IFNB1 Antikörper (AA 101-187)
Kurzübersicht für IFNB1 Antikörper (AA 101-187) (ABIN728158)
Target
Alle IFNB1 Antikörper anzeigenReaktivität
Wirt
Klonalität
Konjugat
Applikation
-
-
Bindungsspezifität
- AA 101-187
-
Kreuzreaktivität
- Human, Ratte
-
Aufreinigung
- Purified by Protein A.
-
Immunogen
- KLH conjugated synthetic peptide derived from human IFN-beta
-
Isotyp
- IgG
-
-
-
-
Applikationshinweise
-
ELISA 1:500-1000
IHC-P 1:200-400
IHC-F 1:100-500
IF(IHC-P) 1:50-200
IF(IHC-F) 1:50-200
IF(ICC) 1:50-200 -
Beschränkungen
- Nur für Forschungszwecke einsetzbar
-
-
-
Format
- Liquid
-
Konzentration
- 1 μg/μL
-
Buffer
- 0.01M TBS( pH 7.4) with 1 % BSA, 0.02 % Proclin300 and 50 % Glycerol.
-
Konservierungsmittel
- ProClin
-
Vorsichtsmaßnahmen
- This product contains ProClin: a POISONOUS AND HAZARDOUS SUBSTANCE, which should be handled by trained staff only.
-
Lagerung
- 4 °C,-20 °C
-
Informationen zur Lagerung
- Shipped at 4°C. Store at -20°C for one year. Avoid repeated freeze/thaw cycles.
-
Haltbarkeit
- 12 months
-
-
-
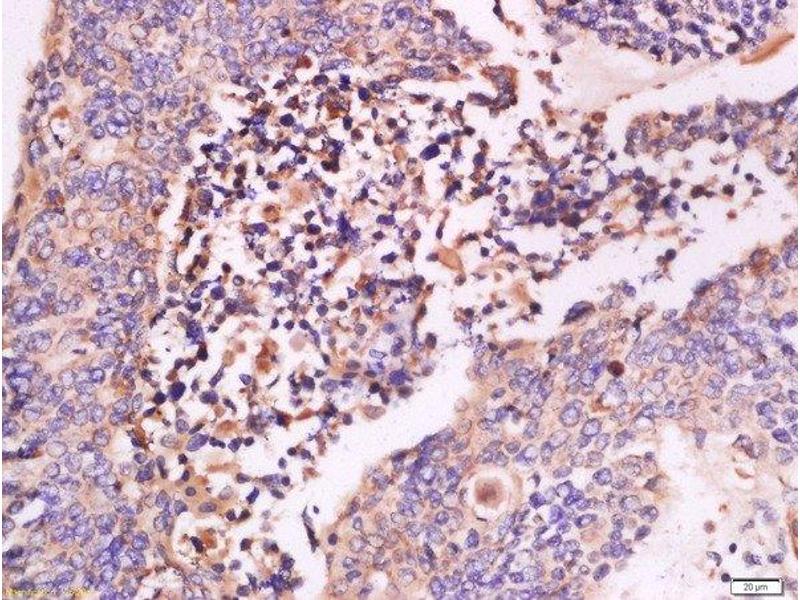
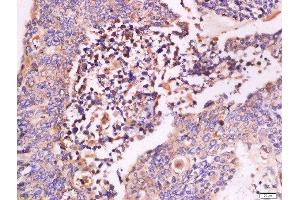
: "Rats with a missense mutation in Atm display neuroinflammation and neurodegeneration subsequent to accumulation of cytosolic DNA following unrepaired DNA damage." in: Journal of leukocyte biology, Vol. 101, Issue 4, pp. 927-947, (2016) (PubMed).
-
-
- IFNB1 (Interferon, beta 1, Fibroblast (IFNB1))
-
Andere Bezeichnung
- IFN-beta
-
Hintergrund
-
Synonyms: IFB, IFF, IFNB, IFN-beta, Interferon beta, Fibroblast interferon, IFNB1
Background: Has antiviral, antibacterial and anticancer activities.
-
Gen-ID
- 3456
-
UniProt
- P01574
-
Pathways
- JAK-STAT Signalweg, T-Zell Rezeptor Signalweg, TLR Signalweg, Regulation of Leukocyte Mediated Immunity, Production of Molecular Mediator of Immune Response, Positive Regulation of Endopeptidase Activity, Hepatitis C, Autophagie, Inflammasome
Target
-