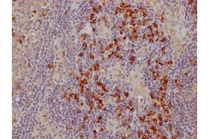
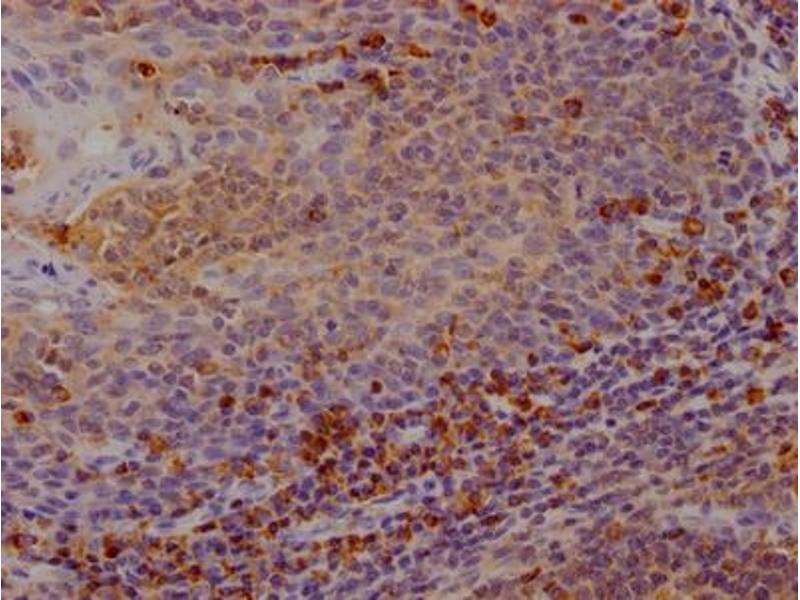
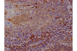
Rekombinanter CTLA4 Antikörper
Kurzübersicht für Rekombinanter CTLA4 Antikörper (ABIN7127437)
Target
Alle CTLA4 Antikörper anzeigenAntikörpertyp
Reaktivität
Wirt
Klonalität
Konjugat
Applikation
Klon
-
-
Verwendungszweck
- CTLA4 Recombinant Monoclonal Antibody
-
Aufreinigung
- Affinity-chromatography
-
Immunogen
- A synthesized peptide derived from human CTLA4 (CD152)
-
Isotyp
- IgG
-
-
-
-
Applikationshinweise
- IHC:1:50-1:200
-
Beschränkungen
- Nur für Forschungszwecke einsetzbar
-
-
-
Format
- Liquid
-
Buffer
- phosphate buffered saline, pH 7.4, 150 mM NaCl, 0.02 % sodium azide and 50 % glycerol.
-
Konservierungsmittel
- Sodium azide
-
Vorsichtsmaßnahmen
- This product contains Sodium azide: a POISONOUS AND HAZARDOUS SUBSTANCE which should be handled by trained staff only.
-
Lagerung
- -20 °C,-80 °C
-
Informationen zur Lagerung
- Upon receipt, store at -20°C or -80°C. Avoid repeated freeze.
-
-
- CTLA4 (Cytotoxic T-Lymphocyte-Associated Protein 4 (CTLA4))
-
Andere Bezeichnung
- CTLA4
-
Hintergrund
-
Background: Inhibitory receptor acting as a major negative regulator of T-cell responses. The affinity of CTLA4 for its natural B7 family ligands, CD80 and CD86, is considerably stronger than the affinity of their cognate stimulatory coreceptor CD28.
Aliases: Cytotoxic T-lymphocyte protein 4 (Cytotoxic T-lymphocyte-associated antigen 4) (CTLA-4) (CD antigen CD152), CTLA4, CD152
-
UniProt
- P16410
-
Pathways
- Cancer Immune Checkpoints
Target
-