Telefon:
+49 (0)241 95 163 153
Fax:
+49 (0)241 95 163 155
E-Mail:
orders@antikoerper-online.de

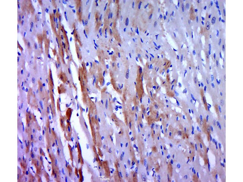
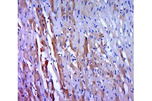
MAP2K7 Antikörper (pSer271, pThr275)

Der Kaninchen Polyklonal anti-MAP2K7 Antikörper wird verwendet zum Nachweis von MAP2K7 in Proben von Human, Maus und Ratte. Er wurde validiert für WB, ELISA, FACS, IF (cc), IF (p), IHC (p) und IHC (fro).
Produktnummer ABIN743918
357,70 €
Zzgl. Versandkosten 20,00 € und MwSt
100 μL
Lieferung nach: Deutschland
Lieferung in 8 bis 12 Werktagen

Kurzübersicht für MAP2K7 Antikörper (pSer271, pThr275) (ABIN743918)

Target

Alle MAP2K7 Antikörper anzeigen
MAP2K7 (Mitogen-Activated Protein Kinase Kinase 7 (MAP2K7))

Reaktivität

  • 100
  • 69
  • 65
  • 4
  • 4
  • 4
  • 4
  • 4
  • 3
  • 3
  • 3
  • 2
  • 2
  • 1
Human, Maus, Ratte

Wirt

  • 112
  • 5
Kaninchen

Klonalität

  • 94
  • 23
Polyklonal

Konjugat

  • 45
  • 6
  • 5
  • 5
  • 5
  • 5
  • 5
  • 5
  • 5
  • 3
  • 3
  • 2
  • 2
  • 2
  • 2
  • 2
  • 2
  • 2
  • 2
  • 2
  • 2
  • 2
  • 1
  • 1
  • 1
Dieser MAP2K7 Antikörper ist unkonjugiert

Applikation

  • 86
  • 31
  • 29
  • 26
  • 25
  • 25
  • 20
  • 18
  • 16
  • 6
  • 5
  • 1
  • 1
  • 1
Western Blotting (WB), ELISA, Flow Cytometry (FACS), Immunofluorescence (Cultured Cells) (IF (cc)), Immunofluorescence (Paraffin-embedded Sections) (IF (p)), Immunohistochemistry (Paraffin-embedded Sections) (IHC (p)), Immunohistochemistry (Frozen Sections) (IHC (fro))
  • Bindungsspezifität

    • 37
    • 23
    • 8
    • 5
    • 3
    • 2
    • 2
    • 2
    • 2
    • 2
    • 2
    • 1
    • 1
    • 1
    • 1
    • 1
    • 1
    • 1
    • 1
    • 1
    • 1
    • 1
    • 1
    • 1
    • 1
    • 1
    • 1
    • 1
    • 1
    pSer271, pThr275

    Kreuzreaktivität

    Human, Maus, Ratte

    Homologie

    Dog,Cow,Pig

    Aufreinigung

    Purified by Protein A.

    Immunogen

    KLH conjugated synthetic phosphopeptide derived from human MKK7 around the phosphorylation site of Ser271/Thr275

    Isotyp

    IgG
  • Applikationshinweise

    WB 1:300-5000
    ELISA 1:500-1000
    FCM 1:20-100
    IHC-P 1:200-400
    IHC-F 1:100-500
    IF(IHC-P) 1:50-200
    IF(IHC-F) 1:50-200
    IF(ICC) 1:50-200

    Beschränkungen

    Nur für Forschungszwecke einsetzbar
  • Format

    Liquid

    Konzentration

    1 μg/μL

    Buffer

    0.01M TBS( pH 7.4) with 1 % BSA, 0.02 % Proclin300 and 50 % Glycerol.

    Konservierungsmittel

    ProClin

    Vorsichtsmaßnahmen

    This product contains ProClin: a POISONOUS AND HAZARDOUS SUBSTANCE, which should be handled by trained staff only.

    Lagerung

    4 °C,-20 °C

    Informationen zur Lagerung

    Shipped at 4°C. Store at -20°C for one year. Avoid repeated freeze/thaw cycles.

    Haltbarkeit

    12 months
  • Target

    MAP2K7 (Mitogen-Activated Protein Kinase Kinase 7 (MAP2K7))

    Andere Bezeichnung

    MKK7 +

    Hintergrund

    Synonyms: MEK7 phospho S277 + T275, MEK7 phospho Ser277 + Thr275, p-MEK7 S277 + T275, p-MEK7 Ser277 + Thr275, c-Jun N-terminal kinase kinase 2, Dual specicity mitogen activated protein kinase kinase 7, Dual specicity mitogen-activated protein kinase kinase 7, JNK activating kinase 2, JNK kinase 2, JNK-activating kinase 2, Jnkk 2, Jnkk-2, Jnkk2, MAP kinase kinase 7, MAP2K7, MAPK/ERK kinase 7, MAPKK 7, MAPKK-7, MAPKK7, MEK 7, Mitogen Activated Protein Kinase kinase 7, MKK 7, MKK-7, MKK7, MP2K7_HUMAN, PRKMK 7, PRKMK-7, PRKMK7, Sek 2, Sek-2, Sek2.

    Background: The protein encoded by this gene is a dual specificity protein kinase that belongs to the MAP kinase kinase family. This kinase specifically activates MAPK8/JNK1 and MAPK9/JNK2, and this kinase itself is phosphorylated and activated by MAP kinase kinase kinases including MAP3K1/MEKK1, MAP3K2/MEKK2,MAP3K3/MEKK5, and MAP4K2/GCK. This kinase is involved in the signal transduction mediating the cell responses to proinflammatory cytokines, and environmental stresses. Multiple alternatively spliced transcript variants encoding distinct isoforms have been found, but only one transcript variant has been supported and defined. [provided by RefSeq, Jul 2008].

    Gen-ID

    5609

    Pathways

    MAPK Signalweg, TLR Signalweg, Fc-epsilon Rezeptor Signalübertragung, Activation of Innate immune Response, Toll-Like Receptors Cascades, BCR Signaling
Sie sind hier:
Chat with us!