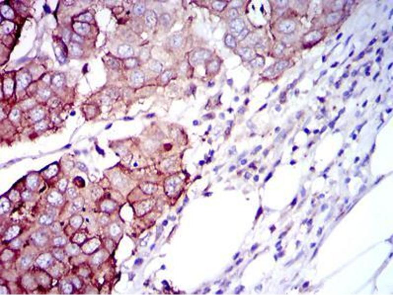
RPS6KB1 Antikörper
Kurzübersicht für RPS6KB1 Antikörper (ABIN969565)
Target
Alle RPS6KB1 Antikörper anzeigenReaktivität
Wirt
Klonalität
Konjugat
Applikation
Klon
-
-
Verwendungszweck
- RPS6KB1 Antibody
-
Aufreinigung
- Purified antibody
-
Immunogen
- Purified recombinant fragment of human RPS6KB1 expressed in E. Coli.
-
Isotyp
- IgG1
-
-
-
-
Applikationshinweise
-
ELISA: 1/10000
FCM: 1/200 - 1/400
-
Beschränkungen
- Nur für Forschungszwecke einsetzbar
-
-
-
Format
- Liquid
-
Buffer
- Purified antibody in PBS with 0.05 % sodium azide.
-
Konservierungsmittel
- Sodium azide
-
Vorsichtsmaßnahmen
- This product contains Sodium azide: a POISONOUS AND HAZARDOUS SUBSTANCE which should be handled by trained staff only.
-
Lagerung
- 4 °C,-20 °C
-
Informationen zur Lagerung
- Store at 4°C short term. Aliquot and store at -20°C long term. Avoid freeze/thaw cycles.
-
-
-
: "Abeta42 neurotoxicity is mediated by ongoing nucleated polymerization process rather than by discrete Abeta42 species." in: The Journal of biological chemistry, Vol. 286, Issue 10, pp. 8585-96, (2011) (PubMed).
: "Post-transcriptional gene silencing of ribosomal protein S6 kinase 1 restores insulin action in leucine-treated skeletal muscle." in: Cellular and molecular life sciences : CMLS, Vol. 66, Issue 8, pp. 1457-66, (2009) (PubMed).
-
: "Abeta42 neurotoxicity is mediated by ongoing nucleated polymerization process rather than by discrete Abeta42 species." in: The Journal of biological chemistry, Vol. 286, Issue 10, pp. 8585-96, (2011) (PubMed).
-
- RPS6KB1 (Ribosomal Protein S6 Kinase, 70kDa, Polypeptide 1 (RPS6KB1))
-
Andere Bezeichnung
- RPS6KB1
-
Hintergrund
- This gene encodes a member of the RSK (ribosomal S6 kinase) family of serine/threonine kinases. This kinase contains 2 non-identical kinase catalytic domains and phosphorylates several residues of the S6 ribosomal protein. The kinase activity of this protein leads to an increase in protein synthesis and cell proliferation. Amplification of the region of DNA encoding this gene and overexpression of this kinase are seen in some breast cancer cell lines. Alternate translational start sites have been described and alternate transcriptional splice variants have been observed but have not been thoroughly characterized.
-
Molekulargewicht
- 59 kDa
-
Gen-ID
- 6198
-
UniProt
- P23443
-
Pathways
- PI3K-Akt Signalweg, RTK Signalweg, AMPK Signaling, Regulation of Cell Size, Skeletal Muscle Fiber Development, Feeding Behaviour, G-protein mediated Events, Smooth Muscle Cell Migration, Interaction of EGFR with phospholipase C-gamma, Warburg Effekt
Target
-