Telefon:
+49 (0)241 95 163 153
Fax:
+49 (0)241 95 163 155
E-Mail:
orders@antikoerper-online.de

GLI1 Antikörper

(Zinc Finger Protein GLI1 (GLI1))

Wählen Sie einen von 82 GLI1-Antikörpern aus unserem Produktangebot basierend auf 36 Publikationen und 54 Validierungsbilder.

Entdecken Sie zuverlässige GLI1-Antikörper von einer großen Zahl namhafter Hersteller. Unser Portfolio ermöglicht eine präzise GLI1-Detektion in verschiedenen Spezies, darunter Human, Mouse, Rat, Pig, Dog, Guinea Pig, Horse, Rabbit, Cow, Monkey, Bat, und unterstützt vielfältige Forschungsanwendungen wie WB, ELISA, FACS, IHC, IF (cc).

Finden Sie schnell den passenden Antikörper mit unseren Such-, Filter- und Vergleichsfunktionen. Auf jeder Produktseite stehen Ihnen detaillierte Validierungsdaten, Literaturreferenzen und Kundenbewertungen zur Verfügung. Im Gegensatz zu reinen Vergleichsportalen können Sie Ihre Antikörper direkt über unsere Plattform erwerben. Wählen Sie aus polyklonalen, monoklonalen oder rekombinanten GLI1-Antikörpern aus verschiedenen Wirtsarten wie Rabbit, Mouse, Goat. Durchstöbern Sie unten unsere Auswahl an GLI1-Antikörpern und bestellen Sie direkt, um Ihre Forschung effizient voranzubringen.

Alternative Bezeichnungen für GLI1 sind GLI1, Gli1, gli1.S, gli1.

82 Treffer

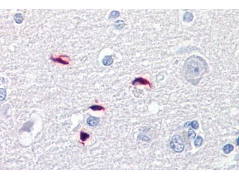
GLI1 Reaktivität: Human, Maus, Ratte, Schwein WB, ELISA, FACS, IF (cc), IHC (p), ICC, IF (p), IHC (fro) Wirt: Kaninchen Polyclonal unconjugated
Pubmed 8 Referenzen
Produktnummer ABIN673374
357,70 €
Zzgl. Versandkosten 20,00 € und MwSt
100 μL
Lieferung nach: Deutschland
Lieferung in 8 bis 12 Werktagen
 
GLI1 Reaktivität: Human ELISA, IHC, FACS, ICC Wirt: Maus Monoclonal 1B9F8 unconjugated
Produktnummer ABIN5542320
657,84 €
Zzgl. Versandkosten 20,00 € und MwSt
100 μL
Lieferung nach: Deutschland
Lieferung in 7 bis 10 Werktagen
 
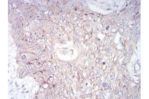
Rockland 100-401-223 GLI1 Reaktivität: Maus WB, ELISA, IHC, IF, FM Wirt: Kaninchen Polyclonal unconjugated
Pubmed 12 Referenzen
Produktnummer ABIN6657594
624,85 €
Zzgl. Versandkosten 20,00 €, Trockeneispauschale 20,00 € sowie MwSt
100 μL
Lieferung nach: Deutschland
Lieferung in 5 bis 8 Werktagen
Rockland Original
GLI1 Reaktivität: Human, Maus, Ratte, Hund, Meerschweinchen, Pferd, Kaninchen, Rind (Kuh) WB Wirt: Kaninchen Polyclonal unconjugated
Pubmed 8 Referenzen
Produktnummer ABIN2779593
470,22 €
Zzgl. Versandkosten 20,00 € und MwSt
100 μL (Weitere Mengeneinheiten)
Lieferung nach: Deutschland
Lieferung in 6 bis 9 Werktagen
 
GLI1 Reaktivität: Human WB, ELISA, IF Wirt: Maus Monoclonal 1G11 unconjugated
Produktnummer ABIN1326972
651,20 €
Zzgl. Versandkosten 20,00 € und MwSt
100 μg
Lieferung nach: Deutschland
Lieferung in 8 bis 9 Werktagen
 
