Telefon:
+49 (0)241 95 163 153
Fax:
+49 (0)241 95 163 155
E-Mail:
orders@antikoerper-online.de

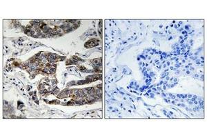
Girdin Antikörper (pSer1417)

Der Kaninchen Polyklonal anti-Girdin Antikörper (ABIN7138609) detektiert spezifisch Girdin in ELISA und IHC. Dieser Antikörper reagiert spezifisch mit Proben aus Human.
Produktnummer ABIN7138609
396,00 €
Zzgl. Versandkosten 20,00 € und MwSt
100 μL
Lieferung nach: Deutschland
Lieferung in 11 bis 15 Werktagen

Kurzübersicht für Girdin Antikörper (pSer1417) (ABIN7138609)

Target

Alle Girdin (CCDC88A) Antikörper anzeigen
Girdin (CCDC88A) (Coiled-Coil Domain Containing 88A (CCDC88A))

Reaktivität

  • 58
  • 18
  • 6
  • 1
  • 1
  • 1
  • 1
  • 1
  • 1
Human

Wirt

  • 59
Kaninchen

Klonalität

  • 56
  • 3
Polyklonal

Konjugat

  • 23
  • 3
  • 2
  • 2
  • 2
  • 2
  • 2
  • 2
  • 2
  • 2
  • 2
  • 2
  • 2
  • 2
  • 2
  • 1
  • 1
  • 1
  • 1
  • 1
  • 1
  • 1
Dieser Girdin Antikörper ist unkonjugiert

Applikation

  • 37
  • 18
  • 15
  • 14
  • 14
  • 11
  • 6
  • 4
  • 4
  • 3
  • 2
  • 1
ELISA, Immunohistochemistry (IHC)
  • Bindungsspezifität

    • 27
    • 15
    • 3
    • 3
    • 2
    • 1
    • 1
    • 1
    • 1
    • 1
    • 1
    • 1
    pSer1417

    Verwendungszweck

    Phospho-CCDC88A (Ser1417) Antibody

    Kreuzreaktivität

    Maus

    Aufreinigung

    Antibodies were produced by immunizing rabbits with synthetic phosphopeptide and KLH conjugates. Antibodies were purified by affinity-chromatography using epitope-specific phosphopeptide. Non-phospho specific antibodies were removed by chromatogramphy usi

    Immunogen

    Peptide sequence around phosphorylation site of Serine 417(L-E-M(p)-A-Q) derived from Human Girdin .

    Isotyp

    IgG
  • Applikationshinweise

    Optimal working dilution should be determined by the investigator.

    Beschränkungen

    Nur für Forschungszwecke einsetzbar
  • Format

    Liquid

    Buffer

    phosphate buffered saline (without Mg2+ and Ca2+), pH 7.4, 150 mM NaCl, 0.02 % sodium azide and 50 % glycerol.

    Konservierungsmittel

    Sodium azide

    Vorsichtsmaßnahmen

    This product contains Sodium azide: a POISONOUS AND HAZARDOUS SUBSTANCE which should be handled by trained staff only.

    Lagerung

    -20 °C,-80 °C

    Informationen zur Lagerung

    Upon receipt, store at -20°C or -80°C. Avoid repeated freeze.
  • Target

    Girdin (CCDC88A) (Coiled-Coil Domain Containing 88A (CCDC88A))

    Andere Bezeichnung

    CCDC88A

    Hintergrund

    Background:

    girdin IS a ubiquitously expressed actin binding protein that plays an important role in the formation of stress fibers and lamellipodia. Subsequent to phosphorylation by Akt, Girdin accumulates at the leading edge of migrating cells and appears to be crucial for the integrity of the actin cytoskeleton and for cell migration.

    Enomoto A., Dev. Cell 9:389-402(2005).
    Simpson F., Traffic 6:442-458(2005).
    Hillier L.W., Nature 434:724-731(2005).

    Aliases: AKT iphosphorylation enhancer antibody, Akt phosphorylation enhancer antibody, APE antibody, Ccdc88a antibody, Coiled coil domain containing 88A antibody, Coiled coil domain containing protein 88A antibody, Coiled-coil domain-containing protein 88A antibody, FLJ10392 antibody, G alpha interacting vesicle associated protein antibody, G alpha-interacting vesicle-associated protein antibody, Galpha interacting vesicle associated protein antibody, Girders of actin filament antibody, Girdin antibody, GIV antibody, GRDN antibody, GRDN_HUMAN antibody, HkRP1 antibody, Hook related protein 1 antibody, Hook-related protein 1 antibody, KIAA1212 antibody

    UniProt

    Q3V6T2
Sie sind hier:
Chat with us!