Telefon:
+49 (0)241 95 163 153
Fax:
+49 (0)241 95 163 155
E-Mail:
orders@antikoerper-online.de

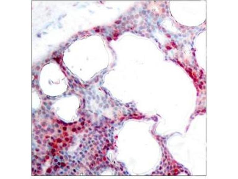
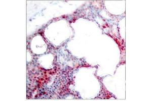
ATF2 Antikörper (pSer62)

Dieser Kaninchen Polyklonal Antikörper detektiert spezifisch ATF2 in WB, IHC und ELISA. Es zeigt Reaktivität gegenüber Proben von Human.
Produktnummer ABIN7138661
396,00 €
Zzgl. Versandkosten 20,00 € und MwSt
100 μL
Lieferung nach: Deutschland
Lieferung in 11 bis 15 Werktagen

Kurzübersicht für ATF2 Antikörper (pSer62) (ABIN7138661)

Target

Alle ATF2 Antikörper anzeigen
ATF2 (Activating Transcription Factor 2 (ATF2))

Reaktivität

  • 336
  • 240
  • 207
  • 17
  • 12
  • 11
  • 8
  • 7
  • 7
  • 5
  • 5
  • 3
  • 2
  • 2
  • 1
  • 1
Human

Wirt

  • 365
  • 14
  • 2
  • 1
Kaninchen

Klonalität

  • 325
  • 57
Polyklonal

Konjugat

  • 169
  • 21
  • 11
  • 11
  • 10
  • 10
  • 10
  • 10
  • 10
  • 10
  • 9
  • 9
  • 9
  • 9
  • 9
  • 9
  • 9
  • 9
  • 9
  • 9
  • 9
  • 3
  • 3
  • 3
  • 2
Dieser ATF2 Antikörper ist unkonjugiert

Applikation

  • 284
  • 129
  • 119
  • 118
  • 106
  • 86
  • 70
  • 62
  • 41
  • 29
  • 20
  • 10
  • 6
  • 2
  • 2
  • 1
Western Blotting (WB), Immunohistochemistry (IHC), ELISA
  • Bindungsspezifität

    • 54
    • 45
    • 26
    • 25
    • 25
    • 24
    • 24
    • 23
    • 15
    • 15
    • 15
    • 14
    • 13
    • 11
    • 9
    • 6
    • 5
    • 4
    • 3
    • 3
    • 3
    • 3
    • 3
    • 3
    • 3
    • 2
    • 2
    • 2
    • 2
    • 2
    • 2
    • 2
    • 2
    • 2
    • 2
    • 1
    • 1
    • 1
    • 1
    • 1
    • 1
    • 1
    • 1
    • 1
    • 1
    • 1
    • 1
    • 1
    • 1
    • 1
    pSer62

    Verwendungszweck

    Phospho-ATF2 (Ser62 or 44) Antibody

    Kreuzreaktivität

    Maus, Ratte

    Aufreinigung

    Antibodies were produced by immunizing rabbits with synthetic phosphopeptide and KLH conjugates. Antibodies were purified by affinity-chromatography using epitope-specific phosphopeptide. Non-phospho specific antibodies were removed by chromatogramphy usi

    Immunogen

    Peptide sequence around phosphorylation site of serine 62 or 44 (N-D-S(p)-V-I) derived from Human ATF2.

    Isotyp

    IgG
  • Applikationshinweise

    Optimal working dilution should be determined by the investigator.

    Beschränkungen

    Nur für Forschungszwecke einsetzbar
  • Format

    Liquid

    Buffer

    Supplied at 1.0 mg/mL in phosphate buffered saline (without Mg2+ and Ca2+), pH 7.4, 150 mM NaCl, 0.02 % sodium azide and 50 % glycerol.

    Konservierungsmittel

    Sodium azide

    Vorsichtsmaßnahmen

    This product contains Sodium azide: a POISONOUS AND HAZARDOUS SUBSTANCE which should be handled by trained staff only.

    Lagerung

    -20 °C,-80 °C

    Informationen zur Lagerung

    Upon receipt, store at -20°C or -80°C. Avoid repeated freeze.
  • Target

    ATF2 (Activating Transcription Factor 2 (ATF2))

    Andere Bezeichnung

    ATF2

    Hintergrund

    Background: Transcriptional activator, probably constitutive, which binds to the cAMP-responsive element (CRE) (consensus: 5'-GTGACGT[AC][AG]-3'), a sequence present in many viral and cellular promoters. Interaction with JUN redirects JUN to bind to CRES preferentially over the 12-O-tetradecanoylphorbol-13-acetate response elements (TRES) as part of an ATF2-c-Jun complex.

    Sevilla A, et al. (2004) J Biol Chem. 279(26):27458-27465.
    Sakurai A, et al. (1991) Biochem Biophys Res Commun. 181(2): 629-635.
    Abdel-Hafiz H A, et al. (1992) Mol Endocrinol. 6: 2079-2089.
    Gupta S, et al. (1995) Science. 267: 389-393.
    Van Dam H, et al. (1995) EMBO J. 14(8): 1798-1811.

    Aliases: Activating transcription factor 2 antibody, Activating transcription factor 2 splice variant ATF2 var2 antibody, ATF 2 antibody, Atf-2 antibody, Atf2 antibody, ATF2 protein antibody, ATF2_HUMAN antibody, cAMP Response Element Binding Protein 2 antibody, cAMP response element binding protein CRE BP1 antibody, cAMP response element-binding protein CRE-BP1 antibody, cAMP responsive element binding protein 2, formerly antibody, cAMP-dependent transcription factor ATF-2 antibody, cAMP-responsive element-binding protein 2 antibody, CRE BP1 antibody, CRE-BP antibody, CREB 2 antibody, CREB-2 antibody, CREB2 antibody, CREBP1 antibody, Cyclic AMP dependent transcription factor ATF 2 antibody, Cyclic AMP-dependent transcription factor ATF-2 antibody, Cyclic AMP-responsive element-binding protein 2 antibody, D130078H02Rik antibody, D18875 antibody, HB 16 antibody, HB16 antibody, Histone acetyltransferase ATF2 antibody, MGC105211 antibody, MGC105222 antibody, MGC111558 antibody, MGC142504 antibody, mXBP antibody, MXBP protein antibody, Tg(Gzma-Klra1)7Wum antibody, TREB 7 antibody, TREB7 antibody

    UniProt

    P15336

    Pathways

    MAPK Signalweg, RTK Signalweg, Thyroid Hormone Synthesis, Activation of Innate immune Response, Chromatin Binding, Myometrial Relaxation and Contraction, Synaptic Membrane, Tube Formation, Toll-Like Receptors Cascades
Sie sind hier:
Chat with us!