Telefon:
+49 (0)241 95 163 153
Fax:
+49 (0)241 95 163 155
E-Mail:
orders@antikoerper-online.de

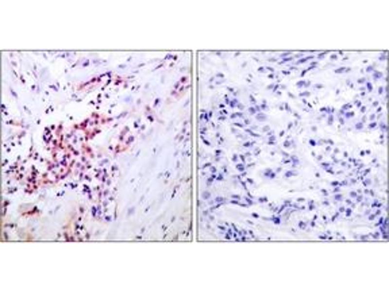
NF-kB p65 Antikörper (pSer468)

Dieser Kaninchen Polyklonal Antikörper detektiert spezifisch NF-kB p65 in WB, IHC, ELISA und IP. Es zeigt Reaktivität gegenüber Proben von Human, Maus und Ratte.
Produktnummer ABIN1531924
402,00 €
Zzgl. Versandkosten 20,00 € und MwSt
Lieferung nach: Deutschland
Lieferung in 6 bis 9 Werktagen

Kurzübersicht für NF-kB p65 Antikörper (pSer468) (ABIN1531924)

Target

Alle NF-kB p65 (NFkBP65) Antikörper anzeigen
NF-kB p65 (NFkBP65) (Nuclear Factor-kB p65 (NFkBP65))

Reaktivität

  • 522
  • 357
  • 278
  • 41
  • 35
  • 28
  • 23
  • 21
  • 19
  • 15
  • 14
  • 10
  • 5
  • 2
  • 1
  • 1
  • 1
  • 1
Human, Maus, Ratte

Wirt

  • 477
  • 54
  • 3
  • 2
  • 1
Kaninchen

Klonalität

  • 423
  • 114
Polyklonal

Konjugat

  • 279
  • 28
  • 18
  • 13
  • 13
  • 12
  • 12
  • 11
  • 11
  • 11
  • 11
  • 9
  • 9
  • 9
  • 9
  • 9
  • 9
  • 9
  • 9
  • 9
  • 9
  • 9
  • 6
  • 4
  • 4
  • 2
  • 2
  • 1
Dieser NF-kB p65 Antikörper ist unkonjugiert

Applikation

  • 424
  • 181
  • 157
  • 116
  • 106
  • 96
  • 92
  • 81
  • 81
  • 53
  • 22
  • 9
  • 7
  • 7
  • 6
  • 4
  • 4
  • 3
  • 3
  • 2
  • 2
  • 1
  • 1
  • 1
Western Blotting (WB), Immunohistochemistry (IHC), ELISA, Immunoprecipitation (IP)
  • Bindungsspezifität

    • 48
    • 31
    • 30
    • 29
    • 26
    • 23
    • 23
    • 20
    • 18
    • 16
    • 15
    • 10
    • 9
    • 9
    • 7
    • 7
    • 6
    • 6
    • 6
    • 5
    • 5
    • 5
    • 5
    • 4
    • 4
    • 4
    • 4
    • 4
    • 4
    • 3
    • 3
    • 3
    • 3
    • 3
    • 3
    • 2
    • 2
    • 2
    • 2
    • 2
    • 2
    • 2
    • 2
    • 2
    • 2
    • 2
    • 2
    • 2
    • 2
    • 2
    AA 435-484, pSer468

    Spezifität

    NF-kappaB p65 (Phospho-Ser468) Antibody detects endogenous levels of NF-kappaB p65 only when phosphorylated at Ser468.

    PhosphorylationH:S468 M:S467 R:S468

    Aufreinigung

    The antibody was purified from rabbit antiserum by affinity-chromatography using phospho peptide. The antibody against non-phospho peptide was removed by chromatography using corresponding non-phospho peptide.

    Reinheit

    > 95 %

    Immunogen

    The antiserum was produced against synthesized peptide derived from human NF-kappaB p65 around the phosphorylation site of Ser468.

    Isotyp

    IgG
  • Applikationshinweise

    WB: 1:500~1:1000 IHC: 1:50~1:100 ELISA: 1:20000

    Kommentare

    Unigene-Number: Hs.502875 (NCBI Gene Symbol: RELA)

    Beschränkungen

    Nur für Forschungszwecke einsetzbar
  • Format

    Liquid

    Konzentration

    1 mg/mL

    Buffer

    phosphate buffered saline (without Mg2+ and Ca2+), pH 7.4, 150 mM NaCl, 0.02 % sodium azide and 50 % glycerol.

    Konservierungsmittel

    Sodium azide

    Vorsichtsmaßnahmen

    This product contains sodium azide: a POISONOUS AND HAZARDOUS SUBSTANCE which should be handled by trained staff only.

    Lagerung

    -20 °C

    Informationen zur Lagerung

    Stable at -20°C for at least 1 year.

    Haltbarkeit

    12 months
  • Target

    NF-kB p65 (NFkBP65) (Nuclear Factor-kB p65 (NFkBP65))

    Andere Bezeichnung

    NF-KappaB p65

    Hintergrund

    Synonyms: NFKB3, nuclear factor NF-kappa-B p65 subunit, p65, RELA, TF65, transcription factor p65

    NCBI Gene Symbol: RELA

    Molekulargewicht

    60 kDa

    Gen-ID

    5970

    OMIM

    164014

    UniProt

    Q04206

    Pathways

    NF-kappaB Signalweg, RTK Signalweg, T-Zell Rezeptor Signalweg, TLR Signalweg, Fc-epsilon Rezeptor Signalübertragung, Neurotrophin Signalübertragung, Activation of Innate immune Response, Cellular Response to Molecule of Bacterial Origin, Hepatitis C, Toll-Like Receptors Cascades, S100 Proteine
Sie sind hier:
Chat with us!