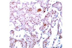
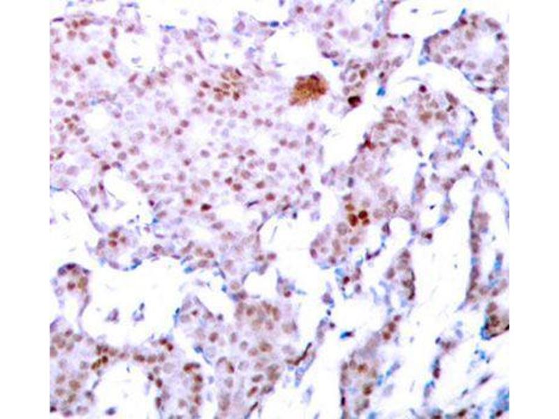
NF-kB p65 Antikörper (pSer536)
Kurzübersicht für NF-kB p65 Antikörper (pSer536) (ABIN2987367)
Target
Alle NF-kB p65 (NFkBP65) Antikörper anzeigenReaktivität
Wirt
Klonalität
Konjugat
Applikation
-
-
Bindungsspezifität
- pSer536
-
Aufreinigung
- Affinity purified
-
Immunogen
- Synthetic Peptide. A phospho specific peptide corresponding to residues surrounding S536 of human RELA.
-
Isotyp
- IgG
-
-
-
-
Applikationshinweise
- Optimal working dilution should be determined by the investigator.
-
Beschränkungen
- Nur für Forschungszwecke einsetzbar
-
-
-
Format
- Liquid
-
Konzentration
- Lot specific
-
Buffer
- PBS, pH 7.3, 0.02 % sodium azide, 50 % glycerol.
-
Konservierungsmittel
- Sodium azide
-
Vorsichtsmaßnahmen
- This product contains Sodium azide: a POISONOUS AND HAZARDOUS SUBSTANCE which should be handled by trained staff only.
-
Lagerung
- -20 °C
-
Informationen zur Lagerung
- Aliquot and store at -20 °C. Avoid repeated freeze/thaw cycles.
-
-
- NF-kB p65 (NFkBP65) (Nuclear Factor-kB p65 (NFkBP65))
-
Andere Bezeichnung
- RELA
-
Molekulargewicht
-
Calculated MW: 58 kDa/59 kDa/60 kDa
Observed MW: 60 kDa -
Gen-ID
- 5970
-
UniProt
- Q04206
-
Pathways
- NF-kappaB Signalweg, RTK Signalweg, T-Zell Rezeptor Signalweg, TLR Signalweg, Fc-epsilon Rezeptor Signalübertragung, Neurotrophin Signalübertragung, Activation of Innate immune Response, Cellular Response to Molecule of Bacterial Origin, Hepatitis C, Toll-Like Receptors Cascades, S100 Proteine
Target
-