Telefon:
+49 (0)241 95 163 153
Fax:
+49 (0)241 95 163 155
E-Mail:
orders@antikoerper-online.de

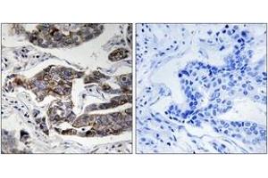
Girdin Antikörper (pSer1417)

Der Kaninchen Polyklonal anti-Girdin Antikörper wird verwendet zum Nachweis von Girdin in Proben von Human und Maus. Er wurde validiert für ELISA und IHC.
Produktnummer ABIN1532146
402,00 €
Zzgl. Versandkosten 20,00 € und MwSt
Lieferung nach: Deutschland
Lieferung in 6 bis 9 Werktagen

Kurzübersicht für Girdin Antikörper (pSer1417) (ABIN1532146)

Target

Alle Girdin (CCDC88A) Antikörper anzeigen
Girdin (CCDC88A) (Coiled-Coil Domain Containing 88A (CCDC88A))

Reaktivität

  • 58
  • 17
  • 6
  • 1
  • 1
  • 1
  • 1
  • 1
  • 1
Human, Maus

Wirt

  • 59
Kaninchen

Klonalität

  • 56
  • 3
Polyklonal

Konjugat

  • 23
  • 3
  • 2
  • 2
  • 2
  • 2
  • 2
  • 2
  • 2
  • 2
  • 2
  • 2
  • 2
  • 2
  • 2
  • 1
  • 1
  • 1
  • 1
  • 1
  • 1
  • 1
Dieser Girdin Antikörper ist unkonjugiert

Applikation

  • 37
  • 18
  • 15
  • 14
  • 14
  • 9
  • 8
  • 4
  • 3
  • 2
  • 2
  • 1
ELISA, Immunohistochemistry (IHC)
  • Bindungsspezifität

    • 27
    • 15
    • 3
    • 3
    • 2
    • 1
    • 1
    • 1
    • 1
    • 1
    • 1
    AA 1383-1432, pSer1417

    Spezifität

    Girdin (Phospho-Ser1417) Antibody detects endogenous levels of Girdin only when phosphorylated at Ser1417.

    PhosphorylationH:S1417 M:S1417

    Aufreinigung

    The antibody was purified from rabbit antiserum by affinity-chromatography using phospho peptide. The antibody against non-phospho peptide was removed by chromatography using corresponding non-phospho peptide.

    Reinheit

    > 95 %

    Immunogen

    The antiserum was produced against synthesized peptide derived from human Girdin around the phosphorylation site of Ser1417.

    Isotyp

    IgG
  • Applikationshinweise

    IHC: 1:50~1:100 ELISA: 1:1000

    Kommentare

    Unigene-Number: Hs.292925 (NCBI Gene Symbol: CCDC88A)

    Beschränkungen

    Nur für Forschungszwecke einsetzbar
  • Format

    Liquid

    Konzentration

    1 mg/mL

    Buffer

    phosphate buffered saline (without Mg2+ and Ca2+), pH 7.4, 150 mM NaCl, 0.02 % sodium azide and 50 % glycerol.

    Konservierungsmittel

    Sodium azide

    Vorsichtsmaßnahmen

    This product contains sodium azide: a POISONOUS AND HAZARDOUS SUBSTANCE which should be handled by trained staff only.

    Lagerung

    -20 °C

    Informationen zur Lagerung

    Stable at -20°C for at least 1 year.

    Haltbarkeit

    12 months
  • Target

    Girdin (CCDC88A) (Coiled-Coil Domain Containing 88A (CCDC88A))

    Andere Bezeichnung

    Girdin

    Hintergrund

    Synonyms: APE, GIV, GRDN, HkRP1, Hook-related protein 1, KIAA1212

    NCBI Gene Symbol: CCDC88A

    Molekulargewicht

    216 kDa

    Gen-ID

    55704

    OMIM

    609736

    UniProt

    Q3V6T2
Sie sind hier:
Chat with us!