Injury by Inhibiting the Cold-Inducible RNA-Binding Protein (CIRP)-Mediated Activation of the NLRP3/IL-1β/CXCL1 Signaling." in: Frontiers in pharmacology, Vol. 12, pp. 655372, (2021) (PubMed).

Chen, Ren, Zhou, Deng, Hu, Zhang, Li: "HWL-088, a new potent free fatty acid receptor 1 (FFAR1) agonist, improves glucolipid metabolism and acts additively with metformin in ob/ob diabetic mice." in: British journal of pharmacology, Vol. 177, Issue 10, pp. 2286-2302, (2021) (PubMed).

Huang, Li, Chen, Zhao, Huang, Zhou, Xu: "Identification of Potential Therapeutic Targets and Pathways of Liraglutide Against Type 2 Diabetes Mellitus (T2DM) Based on Long Non-Coding RNA (lncRNA) Sequencing." in: Medical science monitor : international medical journal of experimental and clinical research, Vol. 26, pp. e922210, (2020) (PubMed).

Lau, Corrales, Alexander, Mohammadi, Li, Smink, de Vos, Lakey: "Necrostatin-1 supplementation enhances young porcine islet maturation and in vitro function." in: Xenotransplantation, pp. e12555, (2019) (PubMed).

Yang, Yan, Tong, Zhang, Chen, Xue, Wang, Chu, Jin, Li: "Chronic oscillating glucose challenges disarrange innate immune homeostasis to potentiate the variation of neutrophil-lymphocyte ratio in rats with or without hidden diabetes mellitus." in: Diabetes, metabolic syndrome and obesity : targets and therapy, Vol. 11, pp. 277-288, (2018) (PubMed).

Vecchio, Lo Buono, Stabilini, Nigi, Dufort, Geyer, Rancoita, Cugnata, Mandelli, Valle, Leete, Mancarella, Linsley, Krogvold, Herold, Elding Larsson, Richardson, Morgan, Dahl-Jørgensen, Sebastiani et al.: "Abnormal neutrophil signature in the blood and pancreas of presymptomatic and symptomatic type 1 diabetes. ..." in: JCI insight, Vol. 3, Issue 18, (2018) (PubMed).

Lu, Heyne, Dror, Casas, Leonhardt, Boenke, Yang, Sagar, Arrigoni, Dalgaard, Teperino, Enders, Selvaraj, Ruf, Raja, Xie, Boenisch, Orkin, Lynn, Hoffman, Grün, Vavouri, Lempradl, Pospisilik: "The Polycomb-Dependent Epigenome Controls β Cell Dysfunction, Dedifferentiation, and Diabetes." in: Cell metabolism, Vol. 27, Issue 6, pp. 1294-1308.e7, (2018) (PubMed).

Su, Peng, Gong, Liu, Zhang, Lian, Cao, Wu, Liu, Wang, Wang, Jiang: "Antidiabetic drug glyburide modulates depressive-like behavior comorbid with insulin resistance." in: Journal of neuroinflammation, Vol. 14, Issue 1, pp. 210, (2018) (PubMed).

Wang, Tian, Chen, Tan, Xie, Chen, Fu, Chen, Xu, Wei: "Low dose doxycycline decreases systemic inflammation and improves glycemic control, lipid profiles, and islet morphology and function in db/db mice." in: Scientific reports, Vol. 7, Issue 1, pp. 14707, (2017) (PubMed).

Brown, Andrzejewski, Burnside, Schneyer: "Activin Enhances α- to β-Cell Transdifferentiation as a Source For β-Cells In Male FSTL3 Knockout Mice." in: Endocrinology, Vol. 157, Issue 3, pp. 1043-54, (2016) (PubMed).

Aliase für Glucagon Antikörper

glucagon (GCG) Antikörper
glucagon (Gcg) Antikörper
glucagon L homeolog (gcg.L) Antikörper
GCG Antikörper
gcg-A Antikörper
gcg1 Antikörper
GLP-1 Antikörper
GLP1 Antikörper
GLP2 Antikörper
Glu Antikörper
GRPP Antikörper
PPG Antikörper
Sie sind hier:
Chat with us!