Telefon:
+49 (0)241 95 163 153
Fax:
+49 (0)241 95 163 155
E-Mail:
orders@antikoerper-online.de

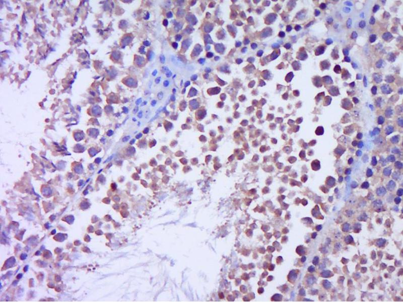
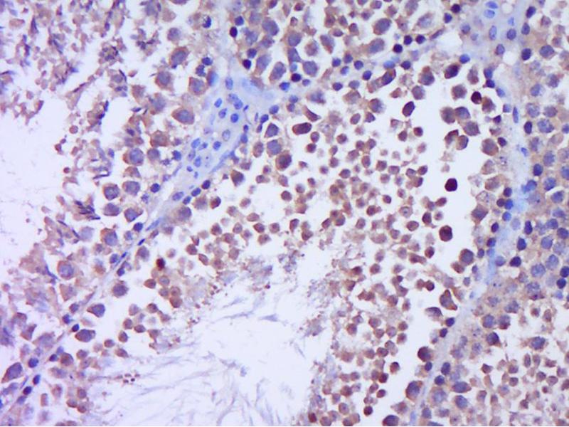
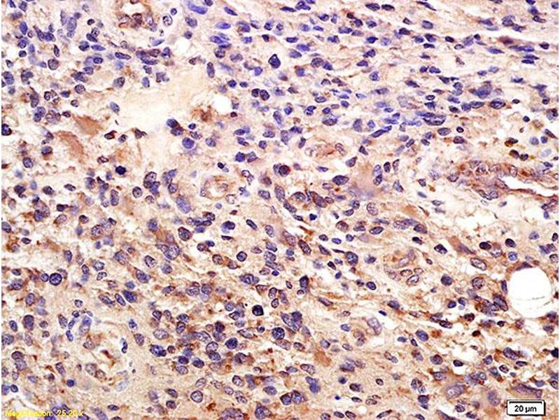
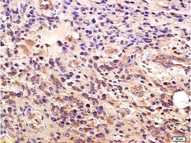
GLI1 Antikörper (AA 601-700)

Zitiert in 8+ Publikationen. Der Kaninchen Polyklonal anti-GLI1 Antikörper (ABIN673374) detektiert spezifisch GLI1 in WB, ELISA, FACS, IF (cc), IHC (p), ICC, IF (p) und IHC (fro). Dieser Antikörper reagiert spezifisch mit Proben aus Human, Maus, Ratte und Schwein.
Produktnummer ABIN673374
357,70 €
Zzgl. Versandkosten 20,00 € und MwSt
100 μL
Lieferung nach: Deutschland
Lieferung in 8 bis 12 Werktagen

Kurzübersicht für GLI1 Antikörper (AA 601-700) (ABIN673374)

Target

Alle GLI1 Antikörper anzeigen
GLI1 (Zinc Finger Protein GLI1 (GLI1))

Reaktivität

  • 75
  • 42
  • 31
  • 16
  • 4
  • 4
  • 4
  • 4
  • 3
  • 3
  • 2
Human, Maus, Ratte, Schwein

Wirt

  • 64
  • 13
  • 3
  • 1
Kaninchen

Klonalität

  • 57
  • 24
Polyklonal

Konjugat

  • 49
  • 3
  • 3
  • 2
  • 2
  • 2
  • 2
  • 2
  • 2
  • 2
  • 1
  • 1
  • 1
  • 1
  • 1
  • 1
  • 1
  • 1
  • 1
  • 1
  • 1
  • 1
Dieser GLI1 Antikörper ist unkonjugiert

Applikation

  • 60
  • 22
  • 16
  • 16
  • 13
  • 12
  • 9
  • 7
  • 7
  • 6
  • 2
  • 2
  • 1
  • 1
  • 1
  • 1
Western Blotting (WB), ELISA, Flow Cytometry (FACS), Immunofluorescence (Cultured Cells) (IF (cc)), Immunohistochemistry (Paraffin-embedded Sections) (IHC (p)), Immunocytochemistry (ICC), Immunofluorescence (Paraffin-embedded Sections) (IF (p)), Immunohistochemistry (Frozen Sections) (IHC (fro))
  • Bindungsspezifität

    • 15
    • 6
    • 5
    • 4
    • 4
    • 3
    • 3
    • 2
    • 2
    • 2
    • 2
    • 1
    • 1
    • 1
    • 1
    • 1
    • 1
    • 1
    • 1
    • 1
    • 1
    • 1
    • 1
    • 1
    AA 601-700

    Kreuzreaktivität

    Human, Maus, Schwein, Ratte

    Homologie

    Dog,Cow,Horse

    Aufreinigung

    Purified by Protein A.

