Telefon:
+49 (0)241 95 163 153
Fax:
+49 (0)241 95 163 155
E-Mail:
orders@antikoerper-online.de

Glucagon Receptor Antikörper

(Glucagon Receptor (GCGR))

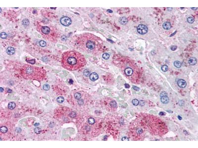
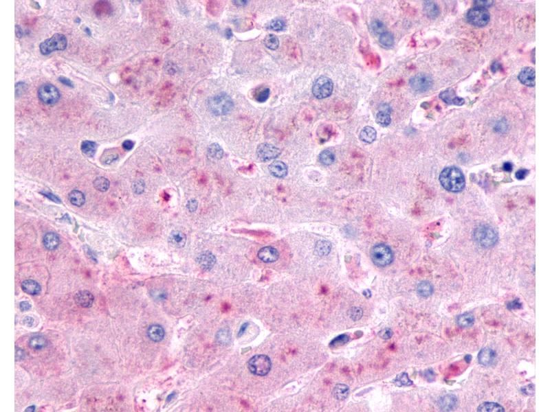
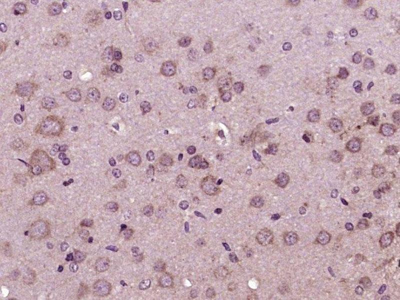
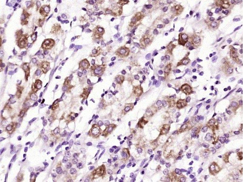
Wählen Sie einen von 71 Glucagon Receptor-Antikörpern aus unserem Produktangebot basierend auf 1 Publikation und 22 Validierungsbilder.

Entdecken Sie zuverlässige Glucagon Receptor-Antikörper von einer großen Zahl namhafter Hersteller. Unser Portfolio ermöglicht eine präzise Glucagon Receptor-Detektion in verschiedenen Spezies, darunter Human, Mouse, Rat, Cow, Dog, Chicken, Guinea Pig, Monkey, Pig, Hamster, Horse, und unterstützt vielfältige Forschungsanwendungen wie WB, ELISA, FACS, IF (cc), IF (p).

Finden Sie schnell den passenden Antikörper mit unseren Such-, Filter- und Vergleichsfunktionen. Auf jeder Produktseite stehen Ihnen detaillierte Validierungsdaten, Literaturreferenzen und Kundenbewertungen zur Verfügung. Im Gegensatz zu reinen Vergleichsportalen können Sie Ihre Antikörper direkt über unsere Plattform erwerben. Wählen Sie aus polyklonalen, monoklonalen oder rekombinanten Glucagon Receptor-Antikörpern aus verschiedenen Wirtsarten wie Rabbit, Human, Rat. Durchstöbern Sie unten unsere Auswahl an Glucagon Receptor-Antikörpern und bestellen Sie direkt, um Ihre Forschung effizient voranzubringen.

Alternative Bezeichnungen für Glucagon Receptor sind GCGR, Gcgr.

71 Treffer

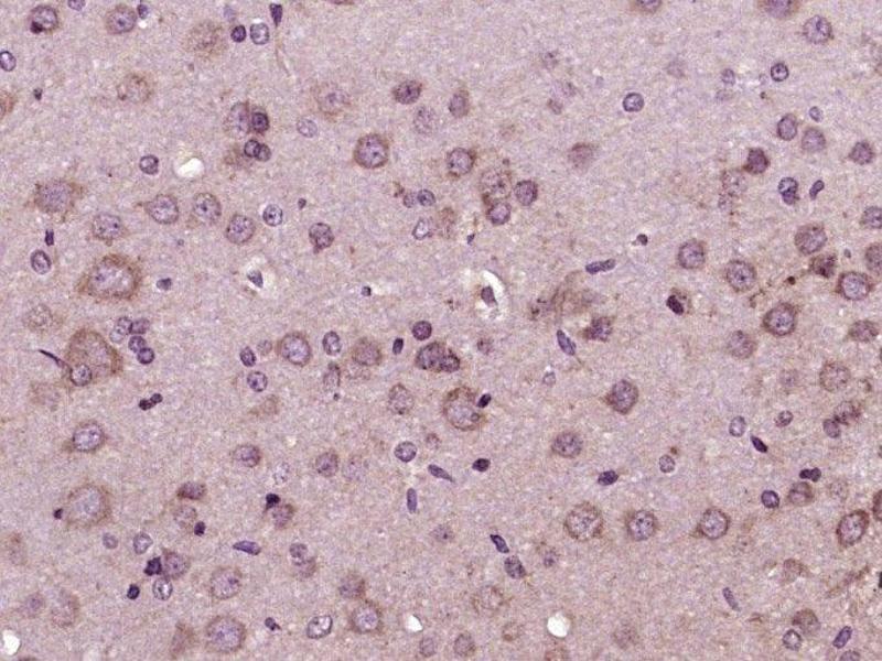
GCGR Reaktivität: Human, Maus, Ratte WB, ELISA, FACS, IHC (p), IF (cc), IF (p), IHC (fro) Wirt: Kaninchen Polyclonal unconjugated
Pubmed 1 reference
Produktnummer ABIN751528
357,70 €
Zzgl. Versandkosten 20,00 € und MwSt
100 μL
Lieferung nach: Deutschland
Lieferung in 8 bis 12 Werktagen
 
