Telefon:
+49 (0)241 95 163 153
Fax:
+49 (0)241 95 163 155
E-Mail:
orders@antikoerper-online.de

NLRP1 Antikörper (C-Term)

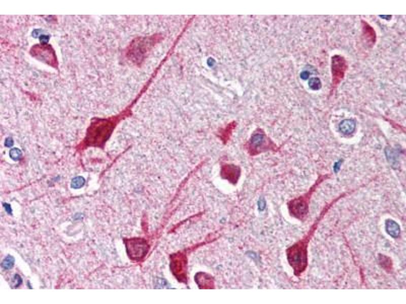
Der Kaninchen Polyklonal anti-NLRP1 Antikörper (ABIN214515) detektiert spezifisch NLRP1 in WB, IHC, ICC und IHC (p). Dieser Antikörper reagiert spezifisch mit Proben aus Human.
Produktnummer ABIN214515
610,95 €
Zzgl. Versandkosten 20,00 € und MwSt
0.05 mg
Lieferung nach: Deutschland
Lieferung in 15 bis 20 Werktagen

Kurzübersicht für NLRP1 Antikörper (C-Term) (ABIN214515)

Target

Alle NLRP1 Antikörper anzeigen
NLRP1 (NLR Family, Pyrin Domain Containing 1 (NLRP1))

Reaktivität

  • 39
  • 19
  • 2
  • 2
  • 2
  • 2
  • 1
  • 1
  • 1
  • 1
Human

Wirt

  • 37
  • 2
  • 1
Kaninchen

Klonalität

  • 40
Polyklonal

Konjugat

  • 16
  • 3
  • 2
  • 2
  • 1
  • 1
  • 1
  • 1
  • 1
  • 1
  • 1
  • 1
  • 1
  • 1
  • 1
  • 1
  • 1
  • 1
  • 1
  • 1
  • 1
Dieser NLRP1 Antikörper ist unkonjugiert

Applikation

  • 28
  • 13
  • 13
  • 8
  • 6
  • 4
  • 4
  • 3
  • 3
  • 1
  • 1
Western Blotting (WB), Immunohistochemistry (IHC), Immunocytochemistry (ICC), Immunohistochemistry (Paraffin-embedded Sections) (IHC (p))
  • Bindungsspezifität

    • 15
    • 5
    • 4
    • 2
    • 2
    • 2
    • 1
    • 1
    C-Term

    Aufreinigung

    Purified IgG

    Isotyp

    IgG
  • Applikationshinweise

    Approved: ICC, IHC, IHC-P (2.5 μg/mL), WB (1 - 2 μg/mL)

    Usage: Immunohistochemistry: This antibody was validated for use in immunohistochemistry on a panel of 21 formalin-fixed, paraffin-embedded (FFPE) human tissues after heat induced antigen retrieval in  pH 6.0 citrate buffer. After incubation with the primary antibody, slides were incubated with biotinylated secondary antibody, followed by alkaline phosphatase-streptavidin and chromogen. The stained slides were evaluated by a pathologist to confirm staining specificity. The optimal working concentration for this antibody was determined to be 2.5 μg/mL.

    Kommentare

    Target Species of Antibody: Human

    Beschränkungen

    Nur für Forschungszwecke einsetzbar
  • Format

    Liquid

    Konzentration

    Lot specific

    Buffer

    PBS, 0.02 % sodium azide.

    Konservierungsmittel

    Sodium azide

    Vorsichtsmaßnahmen

    This product contains Sodium azide: a POISONOUS AND HAZARDOUS SUBSTANCE which should be handled by trained staff only.

    Handhabung

    avoid freeze thaw cycles. Store undiluted.

    Lagerung

    4 °C,-20 °C

    Informationen zur Lagerung

    Store at 4°C for 3 months and -20°C, stable for up to 1 year. Avoid repeated freeze-thaw cycles.

    Haltbarkeit

    12 months
  • Target

    NLRP1 (NLR Family, Pyrin Domain Containing 1 (NLRP1))

    Andere Bezeichnung

    NALP1 / NLRP1

    Hintergrund

    Name/Gene ID: NLRP1

    Synonyms: NLRP1, CLR17.1, CARD7, DEFCAP, DEFCAP-L/S, NAC, SLEV1, VAMAS1, KIAA0926, NALP1, PP1044

    Gen-ID

    22861

    UniProt

    Q9C000

    Pathways

    Positive Regulation of Endopeptidase Activity, Inflammasome
Sie sind hier:
Chat with us!