    Immunogen

    KLH conjugated synthetic peptide derived from human GLI1

    Isotyp

    IgG
  • Applikationshinweise

    WB 1:300-5000
    ELISA 1:500-1000
    FCM 1:20-100
    IHC-P 1:200-400
    IHC-F 1:100-500
    IF(IHC-P) 1:50-200
    IF(IHC-F) 1:50-200
    IF(ICC) 1:50-200
    ICC 1:100-500

    Beschränkungen

    Nur für Forschungszwecke einsetzbar
  • Format

    Liquid

    Konzentration

    1 μg/μL

    Buffer

    0.01M TBS( pH 7.4) with 1 % BSA, 0.02 % Proclin300 and 50 % Glycerol.

    Konservierungsmittel

    ProClin

    Vorsichtsmaßnahmen

    This product contains ProClin: a POISONOUS AND HAZARDOUS SUBSTANCE, which should be handled by trained staff only.

    Lagerung

    4 °C,-20 °C

    Informationen zur Lagerung

    Shipped at 4°C. Store at -20°C for one year. Avoid repeated freeze/thaw cycles.

    Haltbarkeit

    12 months
  • Fan, Li, Liu, Cong, Zhao, Cao, Zheng: "Doxorubicin combined with low intensity ultrasound suppresses the growth of oral squamous cell carcinoma in culture and in xenografts." in: Journal of experimental & clinical cancer research : CR, Vol. 36, Issue 1, pp. 163, (2018) (PubMed).

    Yang, Wu, Feng, Huang, Liu, Liu, Chen: "Vitamin C plus hydrogel facilitates bone marrow stromal cell-mediated endometrium regeneration in rats." in: Stem cell research & therapy, Vol. 8, Issue 1, pp. 267, (2017) (PubMed).

    Long, Wang, Zheng, Lai, Xu, Hu, Lin, Zhang, Dong, Long, Tong, Liu: "Targeting GLI1 Suppresses Cell Growth and Enhances Chemosensitivity in CD34+ Enriched Acute Myeloid Leukemia Progenitor Cells." in: Cellular physiology and biochemistry : international journal of experimental cellular physiology, biochemistry, and pharmacology, Vol. 38, Issue 4, pp. 1288-302, (2016) (PubMed).

    Ma, Liu, Zeng, Zhou, Guo, Xie, Yang, Zheng, Xu, Wang, Chang, He, Li: "Silibinin induces apoptosis through inhibition of the mTOR-GLI1-BCL2 pathway in renal cell carcinoma." in: Oncology reports, Vol. 34, Issue 5, pp. 2461-8, (2015) (PubMed).

    Fan, Wang, Zhao, Liu, Chen, Sun, Zheng: "Sonic hedgehog signaling may promote invasion and metastasis of oral squamous cell carcinoma by activating MMP-9 and E-cadherin expression." in: Medical oncology (Northwood, London, England), Vol. 31, Issue 7, pp. 41, (2014) (PubMed).

    Zhang, Zhu, Zhou, Gao, Yuan, Han: "Serotonin receptor 2C and insulin secretion." in: PLoS ONE, Vol. 8, Issue 1, pp. e54250, (2013) (PubMed).

    Yue, Zhong, Pei, Xiao, Zhang, Jiang, Zhang, Chen, Yang, Dang, Chang: "Aberrant activation of hedgehog pathway in nasopharyngeal carcinoma." in: Clinical and experimental medicine, Vol. 13, Issue 4, pp. 315-22, (2013) (PubMed).

    Du, Feng, Wang, Piao, Cui, Chen, Lei, Sun, Liu, Wang, Li, Yang, Sun, Zhao, Jiang, Li, Jiang: "Curcumin suppresses malignant glioma cells growth and induces apoptosis by inhibition of SHH/GLI1 signaling pathway in vitro and vivo." in: CNS neuroscience & therapeutics, Vol. 19, Issue 12, pp. 926-36, (2013) (PubMed).

  • Target

    GLI1 (Zinc Finger Protein GLI1 (GLI1))

    Andere Bezeichnung

    GLI1

    Hintergrund

    Synonyms: GLI, Zinc finger protein GLI1, Glioma-associated oncogene, Oncogene GLI, GLI1

    Background: Acts as a transcriptional activator. May regulate the transcription of specific genes during normal development. May play a role in craniofacial development and digital development, as well as development of the central nervous system and gastrointestinal tract. Mediates SHH signaling and thus cell proliferation and differentiation.

    Gen-ID

    2735

    UniProt

    P08151

    Pathways

    Hedgehog Signalweg, Dopaminergic Neurogenesis
Sie sind hier:
Chat with us!