Telefon:
+49 (0)241 95 163 153
Fax:
+49 (0)241 95 163 155
E-Mail:
orders@antikoerper-online.de

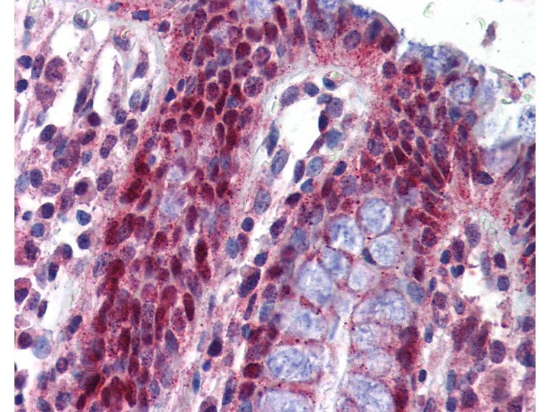
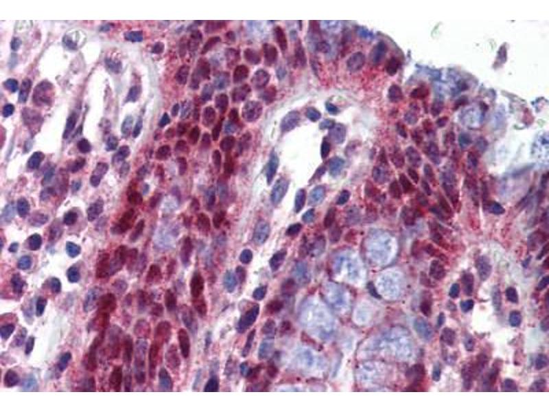
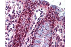
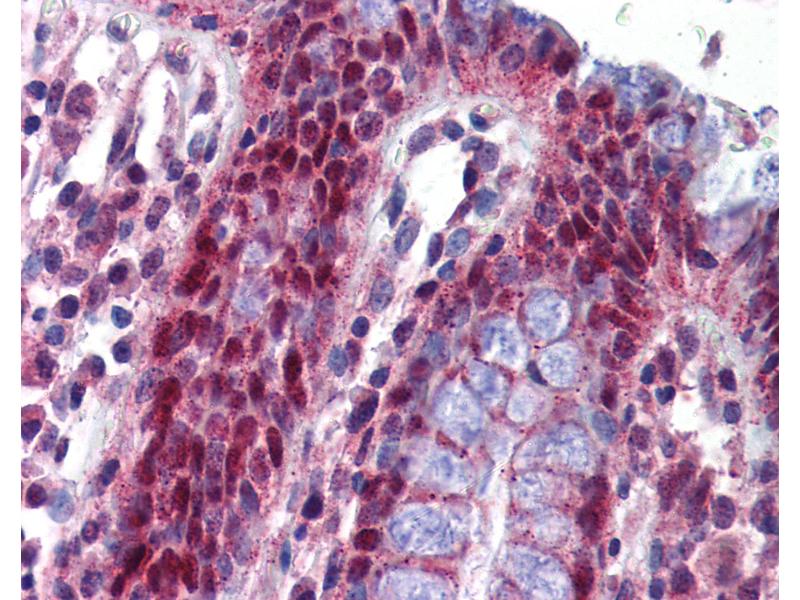
NLRP1 Antikörper (AA 323-372)

Der Kaninchen Polyklonal anti-NLRP1 Antikörper wird verwendet zum Nachweis von NLRP1 in Proben von Human, Maus, Rind (Kuh), Hund, Pferd und Affe. Er wurde validiert für WB, IHC und IHC (p).
Produktnummer ABIN768983
610,95 €
Zzgl. Versandkosten 20,00 € und MwSt
50 μg
Lieferung nach: Deutschland
Lieferung in 15 bis 20 Werktagen

Kurzübersicht für NLRP1 Antikörper (AA 323-372) (ABIN768983)

Target

Alle NLRP1 Antikörper anzeigen
NLRP1 (NLR Family, Pyrin Domain Containing 1 (NLRP1))

Reaktivität

  • 39
  • 18
  • 2
  • 1
  • 1
  • 1
  • 1
  • 1
  • 1
Human, Maus, Rind (Kuh), Hund, Pferd, Affe

Wirt

  • 37
  • 2
  • 1
Kaninchen

Klonalität

  • 40
Polyklonal

Konjugat

  • 16
  • 3
  • 2
  • 2
  • 1
  • 1
  • 1
  • 1
  • 1
  • 1
  • 1
  • 1
  • 1
  • 1
  • 1
  • 1
  • 1
  • 1
  • 1
  • 1
  • 1
Dieser NLRP1 Antikörper ist unkonjugiert

Applikation

  • 28
  • 13
  • 13
  • 8
  • 6
  • 4
  • 4
  • 4
  • 3
  • 1
  • 1
Western Blotting (WB), Immunohistochemistry (IHC), Immunohistochemistry (Paraffin-embedded Sections) (IHC (p))
  • Bindungsspezifität

    • 15
    • 5
    • 4
    • 3
    • 2
    • 2
    • 1
    AA 323-372

    Spezifität

    Human NLRP1 / NALP1

    Homologie

    Percent identity by BLAST analysis: Human, Mouse (100%) Rat (92%) Dog (85%) Bovine (84%).

    Aufreinigung

    Immunoaffinity purified

    Immunogen

    Synthetic peptide located between aa323-372 of human NLRP1 (Q9C000, NP_001028225). Percent identity by BLAST analysis: Human, Gibbon, Monkey, Marmoset, Mouse (100%), Rat, Opossum (92%), Platypus, Rice (91%), Gorilla, Dog (85%), Galago, Elephant, Bovine, Rabbit, Horse, Pig, Guinea pig (84%).

    Type of Immunogen: Synthetic peptide

    Isotyp

    IgG
  • Applikationshinweise

    Approved: IHC, IHC-P (5 μg/mL), WB (0.2 - 1 μg/mL)

    Usage: Western Blot: Suggested dilution at 1 μg/mL in 5 % skim milk / PBS buffer, and HRP conjugated anti-Rabbit IgG should be diluted in 1: 50,000 - 100,000 as second antibody. ELISA titer in peptide based assay: 1:62500.

    Kommentare

    Target Species of Antibody: Human

    Beschränkungen

    Nur für Forschungszwecke einsetzbar
  • Format

    Lyophilized

    Rekonstitution

    Distilled water

    Konzentration

    Lot specific

    Buffer

    Lyophilized from PBS with 2 % sucrose

    Handhabung

    Avoid repeat freeze-thaw cycles.

    Lagerung

    4 °C,-20 °C

    Informationen zur Lagerung

    Long term: -20°C, the use of 50% glycerol is recommended if storing aliquots in -20°C for long term use (up to 1 year)
    Short term (less than 1 week): 4°C. Avoid freeze-thaw cycles.
  • Target

    NLRP1 (NLR Family, Pyrin Domain Containing 1 (NLRP1))

    Andere Bezeichnung

    NALP1 / NLRP1

    Hintergrund

    Name/Gene ID: NLRP1

    Synonyms: NLRP1, CLR17.1, CARD7, DEFCAP, DEFCAP-L/S, NAC, SLEV1, VAMAS1, KIAA0926, NALP1, PP1044

    Gen-ID

    22861

    NCBI Accession

    NP_001028225

    UniProt

    Q9C000

    Pathways

    Positive Regulation of Endopeptidase Activity, Inflammasome
Sie sind hier:
Chat with us!