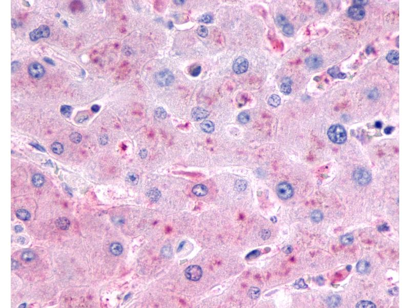
GCGR Reaktivität: Human WB, ELISA, IHC, IF Wirt: Kaninchen Polyclonal unconjugated
Produktnummer ABIN7153869
328,90 €
Zzgl. Versandkosten 20,00 € und MwSt
100 μg (Weitere Mengeneinheiten)
Lieferung nach: Deutschland
Lieferung in 11 bis 15 Werktagen
 
GCGR Reaktivität: Human WB, IF Wirt: Kaninchen Polyclonal unconjugated
Produktnummer ABIN7267394
320,00 €
Zzgl. Versandkosten 20,00 € und MwSt
100 μL (Weitere Mengeneinheiten)
Lieferung nach: Deutschland
Lieferung in 7 bis 9 Werktagen
 
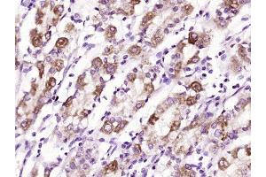
GCGR Reaktivität: Human, Rind (Kuh), Affe, Hund, Hamster, Pferd IHC, IHC (p) Wirt: Kaninchen Polyclonal unconjugated
Produktnummer ABIN1048671
534,81 €
Zzgl. Versandkosten 20,00 € und MwSt
50 μg
Lieferung nach: Deutschland
Lieferung in 15 bis 20 Werktagen
 
GCGR Reaktivität: Human, Maus, Ratte WB, ELISA, IF, ICC Wirt: Kaninchen Polyclonal unconjugated
Produktnummer ABIN6258919
525,71 €
Zzgl. Versandkosten 20,00 € und MwSt
100 μL (Weitere Mengeneinheiten)
Lieferung nach: Deutschland
Lieferung in 9 bis 11 Werktagen
 
GCGR Reaktivität: Human IF, BR Wirt: Maus Monoclonal hGR-2 F6 unconjugated Recombinant Antibody
Produktnummer ABIN7072307
624,00 €
Zzgl. Versandkosten 20,00 € und MwSt
200 μg
Lieferung nach: Deutschland
Lieferung in 4 bis 8 Werktagen
 
GCGR Reaktivität: Human, Affe IHC, IHC (p) Wirt: Kaninchen Polyclonal unconjugated
Produktnummer ABIN2450597
534,81 €
Zzgl. Versandkosten 20,00 € und MwSt
50 μg
Lieferung nach: Deutschland
Lieferung in 15 bis 20 Werktagen
 
GCGR Reaktivität: Human, Affe IHC, IHC (p) Wirt: Kaninchen Polyclonal unconjugated
Produktnummer ABIN1048670
534,81 €
Zzgl. Versandkosten 20,00 € und MwSt
50 μg
Lieferung nach: Deutschland
Lieferung in 15 bis 20 Werktagen
 
GCGR Reaktivität: Ratte WB, IHC, IF Wirt: Kaninchen Polyclonal unconjugated
Produktnummer ABIN7043218
854,77 €
Zzgl. Versandkosten 20,00 € und MwSt
25 μL (Weitere Mengeneinheiten)
Lieferung nach: Deutschland
Lieferung in 8 bis 9 Werktagen
 
