Telefon:
+49 (0)241 95 163 153
Fax:
+49 (0)241 95 163 155
E-Mail:
orders@antikoerper-online.de

GSK3 alpha Antikörper (pSer21)

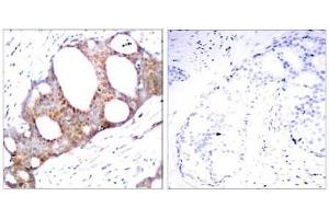
Der Kaninchen Polyklonal anti-GSK3 alpha Antikörper (ABIN196620) detektiert spezifisch GSK3 alpha in WB, IF und IHC (p). Dieser Antikörper reagiert spezifisch mit Proben aus Human und Maus.
Produktnummer ABIN196620
606,15 €
Zzgl. Versandkosten 20,00 € und MwSt
Lieferung nach: Deutschland
Lieferung in 16 Werktagen

Kurzübersicht für GSK3 alpha Antikörper (pSer21) (ABIN196620)

Target

Alle GSK3 alpha (GSK3a) Antikörper anzeigen
GSK3 alpha (GSK3a) (Glycogen Synthase Kinase 3 alpha (GSK3a))

Reaktivität

  • 105
  • 83
  • 70
  • 5
  • 5
  • 3
  • 3
  • 2
  • 2
  • 1
Human, Maus

Wirt

  • 121
  • 18
  • 1
Kaninchen

Klonalität

  • 105
  • 37
Polyklonal

Konjugat

  • 86
  • 9
  • 7
  • 6
  • 4
  • 3
  • 2
  • 2
  • 2
  • 2
  • 2
  • 2
  • 2
  • 1
  • 1
  • 1
  • 1
  • 1
  • 1
  • 1
  • 1
  • 1
  • 1
  • 1
  • 1
  • 1
Dieser GSK3 alpha Antikörper ist unkonjugiert

Applikation

  • 120
  • 69
  • 60
  • 28
  • 27
  • 21
  • 17
  • 13
  • 13
  • 3
  • 3
  • 2
  • 2
  • 1
  • 1
Western Blotting (WB), Immunofluorescence (IF), Immunohistochemistry (Paraffin-embedded Sections) (IHC (p))
  • Bindungsspezifität

    • 32
    • 11
    • 11
    • 10
    • 10
    • 6
    • 6
    • 5
    • 4
    • 3
    • 2
    • 2
    • 2
    • 2
    • 2
    • 2
    • 2
    • 2
    • 1
    • 1
    • 1
    • 1
    • 1
    • 1
    • 1
    • 1
    • 1
    • 1
    • 1
    • 1
    • 1
    • 1
    • 1
    pSer21

    Spezifität

    GSK3alpha (phospho-Ser21) antibody detects endogenous levels of GSK3alpha only when phosphorylated at serine 21.

    Aufreinigung

    Immunoaffinity chromatography

    Immunogen

    The antiserum was produced against synthesized phosphopeptide derived from human GSK3alpha around the phosphorylation site of serine 21 (T-S-SP-F-A).
  • Applikationshinweise

    Suitable for use in Western blot (1: 500approx. 1: 1000) and Immunohistochemistry (1: 50approx. 1: 100).
    Other applications not tested.
    Optimal dilutions are dependent on conditions and should be determined by the user.

    Beschränkungen

    Nur für Forschungszwecke einsetzbar
  • Konzentration

    1.0 mg/mL

    Buffer

    Phosphate buffered saline (without Mg2+ and Ca2+), pH 7.4, 150 mM NaCl containing 0.02 % Sodium Azide as preservative and 50 % glycerol as stabilizer

    Konservierungsmittel

    Sodium azide

    Vorsichtsmaßnahmen

    This product contains sodium azide: a POISONOUS AND HAZARDOUS SUBSTANCE which should be handled by trained staff only.

    Handhabung

    Avoid repeated freezing and thawing.

    Lagerung

    -20 °C

    Informationen zur Lagerung

    Store the antibody (in aliquots) at -20 °C.
  • Target

    GSK3 alpha (GSK3a) (Glycogen Synthase Kinase 3 alpha (GSK3a))

    Andere Bezeichnung

    GSK3 alpha

    Hintergrund

    Glycogen synthase kinase 3 alpha belongs to the Ser/Thr family of protein kinases, Cdc2/cdkx subfamily, GSK3 subsubfamily. It is implicated in the hormonal control of several regulatory proteins including glycogen synthase, myb, and the transcription factor c jun. GSK3 phosphorylates glycogen synthase and thereby inactivates it. Insulin stimulates the dephosphorylation of glycogen synthase at the sites phosphorylated by GSK3 and subsequently inhibits GSK3 acutely leading to the stimulation of glycogen synthesis. GSK3 signaling is performed by two isoforms, GSK3 alpha and GSK3 beta. The two isoforms share 97 % sequence similarity within their catalytic domains. GSK3 has also been shown to play a role in protein synthesis, cell adhesion, cell proliferation, cell differentiation, microtubule dynamics and cell motility.Synonyms: Factor A, GSK-3 alpha, GSK3A, Glycogen synthase kinase-3 alpha

    Gen-ID

    2931

    NCBI Accession

    NP_063937

    UniProt

    P49840

    Pathways

    PI3K-Akt Signalweg, WNT Signalweg, Fc-epsilon Rezeptor Signalübertragung, EGFR Signaling Pathway, Neurotrophin Signalübertragung, cAMP Metabolic Process, Cellular Glucan Metabolic Process, Regulation of Muscle Cell Differentiation, Regulation of G-Protein Coupled Receptor Protein Signaling, ER-Nucleus Signaling, Regulation of Carbohydrate Metabolic Process, BCR Signaling, Warburg Effekt
Sie sind hier:
Chat with us!