ERK1 Antikörper
Kurzübersicht für ERK1 Antikörper (ABIN7250638)
Target
Alle ERK1 (MAPK3) Antikörper anzeigenReaktivität
Wirt
Klonalität
Konjugat
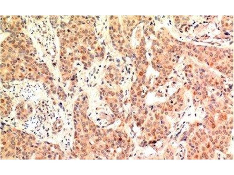
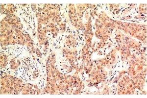
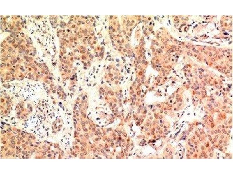
Applikation
Klon
-
-
Produktmerkmale
- Monoclonal Antibody
-
Aufreinigung
- Protein A purification
-
Immunogen
- Recombinant Protein of ERK1 of MAPK3
-
Isotyp
- IgG
-
-
-
-
Applikationshinweise
- IHC 1:100-200
-
Beschränkungen
- Nur für Forschungszwecke einsetzbar
-
-
-
Format
- Liquid
-
Konzentration
- 1 mg/mL
-
Buffer
- PBS with 0.02 % sodium azide, 0.5 % BSA and 50 % glycerol, pH 7.4
-
Konservierungsmittel
- Sodium azide
-
Vorsichtsmaßnahmen
- This product contains Sodium azide: a POISONOUS AND HAZARDOUS SUBSTANCE which should be handled by trained staff only.
-
Lagerung
- -20 °C
-
Informationen zur Lagerung
- Store at -20°C. Avoid freeze / thaw cycles.
-
-
- ERK1 (MAPK3) (Mitogen-Activated Protein Kinase 3 (MAPK3))
-
Andere Bezeichnung
- ERK 1
-
Hintergrund
- Involved in both the initiation and regulation of meiosis, mitosis, and postmitotic functions in differentiated cells by phosphorylating a number of transcription factors such as ELK-1. Phosphorylates EIF4EBP1, required for initiation of translation. Phosphorylates microtubule-associated protein 2 (MAP2). Phosphorylates SPZ1 (By similarity). Phosphorylates heat shock factor protein 4 (HSF4).
-
UniProt
- P27361
-
Pathways
- MAPK Signalweg, RTK Signalweg, Interferon-gamma Pathway, Fc-epsilon Rezeptor Signalübertragung, Neurotrophin Signalübertragung, Response to Growth Hormone Stimulus, Activation of Innate immune Response, Cellular Response to Molecule of Bacterial Origin, Hepatitis C, Protein targeting to Nucleus, Toll-Like Receptors Cascades, Signaling Events mediated by VEGFR1 and VEGFR2, Signaling of Hepatocyte Growth Factor Receptor, VEGFR1 Specific Signals, S100 Proteine
Target
-