GCGR Reaktivität: Human, Maus, Ratte WB, FACS, IF (cc), IF (p) Wirt: Kaninchen Polyclonal AbBy Fluor® 750
Produktnummer ABIN5003583
426,37 €
Zzgl. Versandkosten 20,00 € und MwSt
100 μL
Lieferung nach: Deutschland
Lieferung in 20 bis 25 Werktagen
 
GCGR Reaktivität: Human, Maus, Ratte WB, FACS, IF (cc), IF (p) Wirt: Kaninchen Polyclonal AbBy Fluor® 680
Produktnummer ABIN5003582
426,37 €
Zzgl. Versandkosten 20,00 € und MwSt
100 μL
Lieferung nach: Deutschland
Lieferung in 20 bis 25 Werktagen
 
GCGR Reaktivität: Human WB, IHC, ICC, IP Wirt: Kaninchen Polyclonal unconjugated
Produktnummer ABIN7639425
310,62 €
Zzgl. Versandkosten 20,00 € und MwSt
100 μL (Weitere Mengeneinheiten)
Lieferung nach: Deutschland
Lieferung in 11 bis 15 Werktagen
 
GCGR Reaktivität: Human WB, IHC, ICC Wirt: Kaninchen Polyclonal Biotin
Produktnummer ABIN7696131
445,11 €
Zzgl. Versandkosten 20,00 € und MwSt
200 μL (Weitere Mengeneinheiten)
Lieferung nach: Deutschland
Lieferung in 11 bis 15 Werktagen
 
GCGR Reaktivität: Human IF, BP Wirt: Maus Monoclonal hGR-2 F6hGR-2 F6 unconjugated Recombinant Antibody
Produktnummer ABIN7541279
1.389,00 €
Zzgl. Versandkosten 20,00 € und MwSt
200 μg
Lieferung nach: Deutschland
Lieferung in 8 bis 9 Werktagen
 
GCGR Reaktivität: Human, Maus, Ratte WB, ELISA, IF Wirt: Kaninchen Polyclonal unconjugated
Produktnummer ABIN7215074
623,62 €
Zzgl. Versandkosten 20,00 € und MwSt
100 μL (Weitere Mengeneinheiten)
Lieferung nach: Deutschland
Lieferung in 10 bis 14 Werktagen
 
GCGR Reaktivität: Human, Maus ELISA, FACS Wirt: Ratte Monoclonal mAb1 unconjugated
Produktnummer ABIN7567357
599,57 €
Zzgl. Versandkosten 20,00 € und MwSt
100 μg
Lieferung nach: Deutschland
Lieferung in 10 bis 13 Werktagen
 
GCGR Reaktivität: Human, Maus, Ratte WB, FACS, IF (cc), IF (p) Wirt: Kaninchen Polyclonal AbBy Fluor® 488
Produktnummer ABIN899037
426,37 €
Zzgl. Versandkosten 20,00 € und MwSt
100 μL
Lieferung nach: Deutschland
Lieferung in 20 bis 25 Werktagen
 
GCGR Reaktivität: Human, Maus, Ratte WB, FACS, IF (cc), IF (p) Wirt: Kaninchen Polyclonal AbBy Fluor® 647
Produktnummer ABIN899036
426,37 €
Zzgl. Versandkosten 20,00 € und MwSt
100 μL
Lieferung nach: Deutschland
Lieferung in 20 bis 25 Werktagen
 
GCGR Reaktivität: Human, Maus, Ratte WB, FACS, IF (cc), IF (p) Wirt: Kaninchen Polyclonal AbBy Fluor® 555
Produktnummer ABIN899035
426,37 €
Zzgl. Versandkosten 20,00 € und MwSt
100 μL
Lieferung nach: Deutschland
Lieferung in 20 bis 25 Werktagen
 
GCGR Reaktivität: Human, Maus, Ratte WB, FACS, IF (cc), IF (p) Wirt: Kaninchen Polyclonal AbBy Fluor® 350
Produktnummer ABIN899033
426,37 €
Zzgl. Versandkosten 20,00 € und MwSt
100 μL
Lieferung nach: Deutschland
Lieferung in 20 bis 25 Werktagen
 
