ERK1 Antikörper
Kurzübersicht für ERK1 Antikörper (ABIN7799454)
Target
Alle ERK1 (MAPK3) Antikörper anzeigenReaktivität
Wirt
Klonalität
Konjugat
Applikation
Güteklasse
Klon
-
-
Verwendungszweck
- KD-Validated MAPK3 Mouse mAb
-
Kreuzreaktivität
- Maus, Ratte
-
Aufreinigung
- Affinity Purified
-
Immunogen
- A synthesized peptide derived from human ERK1
-
Isotyp
- IgG1 kappa
-
-
-
-
Applikationshinweise
- Western Blotting (WB): 1:1,000-1:5,000, Flow Cytometry (FCM): 1:200-1:2,000
-
Kommentare
-
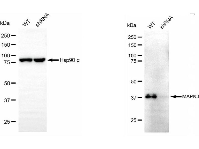
We assess the antibodies’ specificity and selectivity using knockdown techniques. Our validation approach is straightforward: if an antibody identifies a signal in wild-type (WT) cells, but this signal is absent or noticeably reduced in gene-silenced (KD) cells, we consider the antibody to be highly specific.
-
Beschränkungen
- Nur für Forschungszwecke einsetzbar
-
-
-
Format
- Liquid
-
Buffer
- PBS (pH 7.4) containing 50% glycerol and 0.02% sodium azide.
-
Konservierungsmittel
- Sodium azide
-
Vorsichtsmaßnahmen
- This product contains Sodium azide: a POISONOUS AND HAZARDOUS SUBSTANCE which should be handled by trained staff only.
-
Lagerung
- -20 °C
-
Informationen zur Lagerung
- Store at -20 °C for one year.
-
Haltbarkeit
- 12 months
-
-
- ERK1 (MAPK3) (Mitogen-Activated Protein Kinase 3 (MAPK3))
-
Andere Bezeichnung
- MAPK3
-
Molekulargewicht
- 43 kDa
-
Gen-ID
- 5595
-
UniProt
- P27361
-
Pathways
- MAPK Signalweg, RTK Signalweg, Interferon-gamma Pathway, Fc-epsilon Rezeptor Signalübertragung, Neurotrophin Signalübertragung, Response to Growth Hormone Stimulus, Activation of Innate immune Response, Cellular Response to Molecule of Bacterial Origin, Hepatitis C, Protein targeting to Nucleus, Toll-Like Receptors Cascades, Signaling Events mediated by VEGFR1 and VEGFR2, Signaling of Hepatocyte Growth Factor Receptor, VEGFR1 Specific Signals, S100 Proteine
Target
-