Telefon:
+49 (0)241 95 163 153
Fax:
+49 (0)241 95 163 155
E-Mail:
orders@antikoerper-online.de

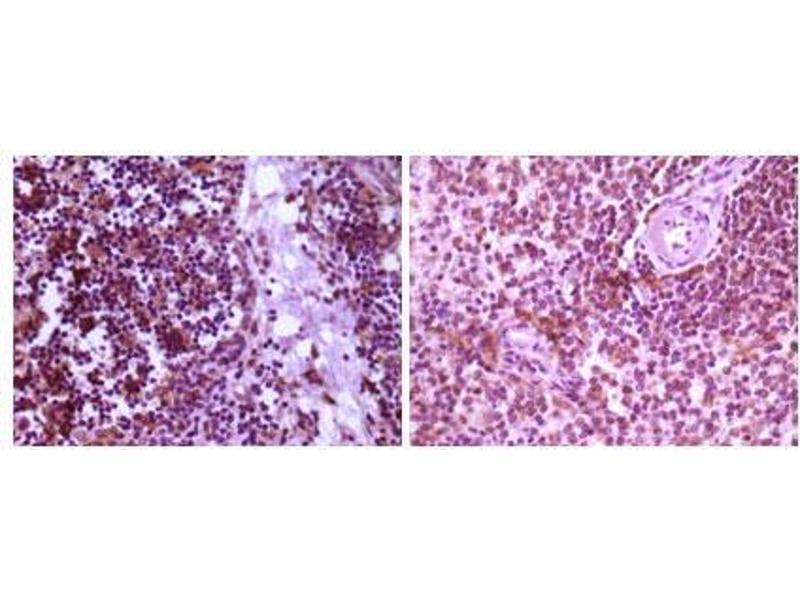
MAP2K4 Antikörper

Zitiert in 2+ Publikationen. Der Maus Monoklonal anti-MAP2K4 Antikörper (Klon 2D10D8) (ABIN1724655) detektiert spezifisch MAP2K4 in IHC und ELISA. Dieser Antikörper reagiert spezifisch mit Proben aus Human.
Produktnummer ABIN1724655
396,97 €
Zzgl. Versandkosten 20,00 € und MwSt
100 μL
Lieferung nach: Deutschland
Lieferung in 7 bis 10 Werktagen

Kurzübersicht für MAP2K4 Antikörper (ABIN1724655)

Target

Alle MAP2K4 Antikörper anzeigen
MAP2K4 (Mitogen-Activated Protein Kinase Kinase 4 (MAP2K4))

Reaktivität

  • 153
  • 71
  • 51
  • 8
  • 7
  • 3
  • 3
  • 2
  • 2
  • 2
  • 1
  • 1
  • 1
Human

Wirt

  • 148
  • 11
Maus

Klonalität

  • 148
  • 12
Monoklonal

Konjugat

  • 88
  • 13
  • 9
  • 7
  • 4
  • 4
  • 4
  • 4
  • 4
  • 4
  • 4
  • 4
  • 1
  • 1
  • 1
  • 1
  • 1
  • 1
  • 1
  • 1
  • 1
  • 1
  • 1
Dieser MAP2K4 Antikörper ist unkonjugiert

Applikation

  • 89
  • 63
  • 61
  • 25
  • 20
  • 15
  • 15
  • 12
  • 6
  • 6
  • 4
  • 4
  • 2
  • 2
Immunohistochemistry (IHC), ELISA

Klon

2D10D8
  • Verwendungszweck

    MAP2K4 Antibody

    Aufreinigung

    Ascitic fluid

    Immunogen

    Purified recombinant fragment of MAP2K4 expressed in E. Coli.

    Isotyp

    IgM
  • Applikationshinweise

    ELISA: 1/10000

    Beschränkungen

    Nur für Forschungszwecke einsetzbar
  • Format

    Liquid

    Buffer

    Ascitic fluid containing 0.03 % sodium azide.

    Konservierungsmittel

    Sodium azide

    Vorsichtsmaßnahmen

    This product contains Sodium azide: a POISONOUS AND HAZARDOUS SUBSTANCE which should be handled by trained staff only.

    Lagerung

    4 °C,-20 °C

    Informationen zur Lagerung

    Store at 4°C short term. Aliquot and store at -20°C long term. Avoid freeze/thaw cycles.
  • Kim, Vander Griend, Yang, Benson, Dubauskas, Yoshida, Chekmareva, Ichikawa, Sokoloff, Zhan, Karrison, Lin, Stadler, Ichikawa, Rubin, Rinker-Schaeffer: "Mitogen-activated protein kinase kinase 4 metastasis suppressor gene expression is inversely related to histological pattern in advancing human prostatic cancers." in: Cancer research, Vol. 61, Issue 7, pp. 2833-7, (2001) (PubMed).

    Cuenda: "Mitogen-activated protein kinase kinase 4 (MKK4)." in: The international journal of biochemistry & cell biology, Vol. 32, Issue 6, pp. 581-7, (2000) (PubMed).

  • Target

    MAP2K4 (Mitogen-Activated Protein Kinase Kinase 4 (MAP2K4))

    Andere Bezeichnung

    MAP2K4

    Hintergrund

    MAP2K4(mitogen-activated protein kinase kinase 4), which is located on chromosome 17p11.2, with 399-amino acid protein (about 45 kDa), belongs to the family of protein kinases located upstream of the MAP kinases and responsible for their activation has been identified. MEK-4 (also called MEK4/MKK4) activates both p38 and JNK MAP kinases.
    MKK4 is a central mediator in the stress activated protein kinase signaling pathway that responds to a number of cellular and environmental stressors. By phosphorylating MAP kinases such as JNK,MKK4 can ultimately transmit stress signals to nuclear transcription factors that mediate various processes including proliferation, apoptosis, and differentiation. Its distinct biological functions have been identified for MKK4 including a role in development, hepatogenesis, and metastasis suppression.

    Gen-ID

    6416

    UniProt

    P45985

    Pathways

    MAPK Signalweg, TLR Signalweg, Fc-epsilon Rezeptor Signalübertragung, Activation of Innate immune Response, Toll-Like Receptors Cascades, BCR Signaling
Sie sind hier:
Chat with us!