GLI1 Reaktivität: Human WB, IHC Wirt: Kaninchen Polyclonal unconjugated
Produktnummer ABIN7271533
320,00 €
Zzgl. Versandkosten 20,00 € und MwSt
100 μL (Weitere Mengeneinheiten)
Lieferung nach: Deutschland
Lieferung in 7 bis 9 Werktagen
 
GLI1 Reaktivität: Human, Maus, Ratte WB, ELISA, IHC, IF, ICC Wirt: Kaninchen Polyclonal unconjugated
Produktnummer ABIN6261968
525,71 €
Zzgl. Versandkosten 20,00 € und MwSt
100 μL (Weitere Mengeneinheiten)
Lieferung nach: Deutschland
Lieferung in 9 bis 11 Werktagen
 
GLI1 Reaktivität: Human WB, FACS, ICC Wirt: Kaninchen Monoclonal 23GB5550 unconjugated Recombinant Antibody
Produktnummer ABIN7800900
394,31 €
Zzgl. Versandkosten 20,00 € und MwSt
100 μL
Lieferung nach: Deutschland
Lieferung in 7 bis 10 Werktagen
 
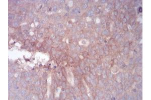
Rockland 100-401-223s GLI1 Reaktivität: Maus WB, ELISA, IF, FM Wirt: Kaninchen Polyclonal unconjugated
Pubmed 8 Referenzen
Produktnummer ABIN6657595
153,45 €
Zzgl. Versandkosten 20,00 €, Trockeneispauschale 20,00 € sowie MwSt
25 μL
Lieferung nach: Deutschland
Lieferung in 5 bis 8 Werktagen
Rockland Original
GLI1 Reaktivität: Human ELISA, IHC, IF Wirt: Kaninchen Polyclonal unconjugated
Produktnummer ABIN7176574
328,90 €
Zzgl. Versandkosten 20,00 € und MwSt
100 μg (Weitere Mengeneinheiten)
Lieferung nach: Deutschland
Lieferung in 11 bis 15 Werktagen
 
GLI1 Reaktivität: Human WB Wirt: Kaninchen Polyclonal unconjugated
Produktnummer ABIN6971684
646,92 €
Zzgl. Versandkosten 20,00 € und MwSt
100 μL
Lieferung nach: Deutschland
Lieferung in 2 bis 4 Werktagen
 
GLI1 Reaktivität: Maus WB Wirt: Kaninchen Polyclonal RB54395 unconjugated
Produktnummer ABIN6242361
434,77 €
Zzgl. Versandkosten 20,00 € und MwSt
200 μL (Weitere Mengeneinheiten)
Lieferung nach: Deutschland
Lieferung in 14 bis 17 Werktagen
 
GLI1 Reaktivität: Human, Maus WB, ELISA Wirt: Kaninchen Polyclonal unconjugated
Produktnummer ABIN7228664
623,62 €
Zzgl. Versandkosten 20,00 € und MwSt
100 μL (Weitere Mengeneinheiten)
Lieferung nach: Deutschland
Lieferung in 10 bis 14 Werktagen
 
GLI1 Reaktivität: Human WB, ELISA Wirt: Maus Monoclonal 2C9 unconjugated
Produktnummer ABIN1326973
651,20 €
Zzgl. Versandkosten 20,00 € und MwSt
100 μg
Lieferung nach: Deutschland
Lieferung in 8 bis 9 Werktagen
 
GLI1 Reaktivität: Human, Affe WB, IHC, IHC (p) Wirt: Kaninchen Polyclonal unconjugated
Produktnummer ABIN960860
512,07 €
Zzgl. Versandkosten 20,00 € und MwSt
50 μg
Lieferung nach: Deutschland
Lieferung in 15 bis 20 Werktagen
 
GLI1 Reaktivität: Human, Meerschweinchen, Pferd, Kaninchen, Affe, Fledermaus WB Wirt: Kaninchen Polyclonal unconjugated
Produktnummer ABIN202973
741,67 €
Zzgl. Versandkosten 20,00 € und MwSt
100 μL
Lieferung nach: Deutschland
Lieferung in 15 bis 20 Werktagen
 
GLI1 Reaktivität: Human, Schwein, Hund, Meerschweinchen, Pferd, Kaninchen, Rind (Kuh), Affe, Fledermaus WB Wirt: Kaninchen Polyclonal unconjugated
Produktnummer ABIN202974
741,67 €
Zzgl. Versandkosten 20,00 € und MwSt
100 μL
Lieferung nach: Deutschland
Lieferung in 15 bis 20 Werktagen
 
