Telefon:
+49 (0)241 95 163 153
Fax:
+49 (0)241 95 163 155
E-Mail:
orders@antikoerper-online.de

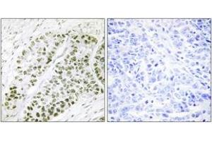
ATF2 Antikörper (pSer480)

Dieser Kaninchen Polyklonal Antikörper detektiert spezifisch ATF2 in WB, IHC, ELISA und IF. Es zeigt Reaktivität gegenüber Proben von Human und Ratte.
Produktnummer ABIN1531522
402,00 €
Zzgl. Versandkosten 20,00 € und MwSt
Lieferung nach: Deutschland
Lieferung in 6 bis 9 Werktagen

Kurzübersicht für ATF2 Antikörper (pSer480) (ABIN1531522)

Target

Alle ATF2 Antikörper anzeigen
ATF2 (Activating Transcription Factor 2 (ATF2))

Reaktivität

  • 336
  • 240
  • 206
  • 17
  • 12
  • 11
  • 8
  • 7
  • 7
  • 5
  • 5
  • 3
  • 2
  • 2
  • 1
  • 1
Human, Ratte

Wirt

  • 365
  • 14
  • 2
  • 1
Kaninchen

Klonalität

  • 325
  • 57
Polyklonal

Konjugat

  • 169
  • 21
  • 11
  • 11
  • 10
  • 10
  • 10
  • 10
  • 10
  • 10
  • 9
  • 9
  • 9
  • 9
  • 9
  • 9
  • 9
  • 9
  • 9
  • 9
  • 9
  • 3
  • 3
  • 3
  • 2
Dieser ATF2 Antikörper ist unkonjugiert

Applikation

  • 284
  • 129
  • 119
  • 118
  • 106
  • 86
  • 69
  • 62
  • 41
  • 29
  • 20
  • 10
  • 6
  • 2
  • 2
  • 1
Western Blotting (WB), Immunohistochemistry (IHC), ELISA, Immunofluorescence (IF)
  • Bindungsspezifität

    • 54
    • 45
    • 26
    • 25
    • 24
    • 24
    • 24
    • 23
    • 15
    • 15
    • 15
    • 15
    • 13
    • 11
    • 9
    • 6
    • 5
    • 4
    • 3
    • 3
    • 3
    • 3
    • 3
    • 3
    • 3
    • 2
    • 2
    • 2
    • 2
    • 2
    • 2
    • 2
    • 2
    • 2
    • 2
    • 1
    • 1
    • 1
    • 1
    • 1
    • 1
    • 1
    • 1
    • 1
    • 1
    • 1
    • 1
    • 1
    • 1
    • 1
    AA 456-505, pSer480

    Spezifität

    ATF2 (Phospho-Ser480) Antibody detects endogenous levels of ATF2 only when phosphorylated at Ser480.

    PhosphorylationH:S480 R:S480

    Aufreinigung

    The antibody was purified from rabbit antiserum by affinity-chromatography using phospho peptide. The antibody against non-phospho peptide was removed by chromatography using corresponding non-phospho peptide.

    Reinheit

    > 95 %

    Immunogen

    The antiserum was produced against synthesized peptide derived from human ATF2 around the phosphorylation site of Ser480.

    Isotyp

    IgG
  • Applikationshinweise

    WB: 1:500~1:1000 IHC: 1:50~1:100 IF: 1:100~1:500 ELISA: 1:40000

    Kommentare

    Unigene-Number: Hs.592510 (NCBI Gene Symbol: ATF2)

    Beschränkungen

    Nur für Forschungszwecke einsetzbar
  • Format

    Liquid

    Konzentration

    1 mg/mL

    Buffer

    phosphate buffered saline (without Mg2+ and Ca2+), pH 7.4, 150 mM NaCl, 0.02 % sodium azide and 50 % glycerol.

    Konservierungsmittel

    Sodium azide

    Vorsichtsmaßnahmen

    This product contains sodium azide: a POISONOUS AND HAZARDOUS SUBSTANCE which should be handled by trained staff only.

    Lagerung

    -20 °C

    Informationen zur Lagerung

    Stable at -20°C for at least 1 year.

    Haltbarkeit

    12 months
  • Target

    ATF2 (Activating Transcription Factor 2 (ATF2))

    Andere Bezeichnung

    ATF2

    Hintergrund

    Synonyms: Activating 2, ATF2, cAMP response element binding protein CRE- BP1, CREB2, CREBP1, Cyclic-AMP-dependent ATF-2, HB16, MXBP protein

    NCBI Gene Symbol: ATF2

    Molekulargewicht

    52 kDa

    Gen-ID

    1386

    OMIM

    123811

    UniProt

    P15336

    Pathways

    MAPK Signalweg, RTK Signalweg, Thyroid Hormone Synthesis, Activation of Innate immune Response, Chromatin Binding, Myometrial Relaxation and Contraction, Synaptic Membrane, Tube Formation, Toll-Like Receptors Cascades
Sie sind hier:
Chat with us!