  • Typ Primary
    • Primary
  • Anwendung
    • Western Blotting (WB)
    • ELISA
    • Flow Cytometry (FACS)
    • Immunofluorescence (Cultured Cells) (IF (cc))
    • Immunofluorescence (Paraffin-embedded Sections) (IF (p))
    • Immunohistochemistry (IHC)
    • Immunohistochemistry (Paraffin-embedded Sections) (IHC (p))
    • Immunofluorescence (IF)
    • Immunocytochemistry (ICC)
    • Immunohistochemistry (Frozen Sections) (IHC (fro))
    • Immunoprecipitation (IP)
    • Blocking Peptide (BP)
    • Blocking Reagent (BR)
    • Immunochromatography (IC)
    • Immunofluorescence (fixed cells) (IF/ICC)
  • Reaktivität
    • Human
    • Mouse
    • Rat
    • Cow
    • Dog
    • Chicken
    • Guinea Pig
    • Monkey
    • Pig
    • Hamster
    • Horse
  • In Publikationen zitiert
  • Abbildungen verfügbar
  • Nur ohne Konservierungsmittel
  • Carrier free only
  • Wirt
    • Rabbit
    • Human
    • Rat
    • Mouse
  • Klonalität
    • Polyclonal
    • Monoclonal
  • Klon
    • mAb1
    • ABS0736
    • ABS1487
    • 9G1
    • SAA0133
    • hGR-2 F6
    • hGR-2 F6hGR-2 F6
  • Bindungsspezifität
    • AA 11-110
    • AA 26-136
    • N-Term
    • Extracellular Domain
    • 1st Extracellular Domain
    • AA 1-140
    • AA 200-212
    • AA 26-137
    • AA 70-150
    • C-Term
    • Extracellular
    • Internal Region
    • Lys136
  • Konjugat
    • Unkonjugiert
    • FITC
    • PE
    • APC
    • Biotin
    • HRP
    • PerCP
    • AbBy Fluor® 350
    • AbBy Fluor® 488
    • AbBy Fluor® 555
    • AbBy Fluor® 594
    • AbBy Fluor® 647
    • AbBy Fluor® 680
    • AbBy Fluor® 750
    • Alexa Fluor 488
    • Alexa Fluor 555
    • Alexa Fluor 594
    • Alexa Fluor 647
    • Alexa Fluor 680
    • Alexa Fluor 750
    • Cy3
    • Cy5
    • Cy5.5
    • Cy7
    • PE-Cy5
    • PE-Cy5.5
    • PE-Cy7
  • Isotyp
    • IgG
    • kappa
    • IgG1
    • IgG2
    • IgG4
    • IgG1 kappa
  • Protein-Typ
    • Recombinant Antibody
  • Format
    • Liquid
    • Lyophilized
  • Hersteller
    • antibodies-online
    • ProteoGenix
    • Signalway
    • Covalab
    • Abbexa
    • Biomatik
    • Alomone Labs
    • USBio

Aktuelle Publikationen für unsere Glucagon Receptor Antikörper

LaPierre, Abraham, Yue, Filippi, Lam: "Glucagon signalling in the dorsal vagal complex is sufficient and necessary for high-protein feeding to regulate glucose homeostasis in vivo." in: EMBO reports, Vol. 16, Issue 10, pp. 1299-307, (2015) (PubMed).

Rafacho, Gonçalves-Neto, Santos-Silva, Alonso-Magdalena, Merino, Taboga, Carneiro, Boschero, Nadal, Quesada: "Pancreatic alpha-cell dysfunction contributes to the disruption of glucose homeostasis and compensatory insulin hypersecretion in glucocorticoid-treated rats." in: PLoS ONE, Vol. 9, Issue 4, pp. e93531, (2014) (PubMed).

Mighiu, Yue, Filippi, Abraham, Chari, Lam, Yang, Christian, Charron, Lam: "Hypothalamic glucagon signaling inhibits hepatic glucose production." in: Nature medicine, Vol. 19, Issue 6, pp. 766-72, (2013) (PubMed).

Lenders, Pacak, Huynh, Sharabi, Mannelli, Bratslavsky, Goldstein, Bornstein, Eisenhofer: "Low sensitivity of glucagon provocative testing for diagnosis of pheochromocytoma." in: The Journal of clinical endocrinology and metabolism, Vol. 95, Issue 1, pp. 238-45, (2010) (PubMed).

Sørensen, Winzell, Brand, Fosgerau, Gelling, Nishimura, Ahren: "Glucagon receptor knockout mice display increased insulin sensitivity and impaired beta-cell function." in: Diabetes, Vol. 55, Issue 12, pp. 3463-9, (2006) (PubMed).

Aliase für Glucagon Receptor Antikörper

glucagon receptor (GCGR) Antikörper
glucagon receptor (Gcgr) Antikörper
GCGR Antikörper
GGR Antikörper
GR Antikörper
Sie sind hier:
Chat with us!