GLI1 Reaktivität: Ratte WB, IHC, IP, ICC Wirt: Kaninchen Polyclonal unconjugated
Produktnummer ABIN5013609
266,00 €
Zzgl. Versandkosten 20,00 € und MwSt
100 μL
Lieferung nach: Deutschland
Lieferung in 13 bis 17 Werktagen
 
GLI1 Reaktivität: Human, Hund, Meerschweinchen, Pferd, Kaninchen, Rind (Kuh) WB Wirt: Kaninchen Polyclonal unconjugated
Produktnummer ABIN2792532
470,22 €
Zzgl. Versandkosten 20,00 € und MwSt
100 μL (Weitere Mengeneinheiten)
Lieferung nach: Deutschland
Lieferung in 6 bis 9 Werktagen
 
GLI1 Reaktivität: Human, Maus, Ratte WB, IHC, IF (cc), IHC (p) Wirt: Kaninchen Monoclonal 5C3 unconjugated
Produktnummer ABIN6943535
456,42 €
Zzgl. Versandkosten 20,00 € und MwSt
100 μL
Lieferung nach: Deutschland
Lieferung in 12 bis 17 Werktagen
 
  • Typ Primary
    • Primary
  • Anwendung
    • Western Blotting (WB)
    • ELISA
    • Flow Cytometry (FACS)
    • Immunohistochemistry (IHC)
    • Immunofluorescence (Cultured Cells) (IF (cc))
    • Immunofluorescence (Paraffin-embedded Sections) (IF (p))
    • Immunofluorescence (IF)
    • Immunocytochemistry (ICC)
    • Immunohistochemistry (Paraffin-embedded Sections) (IHC (p))
    • Immunoprecipitation (IP)
    • Immunohistochemistry (Frozen Sections) (IHC (fro))
    • Fluorescence Microscopy (FM)
    • ChIP DNA-Sequencing (ChIP-seq)
    • Chromatin Immunoprecipitation (ChIP)
    • Immunochromatography (IC)
    • Proximity Ligation Assay (PLA)
  • Reaktivität
    • Human
    • Mouse
    • Rat
    • Pig
    • Dog
    • Guinea Pig
    • Horse
    • Rabbit
    • Cow
    • Monkey
    • Bat
  • In Publikationen zitiert
  • Abbildungen verfügbar
  • Carrier free only
  • Wirt
    • Rabbit
    • Mouse
    • Goat
    • Sheep
  • Klonalität
    • Polyclonal
    • Monoclonal
  • Klon
    • BLR256L
    • 1B4
    • 1B5
    • 1B9F8
    • 1F12
    • 1G11
    • 1H5
    • 23GB5550
    • 2B9
    • 2C7
    • 2C9
    • 2D5
    • 2E5
    • 5C3
    • 9A1
    • RB54395
  • Bindungsspezifität
    • AA 601-700
    • C-Term
    • AA 921-1106
    • AA 1-410
    • AA 755-1106
    • AA 401-500
    • N-Term
    • AA 1-237
    • AA 805-820
    • AA 881-1000
    • AA 940-990
    • AA 1-234
    • AA 1007-1056
    • AA 196-230
    • AA 2-234
    • AA 200-300
    • AA 284-449
    • AA 460-490
    • AA 768-1106
    • AA 800-1057
    • AA 810-1109
    • Gly420
    • Internal Region
    • acLys642
  • Konjugat
    • Unkonjugiert
    • Biotin
    • FITC
    • Alexa Fluor 488
    • Alexa Fluor 555
    • Alexa Fluor 594
    • Alexa Fluor 647
    • Alexa Fluor 680
    • Alexa Fluor 750
    • HRP
    • AbBy Fluor® 350
    • AbBy Fluor® 488
    • AbBy Fluor® 555
    • AbBy Fluor® 594
    • AbBy Fluor® 647
    • AbBy Fluor® 680
    • AbBy Fluor® 750
    • Cy3
    • Cy5
    • Cy5.5
    • Cy7
    • PE
  • Isotyp
    • IgG
    • IgG1
    • IgG2a
    • IgG2b
    • Ig Fraction
  • Protein-Typ
    • Recombinant Antibody
  • Format
    • Liquid
    • Lyophilized
  • Grade
    • Cell Culture Grade
    • Verified
  • Hersteller
    • antibodies-online
    • Signalway
    • Aviva Systems Biology
    • Rockland
    • USBio
    • Abeomics
    • Abiocode
    • Angio-Proteomie
    • Boster Bio
    • CUSABIO
    • Cloud-Clone
    • ProSci
    • ProteoGenix

