Telefon:
+49 (0)241 95 163 153
Fax:
+49 (0)241 95 163 155
E-Mail:
orders@antikoerper-online.de

PDK2 Antikörper

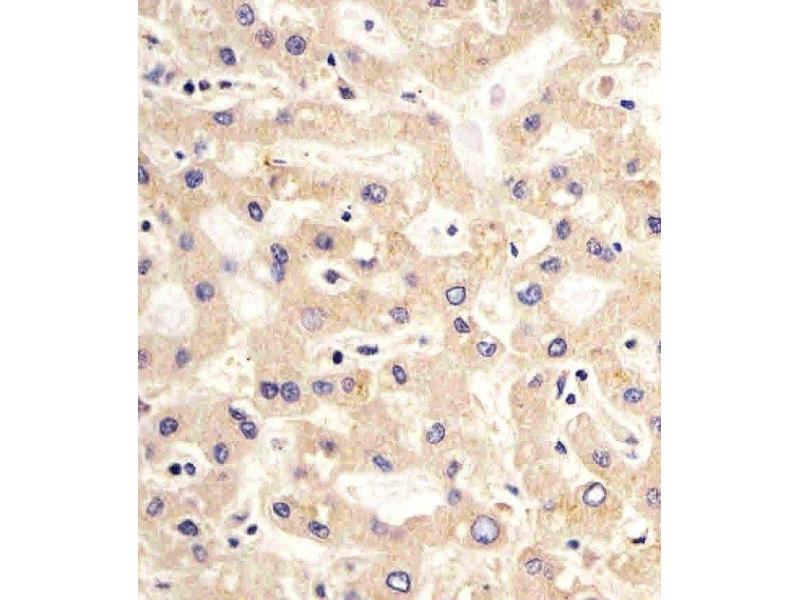
Der Maus Monoklonal anti-PDK2 Antikörper wird verwendet zum Nachweis von PDK2 in Proben von Human und Maus. Er wurde validiert für WB und IHC (p).
Produktnummer ABIN4912898
422,08 €
Zzgl. Versandkosten 20,00 € und MwSt
100 μL
Lieferung nach: Deutschland
Lieferung in 12 bis 17 Werktagen

Kurzübersicht für PDK2 Antikörper (ABIN4912898)

Target

Alle PDK2 Antikörper anzeigen
PDK2 (Pyruvate Dehydrogenase Kinase, Isozyme 2 (PDK2))

Reaktivität

  • 98
  • 63
  • 54
  • 9
  • 4
  • 2
  • 2
  • 1
  • 1
  • 1
  • 1
  • 1
  • 1
  • 1
Human, Maus

Wirt

  • 90
  • 15
Maus

Klonalität

  • 73
  • 32
Monoklonal

Konjugat

  • 48
  • 8
  • 5
  • 5
  • 4
  • 4
  • 3
  • 3
  • 3
  • 3
  • 3
  • 3
  • 1
  • 1
  • 1
  • 1
  • 1
  • 1
  • 1
  • 1
  • 1
  • 1
  • 1
  • 1
  • 1
Dieser PDK2 Antikörper ist unkonjugiert

Applikation

  • 88
  • 50
  • 43
  • 22
  • 17
  • 15
  • 15
  • 13
  • 13
  • 13
  • 3
  • 1
  • 1
  • 1
Western Blotting (WB), Immunohistochemistry (Paraffin-embedded Sections) (IHC (p))

Klon

7E5
  • Kreuzreaktivität

    Human, Maus

    Aufreinigung

    Purified monoclonal antibody supplied in PBS with 0.09% (W/V) sodium azide. This antibody is purified through a protein G column, eluted with high and low pH buffers and neutralized immediately, followed by dialysis against PBS.

    Immunogen

    This PDK2 monoclonal antibody is generated from mouse immunized with PDK2 recombinant protein.

    Isotyp

    IgG1
  • Applikationshinweise

    WB 1:300-5000
    IHC-P 1:200-400

    Beschränkungen

    Nur für Forschungszwecke einsetzbar
  • Format

    Liquid

    Konzentration

    0.5 μg/μL

    Buffer

    0.01M TBS( pH 7.4) with 1 % BSA, 0.02 % Proclin300 and 50 % Glycerol.

    Konservierungsmittel

    ProClin

    Vorsichtsmaßnahmen

    This product contains ProClin: a POISONOUS AND HAZARDOUS SUBSTANCE, which should be handled by trained staff only.

    Lagerung

    4 °C,-20 °C

    Informationen zur Lagerung

    Shipped at 4°C. Store at -20°C for one year. Avoid repeated freeze/thaw cycles.

    Haltbarkeit

    12 months
  • Target

    PDK2 (Pyruvate Dehydrogenase Kinase, Isozyme 2 (PDK2))

    Andere Bezeichnung

    PDK2

    Hintergrund

    Synonyms: PDHK2, PDKII, [Pyruvate dehydrogenase (acetyl-transferring)] kinase isozyme 2, mitochondrial, Pyruvate dehydrogenase kinase isoform 2, PDH kinase 2, PDK2

    Background: Kinase that plays a key role in the regulation of glucose and fatty acid metabolism and homeostasis via phosphorylation of the pyruvate dehydrogenase subunits PDHA1 and PDHA2. This inhibits pyruvate dehydrogenase activity, and thereby regulates metabolite flux through the tricarboxylic acid cycle, down-regulates aerobic respiration and inhibits the formation of acetyl-coenzyme A from pyruvate. Inhibition of pyruvate dehydrogenase decreases glucose utilization and increases fat metabolism. Mediates cellular responses to insulin. Plays an important role in maintaining normal blood glucose levels and in metabolic adaptation to nutrient availability. Via its regulation of pyruvate dehydrogenase activity, plays an important role in maintaining normal blood pH and in preventing the accumulation of ketone bodies under starvation. Plays a role in the regulation of cell proliferation and in resistance to apoptosis under oxidative stress. Plays a role in p53/TP53-mediated apoptosis.

    Gen-ID

    5164

    UniProt

    Q15119

    Pathways

    PI3K-Akt Signalweg, RTK Signalweg, Carbohydrate Homeostasis, Regulation of Carbohydrate Metabolic Process, Warburg Effekt
Sie sind hier:
Chat with us!