Rekombinanter MCM6 Antikörper
Kurzübersicht für Rekombinanter MCM6 Antikörper (ABIN7799421)
Target
Alle MCM6 Antikörper anzeigenAntikörpertyp
Reaktivität
Wirt
Klonalität
Konjugat
Applikation
Güteklasse
Klon
-
-
Expressionssystem
- HEK-293 Cells
-
Verwendungszweck
- KD-Validated MCM6 Recombinant Rabbit mAb
-
Kreuzreaktivität
- Maus, Ratte
-
Aufreinigung
- Affinity Purified
-
Immunogen
- A synthesized peptide derived from human MCM6
-
Isotyp
- IgG
-
-
-
-
Applikationshinweise
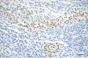
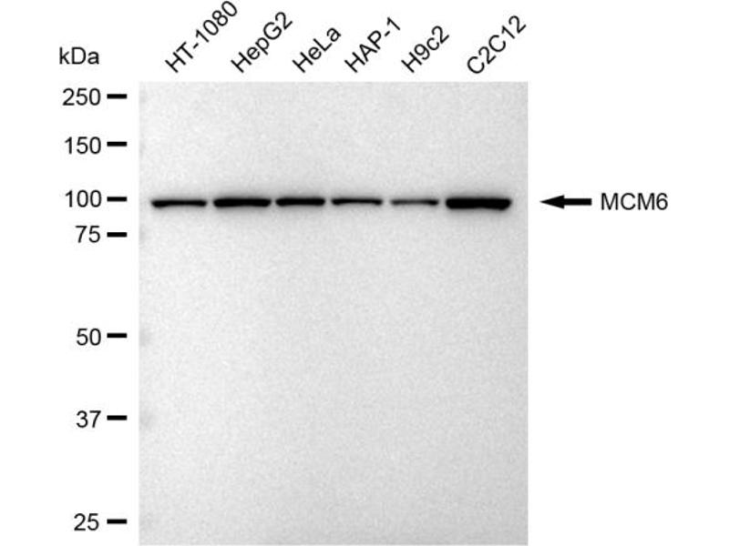
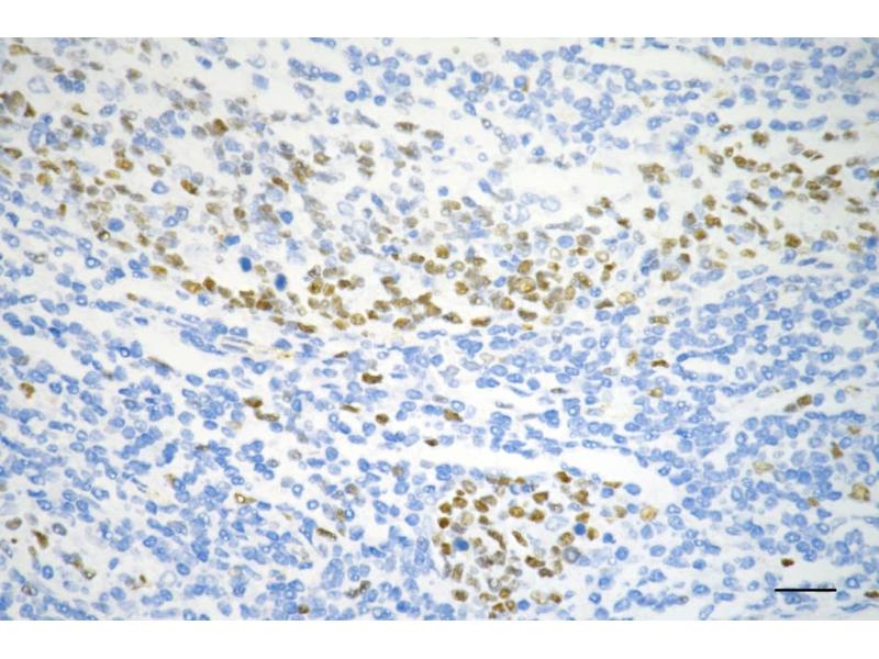
- Western Blotting (WB): 1:1,000-1:5,000, Flow Cytometry (FCM): 1:200-1:2,000, Immunohistochemistry-Paraffin (IHC-P): 1:100-1:200
-
Kommentare
-
We assess the antibodies’ specificity and selectivity using knockdown techniques. Our validation approach is straightforward: if an antibody identifies a signal in wild-type (WT) cells, but this signal is absent or noticeably reduced in gene-silenced (KD) cells, we consider the antibody to be highly specific.
-
Beschränkungen
- Nur für Forschungszwecke einsetzbar
-
-
-
Format
- Liquid
-
Buffer
- PBS (pH 7.4) containing 50% glycerol and 0.02% sodium azide.
-
Konservierungsmittel
- Sodium azide
-
Vorsichtsmaßnahmen
- This product contains Sodium azide: a POISONOUS AND HAZARDOUS SUBSTANCE which should be handled by trained staff only.
-
Lagerung
- -20 °C
-
Informationen zur Lagerung
- Store at -20 °C for one year.
-
Haltbarkeit
- 12 months
-
-
- MCM6 (Minichromosome Maintenance Complex Component 6 (MCM6))
-
Andere Bezeichnung
- MCM6
-
Molekulargewicht
- 93 kDa
-
Gen-ID
- 4175
-
UniProt
- Q14566
-
Pathways
- DNA Reparatur, Mitotic G1-G1/S Phases, DNA Replication, Synthesis of DNA
Target
-