TGFB1 Antikörper
Kurzübersicht für TGFB1 Antikörper (ABIN1491617)
Target
Alle TGFB1 Antikörper anzeigenReaktivität
Wirt
Klonalität
Konjugat
Applikation
Klon
-
-
Spezifität
- Human
-
Aufreinigung
- Purified
-
Immunogen
- Purified recombinant fragment of human TGFb1 (AA: 62-195) expressed in E. Coli.\ \
-
Isotyp
- IgG1
-
-
-
-
Applikationshinweise
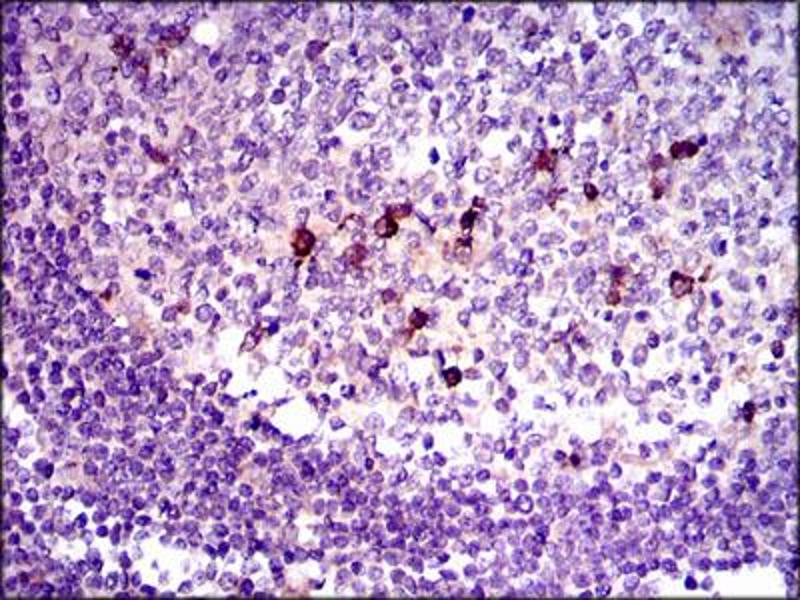
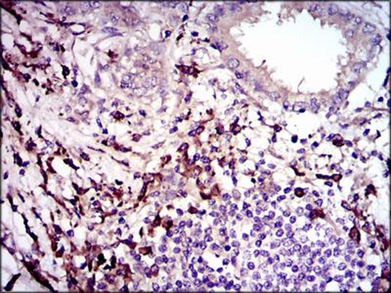
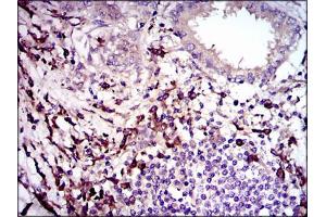
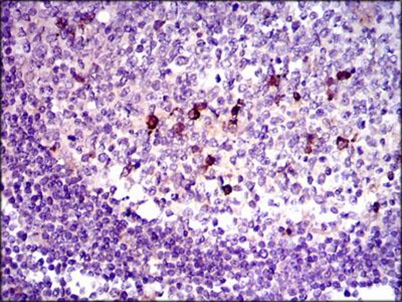
- Approved: ELISA (1:10000), Flo (1:200 - 1:400), IHC, IHC-P (1:200 - 1:1000)
-
Kommentare
-
Target Species of Antibody: Human
-
Beschränkungen
- Nur für Forschungszwecke einsetzbar
-
-
-
Format
- Liquid
-
Konzentration
- Lot specific
-
Buffer
- Purified antibody in PBS containing 0.05 % sodium azide
-
Konservierungsmittel
- Sodium azide
-
Vorsichtsmaßnahmen
- This product contains Sodium azide: a POISONOUS AND HAZARDOUS SUBSTANCE which should be handled by trained staff only.
-
Handhabung
- Avoid freeze-thaw cycles.
-
Lagerung
- 4 °C,-20 °C
-
Informationen zur Lagerung
-
Short term: 4°C
Long term: -20°C.
-
-
- TGFB1 (Transforming Growth Factor, beta 1 (TGFB1))
-
Andere Bezeichnung
- TGFB1 / TGF Beta 1
-
Hintergrund
-
Name/Gene ID: TGFB1
Family: TGF beta
Synonyms: TGFB1, CED, DPD1, Diaphyseal dysplasia 1, LAP, Latency-associated peptide, TGF Beta, TGFbeta, TGF-beta 1 protein, TGF-beta-1, TGFB -
Gen-ID
- 7040
-
UniProt
- P01137
-
Pathways
- EGFR Signaling Pathway, Dopaminergic Neurogenesis, Cellular Response to Molecule of Bacterial Origin, Glycosaminoglycan Metabolic Process, Regulation of Leukocyte Mediated Immunity, Regulation of Muscle Cell Differentiation, Positive Regulation of Immune Effector Process, Cell-Cell Junction Organization, Production of Molecular Mediator of Immune Response, Ribonucleoside Biosynthetic Process, Skeletal Muscle Fiber Development, Regulation of Carbohydrate Metabolic Process, Protein targeting to Nucleus, Autophagie, Cancer Immune Checkpoints
Target
-