Aktuelle Publikationen für unsere GLI1 Antikörper

Mazzone, Gibbons, Eisenman, Strege, Zheng, DAmato, Ordog, Fernandez-Zapico, Farrugia: "Direct repression of anoctamin 1 (ANO1) gene transcription by Gli proteins." in: FASEB journal : official publication of the Federation of American Societies for Experimental Biology, Vol. 33, Issue 5, pp. 6632-6642, (2019) (PubMed).

Chiang, Tan, Kuonen, Hodgkinson, Chiang, Cho, South, Tang, Chang, Rieger, Oro, Sarin: "Genetic mutations underlying phenotypic plasticity in basosquamous carcinoma." in: The Journal of investigative dermatology, (2019) (PubMed).

Petty, Li, Wang, Dai, Heyman, Hsu, Huang, Yang: "Hedgehog signaling promotes tumor-associated macrophage polarization to suppress intratumoral CD8+ T cell recruitment." in: The Journal of clinical investigation, Vol. 129, Issue 12, pp. 5151-5162, (2019) (PubMed).

Yao, Yu, He, Liu, Li, Liu, Long, Wu: "Primary impact of Gli1 on radioresistance in esophageal cancer." in: Oncology letters, Vol. 18, Issue 5, pp. 4825-4833, (2019) (PubMed).

Tanno, Leonardi, Babini, Giardullo, De Stefano, Pasquali, Saran, Mancuso: "Nanog-driven cell-reprogramming and self-renewal maintenance in Ptch1+/-granule cell precursors after radiation injury." in: Scientific reports, Vol. 7, Issue 1, pp. 14238, (2018) (PubMed).

Wang, Chen, Qian, Cui, Gao, Lou: "Hedgehog/Gli1 signaling pathway regulates MGMT expression and chemoresistance to temozolomide in human glioblastoma." in: Cancer cell international, Vol. 17, pp. 117, (2018) (PubMed).

Jin, Zhu, Cheng, Zhang: "Disulfiram/copper targets stem cell-like ALDH+ population of multiple myeloma by inhibition of ALDH1A1 and Hedgehog pathway." in: Journal of cellular biochemistry, Vol. 119, Issue 8, pp. 6882-6893, (2018) (PubMed).

Gao, Li, Li: "Exendin-4 promotes the osteogenic differentiation of osteoblasts via the Hedgehog/Gli1 signaling pathway." in: American journal of translational research, Vol. 10, Issue 1, pp. 315-324, (2018) (PubMed).

Guo, Yuan, Wu, Ho, Jing, Sugii, Li, Han, Feng, Guo, Chai: "BMP-IHH-mediated interplay between mesenchymal stem cells and osteoclasts supports calvarial bone homeostasis and repair." in: Bone research, Vol. 6, pp. 30, (2018) (PubMed).

Fan, Li, Liu, Cong, Zhao, Cao, Zheng: "Doxorubicin combined with low intensity ultrasound suppresses the growth of oral squamous cell carcinoma in culture and in xenografts." in: Journal of experimental & clinical cancer research : CR, Vol. 36, Issue 1, pp. 163, (2018) (PubMed).

Aliase für GLI1 Antikörper

GLI family zinc finger 1 (GLI1) Antikörper
GLI family zinc finger 1 (Gli1) Antikörper
GLI family zinc finger 1 S homeolog (gli1.S) Antikörper
GLI family zinc finger 1 (gli1) Antikörper
GLI-Kruppel family member GLI1 (Gli1) Antikörper
AV235269 Antikörper
GLI Antikörper
Gli Antikörper
Gli-1 Antikörper
gli1.1 Antikörper
Zfp-5 Antikörper
Zfp5 Antikörper
Sie sind hier:
Chat with us!