JNK Antikörper
Kurzübersicht für JNK Antikörper (ABIN961389)
Target
Alle JNK (MAPK8) Antikörper anzeigenReaktivität
Wirt
Klonalität
Konjugat
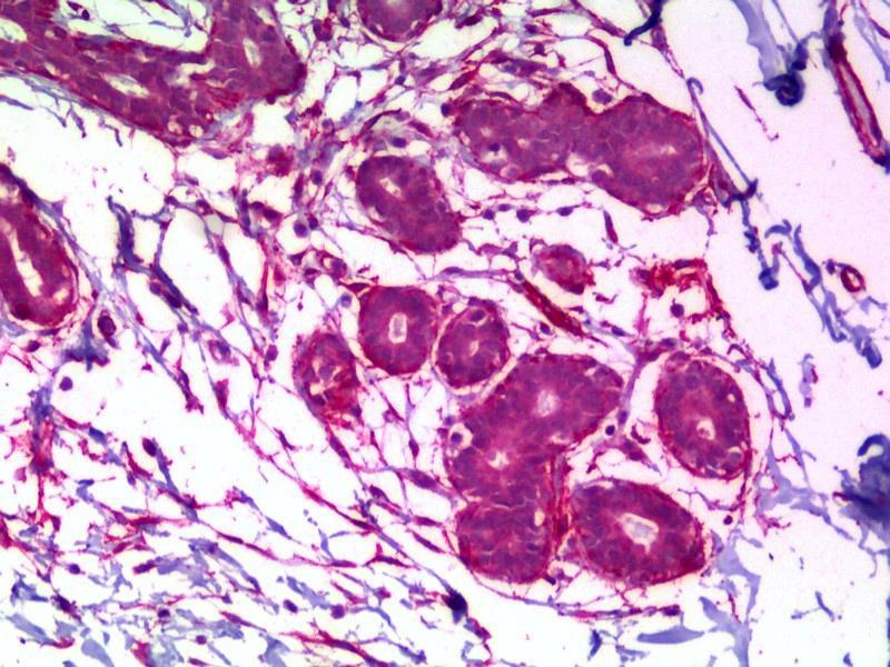
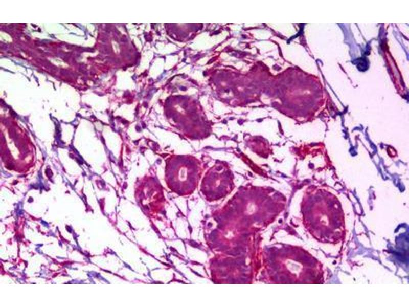
Applikation
Klon
-
-
Spezifität
- Human MAPK8 / JNK1
-
Aufreinigung
- Purified from ascites by Protein A
-
Immunogen
-
Recombinant protein encoding amino acids 318 to 427 of NP_620637
Type of Immunogen: Recombinant protein -
Isotyp
- IgG2a kappa
-
-
-
-
Applikationshinweise
-
Approved: ELISA, IHC, IHC-P (5 μg/mL), IP, WB (1:500 - 1:1000)
Usage: Western Blot: Transfected lysate, Recombinant protein.For IP 40 μg of antibody per 100 μL of protein A magnetic beads at 50 μg/mL. -
Kommentare
-
Target Species of Antibody: Human
-
Beschränkungen
- Nur für Forschungszwecke einsetzbar
-
-
-
Format
- Liquid
-
Konzentration
- Lot specific
-
Buffer
- PBS, pH 7.4. Sourced in Ascites.
-
Handhabung
- avoid freeze thaw cycles.
-
Lagerung
- 4 °C,-20 °C
-
Informationen zur Lagerung
- Short term 4°C, long term aliquot and store at -20°C, avoid freeze-thaw cycles.
-
-
- JNK (MAPK8) (Mitogen-Activated Protein Kinase 8 (MAPK8))
-
Andere Bezeichnung
- MAPK8 / JNK1 / JNK
-
Hintergrund
-
Name/Gene ID: MAPK8
Subfamily: MAPK
Family: Protein Kinase
Synonyms: MAPK8, JNK, JNK1, JNK1A2, JNK-46, MAP kinase 8, PRKM8, SAPK1, SAPK1c, MAPK 8, C-Jun N-terminal kinase 1, JNK21B1/2, JUN N-terminal kinase -
Gen-ID
- 5599
-
NCBI Accession
- NP_620637
-
UniProt
- P45983
-
Pathways
- MAPK Signalweg, WNT Signalweg, TLR Signalweg, Fc-epsilon Rezeptor Signalübertragung, Neurotrophin Signalübertragung, Activation of Innate immune Response, Hepatitis C, Toll-Like Receptors Cascades, Signaling of Hepatocyte Growth Factor Receptor, S100 Proteine
Target
-