Telefon:
+49 (0)241 95 163 153
Fax:
+49 (0)241 95 163 155
E-Mail:
orders@antikoerper-online.de

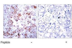
ATF2 Antikörper (Ser44, Ser62)

Der Kaninchen Polyklonal anti-ATF2 Antikörper wird verwendet zum Nachweis von ATF2 in Proben von Human und Maus. Er wurde validiert für WB, IF und IHC (p).
Produktnummer ABIN197144
606,15 €
Zzgl. Versandkosten 20,00 € und MwSt
Lieferung nach: Deutschland
Lieferung in 16 Werktagen

Kurzübersicht für ATF2 Antikörper (Ser44, Ser62) (ABIN197144)

Target

Alle ATF2 Antikörper anzeigen
ATF2 (Activating Transcription Factor 2 (ATF2))

Reaktivität

  • 336
  • 239
  • 207
  • 17
  • 12
  • 11
  • 8
  • 7
  • 7
  • 5
  • 5
  • 3
  • 2
  • 2
  • 1
  • 1
Human, Maus

Wirt

  • 365
  • 14
  • 2
  • 1
Kaninchen

Klonalität

  • 325
  • 57
Polyklonal

Konjugat

  • 169
  • 21
  • 11
  • 11
  • 10
  • 10
  • 10
  • 10
  • 10
  • 10
  • 9
  • 9
  • 9
  • 9
  • 9
  • 9
  • 9
  • 9
  • 9
  • 9
  • 9
  • 3
  • 3
  • 3
  • 2
Dieser ATF2 Antikörper ist unkonjugiert

Applikation

  • 284
  • 130
  • 119
  • 118
  • 107
  • 86
  • 69
  • 61
  • 41
  • 29
  • 20
  • 10
  • 6
  • 2
  • 2
  • 1
Western Blotting (WB), Immunofluorescence (IF), Immunohistochemistry (Paraffin-embedded Sections) (IHC (p))
  • Bindungsspezifität

    • 54
    • 45
    • 26
    • 25
    • 25
    • 24
    • 24
    • 23
    • 15
    • 15
    • 15
    • 15
    • 13
    • 11
    • 9
    • 6
    • 5
    • 4
    • 3
    • 3
    • 3
    • 3
    • 3
    • 3
    • 2
    • 2
    • 2
    • 2
    • 2
    • 2
    • 2
    • 2
    • 2
    • 2
    • 2
    • 1
    • 1
    • 1
    • 1
    • 1
    • 1
    • 1
    • 1
    • 1
    • 1
    • 1
    • 1
    • 1
    • 1
    • 1
    Ser44, Ser62

    Spezifität

    ATF-2 antibody detects endogenous levels of total ATF-2 protein.

    Aufreinigung

    Affinity chromatography

    Immunogen

    Synthetic non-phosphopeptide derived from human ATF-2 around the phosphorylation site of serine 62 or 44 (N-D-SP-V-I).
  • Applikationshinweise

    Western Blot: 1: 500approx. 1: 1000. Immunohistochemistry: 1: 50approx. 1: 100.
    Other applications not tested.
    Optimal dilutions are dependent on conditions and should be determined by the user.

    Beschränkungen

    Nur für Forschungszwecke einsetzbar
  • Konzentration

    1.0 mg/mL

    Buffer

    PBS(without Mg2+ and Ca2+), pH 7.4 containing 150 mM NaCl, 0.02 % sodium azide and 50 % glycerol

    Konservierungsmittel

    Sodium azide

    Vorsichtsmaßnahmen

    This product contains sodium azide: a POISONOUS AND HAZARDOUS SUBSTANCE which should be handled by trained staff only.

    Handhabung

    Avoid repeated freezing and thawing.

    Lagerung

    -20 °C
  • Target

    ATF2 (Activating Transcription Factor 2 (ATF2))

    Andere Bezeichnung

    ATF2

    Hintergrund

    ATF2 (Activating Transcription Factor 2, CREBP, HB16, CREB2, TREB7) is a member of the ATF/CREB family of basic region leucine zipper DNA binding proteins that regulates transcription by binding to a consensus cAMP response element (CRE) in the promoter of various viral and cellular genes. Many of these genes are important in cell growth and differentiation, and in stress and immune responses. ATF2 is a nuclear protein that binds DNA as a dimer and can form dimers with members of the ATF/CREB and Jun/Fos families. It is a stronger activator as a heterodimer with cJun than as a homodimer. Several isoforms of ATF2 arise by differential splicing. The stable native full length ATF2 is transcriptionally inactive as a result of an inhibitory direct intramolecular interaction of its carboxy terminal DNA binding domain with the amino terminal transactivation domain. Following dimerization ATF2 becomes a short lived protein that undergoes ubiquitination and proteolysis, seemingly in a protein phosphatase-dependent mechanism. Stimulation of the transcriptional activity of ATF2 occurs following cellular stress induced by several genotoxic agents, inflammatory cytokines, and UV irradiation. This activation requires phosphorylation of two threonine residues in ATF2 by both JNK/SAP kinase and p38 MAP kinase. ATF2 is abundantly expressed in brain.Synonyms: ATF-2, Activating transcription factor 2, CRE-BP1, CREB-2, CREB2, CREBP1, Cyclic AMP-dependent transcription factor ATF-2, Cyclic AMP-responsive element-binding protein 2, HB16, cAMP response element-binding protein CRE-BP1, cAMP-dependent transcription factor ATF-2

    Gen-ID

    1386

    NCBI Accession

    NP_001871

    UniProt

    P15336

    Pathways

    MAPK Signalweg, RTK Signalweg, Thyroid Hormone Synthesis, Activation of Innate immune Response, Chromatin Binding, Myometrial Relaxation and Contraction, Synaptic Membrane, Tube Formation, Toll-Like Receptors Cascades
Sie sind hier:
Chat with us!