Telefon:
+49 (0)241 95 163 153
Fax:
+49 (0)241 95 163 155
E-Mail:
orders@antikoerper-online.de

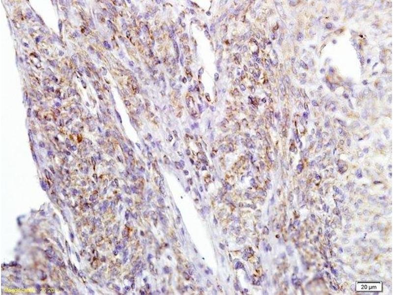
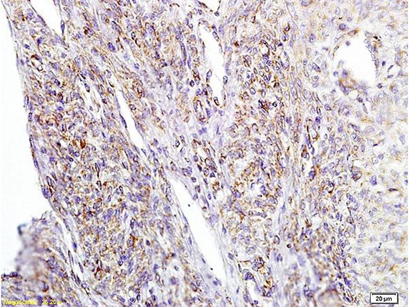
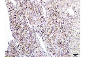
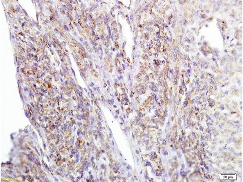
Girdin Antikörper (AA 1401-1500)

Dieser Kaninchen Polyklonal Antikörper detektiert spezifisch Girdin in ELISA, WB, IHC (p), IF (cc), IF (p), IHC (fro) und ICC. Es zeigt Reaktivität gegenüber Proben von Human.Es wurde in 1 Publikation zitiert.
Produktnummer ABIN755587
357,70 €
Zzgl. Versandkosten 20,00 € und MwSt
100 μL
Lieferung nach: Deutschland
Lieferung in 8 bis 12 Werktagen

Kurzübersicht für Girdin Antikörper (AA 1401-1500) (ABIN755587)

Target

Alle Girdin (CCDC88A) Antikörper anzeigen
Girdin (CCDC88A) (Coiled-Coil Domain Containing 88A (CCDC88A))

Reaktivität

  • 58
  • 18
  • 6
  • 1
  • 1
  • 1
  • 1
  • 1
  • 1
Human

Wirt

  • 59
Kaninchen

Klonalität

  • 56
  • 3
Polyklonal

Konjugat

  • 23
  • 3
  • 2
  • 2
  • 2
  • 2
  • 2
  • 2
  • 2
  • 2
  • 2
  • 2
  • 2
  • 2
  • 2
  • 1
  • 1
  • 1
  • 1
  • 1
  • 1
  • 1
Dieser Girdin Antikörper ist unkonjugiert

Applikation

  • 36
  • 18
  • 15
  • 13
  • 13
  • 12
  • 5
  • 4
  • 3
  • 3
  • 1
  • 1
ELISA, Western Blotting (WB), Immunohistochemistry (Paraffin-embedded Sections) (IHC (p)), Immunofluorescence (Cultured Cells) (IF (cc)), Immunofluorescence (Paraffin-embedded Sections) (IF (p)), Immunohistochemistry (Frozen Sections) (IHC (fro)), Immunocytochemistry (ICC)
  • Bindungsspezifität

    • 28
    • 14
    • 3
    • 3
    • 2
    • 1
    • 1
    • 1
    • 1
    • 1
    • 1
    • 1
    AA 1401-1500

    Kreuzreaktivität

    Human

    Homologie

    Mouse,Rat,Dog,Horse,Rabbit

    Aufreinigung

    Purified by Protein A.

    Immunogen

    KLH conjugated synthetic peptide derived from human APE/Girdin

    Isotyp

    IgG
  • Applikationshinweise

    WB 1:300-5000
    ELISA 1:500-1000
    IHC-P 1:200-400
    IHC-F 1:100-500
    IF(IHC-P) 1:50-200
    IF(IHC-F) 1:50-200
    IF(ICC) 1:50-200
    ICC 1:100-500

    Beschränkungen

    Nur für Forschungszwecke einsetzbar
  • Format

    Liquid

    Konzentration

    1 μg/μL

    Buffer

    0.01M TBS( pH 7.4) with 1 % BSA, 0.02 % Proclin300 and 50 % Glycerol.

    Konservierungsmittel

    ProClin

    Vorsichtsmaßnahmen

    This product contains ProClin: a POISONOUS AND HAZARDOUS SUBSTANCE, which should be handled by trained staff only.

    Lagerung

    4 °C,-20 °C

    Informationen zur Lagerung

    Shipped at 4°C. Store at -20°C for one year. Avoid repeated freeze/thaw cycles.

    Haltbarkeit

    12 months
  • Ni, Fang, Tong, Tong, Yi, Qiu, Wang, Tong: "Girdin regulates the migration and invasion of glioma cells via the PI3K?Akt signaling pathway." in: Molecular medicine reports, (2015) (PubMed).

  • Target

    Girdin (CCDC88A) (Coiled-Coil Domain Containing 88A (CCDC88A))

    Andere Bezeichnung

    Girdin

    Hintergrund

    Synonyms: APE, APX, APE1, APEN, APEX, HAP1, REF1, DNA-(apurinic or apyrimidinic site) lyase, APEX nuclease, Apurinic-apyrimidinic endonuclease 1, AP endonuclease 1, APE-1, REF-1, Redox factor-1, APEX1

    Background: Multifunctional protein that plays a central role in the cellular response to oxidative stress. The two major activities of APEX1 in DNA repair and redox regulation of transcriptional factors. Functions as a apurinic/apyrimidinic (AP) endodeoxyribonuclease in the DNA base excision repair (BER) pathway of DNA lesions induced by oxidative and alkylating agents. Initiates repair of AP sites in DNA by catalyzing hydrolytic incision of the phosphodiester backbone immediately adjacent to the damage, generating a single-strand break with 5'-deoxyribose phosphate and 3'-hydroxyl ends. Does also incise at AP sites in the DNA strand of DNA/RNA hybrids, single-stranded DNA regions of R-loop structures, and single-stranded RNA molecules. Has a 3'-5' exoribonuclease activity on mismatched deoxyribonucleotides at the 3' termini of nicked or gapped DNA molecules during short-patch BER. Possesses a DNA 3' phosphodiesterase activity capable of removing lesions (such as phosphoglycolate) blocking the 3' side of DNA strand breaks. May also play a role in the epigenetic regulation of gene expression by participating in DNA demethylation. Acts as a loading factor for POLB onto non-incised AP sites in DNA and stimulates the 5'-terminal deoxyribose 5'-phosphate (dRp) excision activity of POLB. Plays a role in the protection from granzymes-mediated cellular repair leading to cell death. Also involved in the DNA cleavage step of class switch recombination (CSR). On the other hand, APEX1 also exerts reversible nuclear redox activity to regulate DNA binding affinity and transcriptional activity of transcriptional factors by controlling the redox status of their DNA-binding domain, such as the FOS/JUN AP-1 complex after exposure to IR. Involved in calcium-dependent down-regulation of parathyroid hormone (PTH) expression by binding to negative calcium response elements (nCaREs).

    Gen-ID

    328

    UniProt

    P27695
Sie sind hier:
Chat with us!