Telefon:
+49 (0)241 95 163 153
Fax:
+49 (0)241 95 163 155
E-Mail:
orders@antikoerper-online.de

ZAP70 Antikörper (Tyr493)

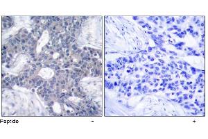
Dieser Kaninchen Polyklonal Antikörper detektiert spezifisch ZAP70 in IHC (p). Es zeigt Reaktivität gegenüber Proben von Human, Maus und Ratte.
Produktnummer ABIN197386
606,15 €
Zzgl. Versandkosten 20,00 € und MwSt
Lieferung nach: Deutschland
Lieferung in 16 Werktagen

Kurzübersicht für ZAP70 Antikörper (Tyr493) (ABIN197386)

Target

Alle ZAP70 Antikörper anzeigen
ZAP70 (zeta-Chain (TCR) Associated Protein Kinase 70kDa (ZAP70))

Reaktivität

  • 316
  • 146
  • 51
  • 8
  • 7
  • 6
  • 6
  • 6
  • 5
  • 3
  • 3
  • 2
  • 1
Human, Maus, Ratte

Wirt

  • 220
  • 98
  • 2
  • 2
  • 1
Kaninchen

Klonalität

  • 191
  • 131
Polyklonal

Konjugat

  • 154
  • 18
  • 15
  • 12
  • 9
  • 6
  • 6
  • 5
  • 5
  • 5
  • 5
  • 4
  • 4
  • 4
  • 4
  • 4
  • 4
  • 4
  • 4
  • 4
  • 4
  • 4
  • 4
  • 4
  • 4
  • 4
  • 4
  • 4
  • 4
  • 3
  • 2
  • 2
  • 1
  • 1
  • 1
  • 1
Dieser ZAP70 Antikörper ist unkonjugiert

Applikation

  • 216
  • 140
  • 96
  • 93
  • 70
  • 52
  • 52
  • 34
  • 34
  • 22
  • 20
  • 17
  • 12
  • 6
  • 4
  • 3
  • 3
  • 2
  • 2
  • 1
  • 1
Immunohistochemistry (Paraffin-embedded Sections) (IHC (p))
  • Bindungsspezifität

    • 43
    • 35
    • 29
    • 27
    • 23
    • 21
    • 16
    • 10
    • 10
    • 9
    • 8
    • 8
    • 7
    • 6
    • 5
    • 4
    • 3
    • 3
    • 2
    • 2
    • 2
    • 2
    • 2
    • 2
    • 2
    • 2
    • 2
    • 2
    • 1
    • 1
    • 1
    • 1
    • 1
    • 1
    • 1
    • 1
    • 1
    • 1
    • 1
    • 1
    • 1
    • 1
    • 1
    • 1
    • 1
    • 1
    • 1
    • 1
    • 1
    • 1
    Tyr493

    Spezifität

    The antibody was affinity-purified from rabbit antiserum by affinity-chromatography using epitope-specific immunogen. Zap-70 antibody AP02692PU detects endogenous levels of total Zap-70 protein.

    Aufreinigung

    Immunoaffinity chromatography.

    Immunogen

    The antiserum was produced against synthesized non-phosphopeptide derived from human Zap-70 around the phosphorylation site of tyrosine 493 (S-Y-Yp-T-A).
  • Applikationshinweise

    Suitable for use in Immunohistochemistry (1: 50-1: 100).
    Other applications not tested.
    Optimal dilutions are dependent on conditions and should be determined by the user.

    Beschränkungen

    Nur für Forschungszwecke einsetzbar
  • Konzentration

    1.0 mg/mL

    Buffer

    PBS (without Mg2+ and Ca2+), pH 7.4, 150 mM NaCl, 0.02 % Sodium Azide and 50 % Glycerol.

    Konservierungsmittel

    Sodium azide

    Vorsichtsmaßnahmen

    This product contains sodium azide: a POISONOUS AND HAZARDOUS SUBSTANCE which should be handled by trained staff only.

    Handhabung

    Avoid repeated freezing and thawing.

    Lagerung

    -20 °C

    Informationen zur Lagerung

    Store the antibody (in aliquots) at -20 °C.
  • Target

    ZAP70 (zeta-Chain (TCR) Associated Protein Kinase 70kDa (ZAP70))

    Andere Bezeichnung

    ZAP70

    Hintergrund

    Synonyms: 70 kDa zeta-associated protein, SRK, Syk-related tyrosine kinase, ZAP 70, ZAP-70

    Gen-ID

    7535

    NCBI Accession

    NP_001070

    UniProt

    P43403

    Pathways

    T-Zell Rezeptor Signalweg, Ubiquitin Proteasome Pathway
Sie sind hier:
Chat with us!